• 文献检索
  • 文档翻译
  • 深度研究
  • 学术资讯
  • Suppr Zotero 插件Zotero 插件
  • 邀请有礼
  • 套餐&价格
  • 历史记录
应用&插件
Suppr Zotero 插件Zotero 插件浏览器插件Mac 客户端Windows 客户端微信小程序
定价
高级版会员购买积分包购买API积分包
服务
文献检索文档翻译深度研究API 文档MCP 服务
关于我们
关于 Suppr公司介绍联系我们用户协议隐私条款
关注我们

Suppr 超能文献

核心技术专利:CN118964589B侵权必究
粤ICP备2023148730 号-1Suppr @ 2026

文献检索

告别复杂PubMed语法,用中文像聊天一样搜索,搜遍4000万医学文献。AI智能推荐,让科研检索更轻松。

立即免费搜索

文件翻译

保留排版,准确专业,支持PDF/Word/PPT等文件格式,支持 12+语言互译。

免费翻译文档

深度研究

AI帮你快速写综述,25分钟生成高质量综述,智能提取关键信息,辅助科研写作。

立即免费体验

基因激活的真皮替代物通过调节炎症和促进血管生成来加速糖尿病慢性伤口的愈合。

Gene-activated dermal equivalents to accelerate healing of diabetic chronic wounds by regulating inflammation and promoting angiogenesis.

作者信息

Lou Dong, Luo Yu, Pang Qian, Tan Wei-Qiang, Ma Lie

机构信息

MOE Key Laboratory of Macromolecular Synthesis and Functionalization, Department of Polymer Science and Engineering, Zhejiang University, Hangzhou, 310027, PR China.

Department of Plastic Surgery, Sir Run Run Shaw Hospital, Zhejiang University School of Medicine, Hangzhou, 310016, PR China.

出版信息

Bioact Mater. 2020 May 8;5(3):667-679. doi: 10.1016/j.bioactmat.2020.04.018. eCollection 2020 Sep.

DOI:10.1016/j.bioactmat.2020.04.018
PMID:32420517
原文链接:https://pmc.ncbi.nlm.nih.gov/articles/PMC7217806/
Abstract

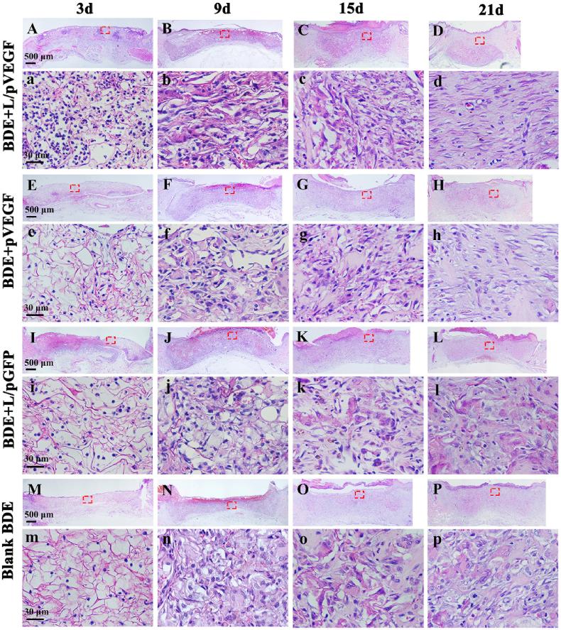
Diabetic chronic wound, characterized by prolonged inflammation and impaired angiogenesis, has become one of the most serious challenges in clinic and pose a significant healthcare burden worldwide. Although a great variety of wound dressings have been developed, few of encouraged achievements were obtained so far. In this study, the gene-activated strategy was applied to enhance sustained expression of vascular endothelial growth factor (VEGF) and achieve better healing outcomes by regulating inflammation and promoting angiogenesis. The gene-activated bilayer dermal equivalents (Ga-BDEs), which has good biocompatibility, were fabricated by loading the nano-sized complexes of Lipofectamine 2000/plasmid DNA-encoding VEGF into a collagen-chitosan scaffold/silicone membrane bilayer dermal equivalent. The DNA complexes were released in a sustained manner and showed the effective transfection capacities to up-regulate the expression of VEGF in vitro. To overcome cutaneous contraction of rodents and mimic the wound healing mechanisms of the human, a reformative rat model of full-thickness diabetic chronic wound was adopted. Under the treatment of Ga-BDEs, speeding wound healing was observed, which is accompanied by the accelerated infiltration and phenotype shift of macrophages and enhanced angiogenesis in early and late healing phases, respectively. These proved that Ga-BDEs possess the functions of immunomodulation and pro-angiogenesis simultaneously. Subsequently, the better regeneration outcomes, including deposition of oriented collagen and fast reepithelialization, were achieved. All these results indicated that, being different from traditional pro-angiogenic concept, the up-regulated expression of VEGF by Ga-BDEs in a sustained manner shows versatile potentials for promoting the healing of diabetic chronic wounds.

摘要

糖尿病慢性伤口以炎症持续时间长和血管生成受损为特征,已成为临床上最严峻的挑战之一,并在全球范围内造成了巨大的医疗负担。尽管已经研发出了各种各样的伤口敷料,但迄今为止取得的鼓舞人心的成果却很少。在本研究中,采用基因激活策略来增强血管内皮生长因子(VEGF)的持续表达,并通过调节炎症和促进血管生成来实现更好的愈合效果。通过将Lipofectamine 2000/编码VEGF的质粒DNA的纳米复合物负载到胶原-壳聚糖支架/硅酮膜双层真皮替代物中,制备了具有良好生物相容性的基因激活双层真皮替代物(Ga-BDEs)。DNA复合物以持续的方式释放,并在体外显示出上调VEGF表达的有效转染能力。为了克服啮齿动物的皮肤收缩并模拟人类的伤口愈合机制,采用了改良的大鼠全层糖尿病慢性伤口模型。在Ga-BDEs的治疗下,观察到伤口愈合加快,分别伴随着巨噬细胞在愈合早期的加速浸润和表型转变以及在愈合后期的血管生成增强。这些证明Ga-BDEs同时具有免疫调节和促血管生成的功能。随后,实现了更好的再生效果,包括定向胶原的沉积和快速再上皮化。所有这些结果表明,与传统的促血管生成概念不同,Ga-BDEs持续上调VEGF的表达在促进糖尿病慢性伤口愈合方面具有多种潜力。

https://cdn.ncbi.nlm.nih.gov/pmc/blobs/0ef4/7217806/4a7c31107259/gr7.jpg
https://cdn.ncbi.nlm.nih.gov/pmc/blobs/0ef4/7217806/22442040adca/gr1.jpg
https://cdn.ncbi.nlm.nih.gov/pmc/blobs/0ef4/7217806/ddb325628272/gr3.jpg
https://cdn.ncbi.nlm.nih.gov/pmc/blobs/0ef4/7217806/8d5459c48299/gr4.jpg
https://cdn.ncbi.nlm.nih.gov/pmc/blobs/0ef4/7217806/32fa1d2e6429/gr5.jpg
https://cdn.ncbi.nlm.nih.gov/pmc/blobs/0ef4/7217806/4a7c31107259/gr7.jpg
https://cdn.ncbi.nlm.nih.gov/pmc/blobs/0ef4/7217806/22442040adca/gr1.jpg
https://cdn.ncbi.nlm.nih.gov/pmc/blobs/0ef4/7217806/ddb325628272/gr3.jpg
https://cdn.ncbi.nlm.nih.gov/pmc/blobs/0ef4/7217806/8d5459c48299/gr4.jpg
https://cdn.ncbi.nlm.nih.gov/pmc/blobs/0ef4/7217806/32fa1d2e6429/gr5.jpg
https://cdn.ncbi.nlm.nih.gov/pmc/blobs/0ef4/7217806/4a7c31107259/gr7.jpg

相似文献

1
Gene-activated dermal equivalents to accelerate healing of diabetic chronic wounds by regulating inflammation and promoting angiogenesis.基因激活的真皮替代物通过调节炎症和促进血管生成来加速糖尿病慢性伤口的愈合。
Bioact Mater. 2020 May 8;5(3):667-679. doi: 10.1016/j.bioactmat.2020.04.018. eCollection 2020 Sep.
2
The healing of full-thickness burns treated by using plasmid DNA encoding VEGF-165 activated collagen-chitosan dermal equivalents.采用编码 VEGF-165 的质粒 DNA 激活胶原-壳聚糖真皮等同物治疗全层烧伤的愈合。
Biomaterials. 2011 Feb;32(4):1019-31. doi: 10.1016/j.biomaterials.2010.08.087. Epub 2010 Nov 10.
3
Enhanced angiogenesis of gene-activated dermal equivalent for treatment of full thickness incisional wounds in a porcine model.基因激活的真皮等同物增强血管生成治疗猪全层切口创面。
Biomaterials. 2010 Oct;31(28):7308-20. doi: 10.1016/j.biomaterials.2010.06.013. Epub 2010 Jul 2.
4
Controlled release of thymosin beta 4 using a collagen-chitosan sponge scaffold augments cutaneous wound healing and increases angiogenesis in diabetic rats with hindlimb ischemia.使用胶原-壳聚糖海绵支架控制胸腺素β4的释放可促进糖尿病后肢缺血大鼠的皮肤伤口愈合并增加血管生成。
Tissue Eng Part A. 2015 Feb;21(3-4):541-9. doi: 10.1089/ten.TEA.2013.0750. Epub 2014 Oct 14.
5
Accelerated healing of diabetic wound using artificial dermis constructed with adipose stem cells and poly (L-glutamic acid)/chitosan scaffold.利用脂肪干细胞和聚(L-谷氨酸)/壳聚糖支架构建的人工真皮加速糖尿病创面愈合。
Chin Med J (Engl). 2013;126(8):1498-503.
6
Dual gene-activated dermal scaffolds regulate angiogenesis and wound healing by mediating the coexpression of VEGF and angiopoietin-1.双基因激活的真皮支架通过介导血管内皮生长因子(VEGF)和血管生成素-1的共表达来调节血管生成和伤口愈合。
Bioeng Transl Med. 2023 Jun 25;8(5):e10562. doi: 10.1002/btm2.10562. eCollection 2023 Sep.
7
Topical vascular endothelial growth factor accelerates diabetic wound healing through increased angiogenesis and by mobilizing and recruiting bone marrow-derived cells.局部应用血管内皮生长因子可通过增加血管生成以及动员和募集骨髓来源的细胞来加速糖尿病伤口愈合。
Am J Pathol. 2004 Jun;164(6):1935-47. doi: 10.1016/S0002-9440(10)63754-6.
8
A dual functional collagen scaffold coordinates angiogenesis and inflammation for diabetic wound healing.一种双功能胶原支架协调血管生成和炎症反应促进糖尿病创面愈合。
Biomater Sci. 2020 Nov 21;8(22):6337-6349. doi: 10.1039/d0bm00999g. Epub 2020 Oct 7.
9
Mussel-inspired collagen-hyaluronic acid composite scaffold with excellent antioxidant properties and sustained release of a growth factor for enhancing diabetic wound healing.具有优异抗氧化性能和生长因子缓释功能的贻贝启发式胶原蛋白-透明质酸复合支架,用于促进糖尿病伤口愈合。
Mater Today Bio. 2022 Jun 10;15:100320. doi: 10.1016/j.mtbio.2022.100320. eCollection 2022 Jun.
10
Proteomics and transcriptomics explore the effect of mixture of herbal extract on diabetic wound healing process.蛋白质组学和转录组学探讨了草药提取物混合物对糖尿病伤口愈合过程的影响。
Phytomedicine. 2023 Jul 25;116:154892. doi: 10.1016/j.phymed.2023.154892. Epub 2023 May 24.

引用本文的文献

1
Gene hydrogel platforms for targeted skin therapy: bridging hereditary disorders, chronic wounds, and immune related skin diseases.用于靶向皮肤治疗的基因水凝胶平台:连接遗传性疾病、慢性伤口和免疫相关皮肤病。
Front Drug Deliv. 2025 Jul 1;5:1598145. doi: 10.3389/fddev.2025.1598145. eCollection 2025.
2
Innovations in hydrogel therapies for diabetic wound healing: bridging the gap between pathophysiology and clinical application.用于糖尿病伤口愈合的水凝胶疗法的创新:弥合病理生理学与临床应用之间的差距。
Burns Trauma. 2025 Apr 9;13:tkaf025. doi: 10.1093/burnst/tkaf025. eCollection 2025.
3
Natural Bioactive Compound-Integrated Nanomaterials for Diabetic Wound Healing: Synergistic Effects, Multifunctional Designs, and Challenges.

本文引用的文献

1
VEGF may contribute to macrophage recruitment and M2 polarization in the decidua.血管内皮生长因子(VEGF)可能有助于巨噬细胞在蜕膜中的募集和M2极化。
PLoS One. 2018 Jan 11;13(1):e0191040. doi: 10.1371/journal.pone.0191040. eCollection 2018.
2
IDF Diabetes Atlas: Global estimates for the prevalence of diabetes for 2015 and 2040.国际糖尿病联盟糖尿病地图:2015年和2040年全球糖尿病患病率估计
Diabetes Res Clin Pract. 2017 Jun;128:40-50. doi: 10.1016/j.diabres.2017.03.024. Epub 2017 Mar 31.
3
Inflammation in Chronic Wounds.慢性伤口中的炎症
用于糖尿病伤口愈合的天然生物活性化合物整合纳米材料:协同效应、多功能设计及挑战
Molecules. 2025 Jun 12;30(12):2562. doi: 10.3390/molecules30122562.
4
Paeoniflorin Attenuates Limb Ischemia by Promoting Angiogenesis Through ERα/ROCK-2 Pathway.芍药苷通过ERα/ROCK-2通路促进血管生成减轻肢体缺血
Pharmaceuticals (Basel). 2025 Feb 19;18(2):272. doi: 10.3390/ph18020272.
5
Injectable Nanocomposite Hydrogel for Accelerating Diabetic Wound Healing Through Inflammatory Microenvironment Regulation.通过调节炎症微环境促进糖尿病伤口愈合的可注射纳米复合水凝胶
Int J Nanomedicine. 2025 Feb 6;20:1679-1696. doi: 10.2147/IJN.S505918. eCollection 2025.
6
Gene Therapeutic Drug pCMV-VEGF165 Plasmid ('Neovasculgen') Promotes Gingiva Soft Tissue Augmentation in Rabbits.pCMV-VEGF165 质粒('Neovasculgen')基因治疗药物促进兔牙龈软组织的增加。
Int J Mol Sci. 2024 Sep 17;25(18):10013. doi: 10.3390/ijms251810013.
7
Advances in nucleic acid delivery strategies for diabetic wound therapy.用于糖尿病伤口治疗的核酸递送策略的进展。
J Clin Transl Endocrinol. 2024 Aug 30;37:100366. doi: 10.1016/j.jcte.2024.100366. eCollection 2024 Sep.
8
Growth factors and growth factor gene therapies for treating chronic wounds.用于治疗慢性伤口的生长因子及生长因子基因疗法。
Bioeng Transl Med. 2023 Dec 28;9(3):e10642. doi: 10.1002/btm2.10642. eCollection 2024 May.
9
Unraveling Endothelial Cell Migration: Insights into Fundamental Forces, Inflammation, Biomaterial Applications, and Tissue Regeneration Strategies.解析内皮细胞迁移:对基本作用力、炎症、生物材料应用及组织再生策略的见解
ACS Appl Bio Mater. 2024 Apr 15;7(4):2054-2069. doi: 10.1021/acsabm.3c01227. Epub 2024 Mar 23.
10
A bioenergetically-active ploy (glycerol sebacate)-based multiblock hydrogel improved diabetic wound healing through revitalizing mitochondrial metabolism.一种基于生物能量活跃策略(癸二酸甘油酯)的多嵌段水凝胶通过激活线粒体代谢来改善糖尿病伤口愈合。
Cell Prolif. 2024 Jul;57(7):e13613. doi: 10.1111/cpr.13613. Epub 2024 Feb 13.
Int J Mol Sci. 2016 Dec 11;17(12):2085. doi: 10.3390/ijms17122085.
4
Clinical challenges of chronic wounds: searching for an optimal animal model to recapitulate their complexity.慢性伤口的临床挑战:寻找一种能概括其复杂性的最佳动物模型。
Dis Model Mech. 2014 Nov;7(11):1205-13. doi: 10.1242/dmm.016782.
5
VEGFR-1 blockade disrupts peri-implantation decidual angiogenesis and macrophage recruitment.血管内皮生长因子受体-1阻断破坏植入周围的蜕膜血管生成和巨噬细胞募集。
Vasc Cell. 2014 Aug 1;6:16. doi: 10.1186/2045-824X-6-16. eCollection 2014.
6
Pathogenesis and treatment of impaired wound healing in diabetes mellitus: new insights.糖尿病患者伤口愈合受损的发病机制与治疗:新见解
Adv Ther. 2014 Aug;31(8):817-36. doi: 10.1007/s12325-014-0140-x. Epub 2014 Jul 29.
7
Wound Healing Angiogenesis: Innovations and Challenges in Acute and Chronic Wound Healing.伤口愈合中的血管生成:急性和慢性伤口愈合的创新与挑战
Adv Wound Care (New Rochelle). 2012 Feb;1(1):17-22. doi: 10.1089/wound.2011.0308.
8
The pathway to foot ulceration in diabetes.糖尿病患者足部溃疡的发病途径。
Med Clin North Am. 2013 Sep;97(5):775-90. doi: 10.1016/j.mcna.2013.03.007. Epub 2013 Apr 29.
9
Recent advances on the development of wound dressings for diabetic foot ulcer treatment--a review.近年来糖尿病足溃疡治疗用伤口敷料的研究进展——综述。
Acta Biomater. 2013 Jul;9(7):7093-114. doi: 10.1016/j.actbio.2013.03.033. Epub 2013 Mar 27.
10
Neutrophil recruitment and function in health and inflammation.中性粒细胞在健康与炎症中的募集与功能。
Nat Rev Immunol. 2013 Mar;13(3):159-75. doi: 10.1038/nri3399.