Suppr超能文献

李斯特菌性脑膜脑炎在系统性红斑狼疮患者中的表现。

Listeria monocytogenes meningoencephalitis in a patient with Systemic Lupus Erythematosus.

机构信息

Universidade Federal de São Paulo, Escola Paulista de Medicina, Departamento de Medicina, Disciplina de Nefrologia, São Paulo, Brasil.

出版信息

J Bras Nefrol. 2020 Jul-Sep;42(3):375-379. doi: 10.1590/2175-8239-JBN-2019-0212.

Abstract

INTRODUCTION

Infectious complications are common in systemic lupus erythematosus. Although uncommon, central nervous system infections do occur and have significant lethality, with several etiological agents.

METHODS

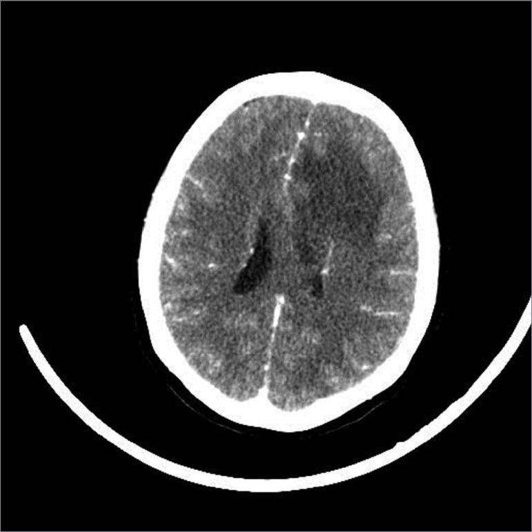
We report on the case of a 29-year-old woman recently diagnosed with systemic lupus erythematosus with hematological, cutaneous, serous and renal manifestations (class IV lupus nephritis), who underwent corticosteroid pulse therapy and mycophenolate induction therapy. After 3 months of evolution, she developed headache and altered mental status. Computed tomography showed an area of hypoattenuation in the left frontal white matter and her cerebrospinal fluid examination showed pleocytosis and hyperproteinorrhachia. Peripheral blood and CSF culture identified Listeria monocytogenes. The patient presented deterioration of her neurological status, requiring invasive mechanical ventilation, monitoring of intracranial pressure and, despite all the intensive support, persisted in a comatose state and developed multiple organ failure, evolving to death due to nosocomial bloodstream infection.

DISCUSSION

Infection from L. monocytogenes usually occurs after eating contaminated food, manifesting itself with diarrhea and, occasionally, invasively, such as neurolisteriosis. Further investigation with CSF analysis and MRI is necessary, and the diagnosis consists of isolating the bacteria in sterile body fluid.

CONCLUSION

The case presents a patient whose diagnosis of meningoencephalitis became an important differential with neuropsychiatric disorder. The poor outcome reinforces the need to remember this infectious condition as a serious complication in the natural history of SLE.

摘要

简介

感染性并发症在系统性红斑狼疮中很常见。尽管中枢神经系统感染并不常见,但确实会发生,并且具有很高的致死率,其病因有多种。

方法

我们报告了一例 29 岁女性系统性红斑狼疮病例,该患者有血液学、皮肤、浆膜和肾脏表现(狼疮肾炎 IV 级),接受了皮质类固醇脉冲治疗和吗替麦考酚酯诱导治疗。在 3 个月的病程中,她出现头痛和精神状态改变。计算机断层扫描显示左额叶白质有一处低衰减区,脑脊液检查显示白细胞增多和高蛋白血症。外周血和 CSF 培养鉴定出单核细胞增生李斯特菌。患者出现神经状态恶化,需要进行有创机械通气、颅内压监测,尽管进行了所有强化支持,她仍处于昏迷状态并发生多器官衰竭,最终因院内血流感染而死亡。

讨论

李斯特菌感染通常发生在食用受污染的食物后,表现为腹泻,偶尔也会侵袭性感染,如神经李斯特菌病。需要进一步进行脑脊液分析和 MRI 检查,诊断包括在无菌体液中分离细菌。

结论

本例患者的脑膜脑炎诊断成为神经精神障碍的重要鉴别诊断。不良结局强调了需要将这种感染性疾病作为 SLE 自然病程中的严重并发症加以重视。

https://cdn.ncbi.nlm.nih.gov/pmc/blobs/6922/7657045/755e0160d389/2175-8239-jbn-2019-0212-gf01.jpg

文献检索

告别复杂PubMed语法,用中文像聊天一样搜索,搜遍4000万医学文献。AI智能推荐,让科研检索更轻松。

立即免费搜索

文件翻译

保留排版,准确专业,支持PDF/Word/PPT等文件格式,支持 12+语言互译。

免费翻译文档

深度研究

AI帮你快速写综述,25分钟生成高质量综述,智能提取关键信息,辅助科研写作。

立即免费体验