Suppr超能文献

胆囊缺如,腹腔镜检查时的意外发现;病例报告。

Agenesis of the gall bladder, an unexpected finding during laparoscopy; case report.

作者信息

Arif Sardar Hassan, Mohammed Ayad Ahmad

机构信息

Department of Surgery, College of Medicine, University of Duhok, Kurdistan Region, Iraq.

出版信息

Ann Med Surg (Lond). 2020 May 14;55:66-68. doi: 10.1016/j.amsu.2020.04.043. eCollection 2020 Jul.

Abstract

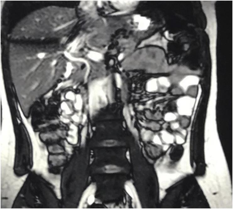
Congenital agenesis of the gall bladder is a very rare ranging from 0.02% to 0.002% in clinical practice. There is complete absence of the gall bladder with normal intra and extra hepatic biliary tree. The exact etiology remains unclear. Low index of suspicion and failure of routine investigations will result in its unexpected discovery during surgery. The condition usually results in diagnostic dilemma both before surgery and intraoperatively. A 25-year-old lady presented with repeated attacks of right side abdominal pain for 1 year. Abdominal examination showed tenderness on palpation in the right hypochonrdium. Abdominal ultrasound showed normal common bile duct with suspicion of small contacted gall bladder. MRCP showed extrahepatic biliary tree and not visualized gall bladder. During diagnostic laparoscopy exploration of the whole peritoneal cavity was performed. The gall bladder was not visualized after complete visualization of biliary anatomy. The appendix was inflamed with multiple adhesions with the bowel. The cecum was high placed in the sub-hepatic region. Laparoscopic appendicectomy was performed. Patients with gall bladder agenesis surprisingly have symptoms similar to cholecystitis, the pain may be attributed to cholangitis, biliary stones, or sphincter of Oddi dysfunction. When the condition diagnosed at operation extensive dissection to identify the gall bladder must be avoided because it may result in biliary injury.

摘要

先天性胆囊缺如是一种非常罕见的疾病,在临床实践中的发生率为0.02%至0.002%。胆囊完全缺失,肝内和肝外胆管树正常。确切病因尚不清楚。怀疑指数低和常规检查失败会导致在手术期间意外发现该病。这种情况通常会在手术前和手术中导致诊断困境。一名25岁女性因右侧腹痛反复发作1年前来就诊。腹部检查显示右季肋部触诊有压痛。腹部超声显示胆总管正常,怀疑有小的收缩胆囊。磁共振胰胆管造影(MRCP)显示肝外胆管树,未显示胆囊。在诊断性腹腔镜检查中,对整个腹腔进行了探查。在完全观察到胆管解剖结构后,未发现胆囊。阑尾发炎,与肠管有多处粘连。盲肠高位位于肝下区域。进行了腹腔镜阑尾切除术。胆囊缺如的患者令人惊讶地出现与胆囊炎相似的症状,疼痛可能归因于胆管炎、胆结石或Oddi括约肌功能障碍。当在手术中诊断出这种情况时,必须避免进行广泛的解剖以寻找胆囊,因为这可能导致胆管损伤。

https://cdn.ncbi.nlm.nih.gov/pmc/blobs/64c0/7242978/f061a2349829/gr1.jpg

文献检索

告别复杂PubMed语法,用中文像聊天一样搜索,搜遍4000万医学文献。AI智能推荐,让科研检索更轻松。

立即免费搜索

文件翻译

保留排版,准确专业,支持PDF/Word/PPT等文件格式,支持 12+语言互译。

免费翻译文档

深度研究

AI帮你快速写综述,25分钟生成高质量综述,智能提取关键信息,辅助科研写作。

立即免费体验