• 文献检索
  • 文档翻译
  • 深度研究
  • 学术资讯
  • Suppr Zotero 插件Zotero 插件
  • 邀请有礼
  • 套餐&价格
  • 历史记录
应用&插件
Suppr Zotero 插件Zotero 插件浏览器插件Mac 客户端Windows 客户端微信小程序
定价
高级版会员购买积分包购买API积分包
服务
文献检索文档翻译深度研究API 文档MCP 服务
关于我们
关于 Suppr公司介绍联系我们用户协议隐私条款
关注我们

Suppr 超能文献

核心技术专利:CN118964589B侵权必究
粤ICP备2023148730 号-1Suppr @ 2026

文献检索

告别复杂PubMed语法,用中文像聊天一样搜索,搜遍4000万医学文献。AI智能推荐,让科研检索更轻松。

立即免费搜索

文件翻译

保留排版,准确专业,支持PDF/Word/PPT等文件格式,支持 12+语言互译。

免费翻译文档

深度研究

AI帮你快速写综述,25分钟生成高质量综述,智能提取关键信息,辅助科研写作。

立即免费体验

腹腔镜胆囊切除术中胆囊缺如——一例报告

Agenesis of gall bladder in laparoscopic cholecystectomy-A case report.

作者信息

Al-Hakkak Samer Makki Mohamed

机构信息

Department of Surgery, Faculty of Medicine, Jabir Ibn Hayyan Medical University, Najaf city, Iraq.

出版信息

Int J Surg Case Rep. 2017;39:39-42. doi: 10.1016/j.ijscr.2017.06.054. Epub 2017 Aug 3.

DOI:10.1016/j.ijscr.2017.06.054
PMID:28802164
原文链接:https://pmc.ncbi.nlm.nih.gov/articles/PMC5552385/
Abstract

INTRODUCTION

Agenesis of gallbladder is a rare congenital anomaly of biliary tree that may be associated with other biliary and extra biliary congenital anomalies.

CASE PRESENTATION

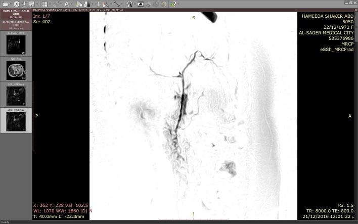
A 43- year- old female presented with a 4 months history of upper abdominal pain associated with nausea and vomiting. It was associated with dyspeptic symptoms and become worse following ingestion of high-fat meal contents. Clinically, a differential of gall stone disease was considered. Ultrasonography of abdomen revealed a contracted gallbladder with multiple stones with normal wall thickness, so the fact of clinical diagnosis considering finding cholithiasis. She was submitted to laparoscopic exploration which revealed that the gall bladder was absent within gall bladder fossa.

DISCUSSION

In this case, the differential of cholithiasis symptoms considered support by ultrasonography, symptomatic gall stones presented more than half of cases of gall bladder agenesis, Diagnosis of gall bladder disease usually done by ultrasound modality, it must be done by expert one. Awareness of this entity by clinicians, surgeons and radiologists are essential because many of these patients present with biliary symptoms and have unnecessary operations.

CONCLUSION

Agenesis of gallbladder should be kept in mind whenever the gall bladder was improperly visualized in routine imaging methods. Ultrasonography operated dependent we must not depend on single one or even multiple done by the same person. Avoid a needless surgical exploration, which might be risky. Non-visualized gall bladder during laparoscopic cholecystectomy is challenging should not convert to open unless sure that the gall bladder was present.

摘要

引言

胆囊缺如是一种罕见的胆道先天性异常,可能与其他胆道及非胆道先天性异常相关。

病例介绍

一名43岁女性,有4个月上腹部疼痛病史,伴有恶心和呕吐。与消化不良症状相关,进食高脂肪食物后症状加重。临床上,考虑为胆结石疾病。腹部超声显示胆囊缩小,有多个结石,胆囊壁厚度正常,因此根据检查结果临床诊断为胆石症。她接受了腹腔镜探查,结果显示胆囊窝内无胆囊。

讨论

在本病例中,超声检查支持了对胆石症症状的鉴别诊断,有症状的胆结石在胆囊缺如病例中占半数以上。胆囊疾病的诊断通常通过超声检查进行,必须由专业人员操作。临床医生、外科医生和放射科医生了解这一情况至关重要,因为许多此类患者表现出胆道症状并接受了不必要的手术。

结论

在常规影像学检查中胆囊显示不清时,应考虑胆囊缺如的可能。超声检查依赖操作人员,我们不能仅依赖单次检查结果,甚至不能仅依赖同一人进行的多次检查结果。避免不必要的手术探查,因为这可能有风险。腹腔镜胆囊切除术中未见到胆囊具有挑战性,除非确定胆囊存在,否则不应转为开腹手术。

https://cdn.ncbi.nlm.nih.gov/pmc/blobs/7857/5552385/8a627fa450b2/gr4.jpg
https://cdn.ncbi.nlm.nih.gov/pmc/blobs/7857/5552385/822e8450f363/gr1.jpg
https://cdn.ncbi.nlm.nih.gov/pmc/blobs/7857/5552385/7fbd42b4bbaa/gr3.jpg
https://cdn.ncbi.nlm.nih.gov/pmc/blobs/7857/5552385/8a627fa450b2/gr4.jpg
https://cdn.ncbi.nlm.nih.gov/pmc/blobs/7857/5552385/822e8450f363/gr1.jpg
https://cdn.ncbi.nlm.nih.gov/pmc/blobs/7857/5552385/7fbd42b4bbaa/gr3.jpg
https://cdn.ncbi.nlm.nih.gov/pmc/blobs/7857/5552385/8a627fa450b2/gr4.jpg

相似文献

1
Agenesis of gall bladder in laparoscopic cholecystectomy-A case report.腹腔镜胆囊切除术中胆囊缺如——一例报告
Int J Surg Case Rep. 2017;39:39-42. doi: 10.1016/j.ijscr.2017.06.054. Epub 2017 Aug 3.
2
Agenesis of gall bladder: Diagnosed before it is an unpleasant laparoscopic surprise-clinical case report and review.胆囊缺如:在成为令人不快的腹腔镜意外发现之前做出诊断——临床病例报告及文献综述
Int J Surg Case Rep. 2020;76:144-147. doi: 10.1016/j.ijscr.2020.09.140. Epub 2020 Sep 23.
3
A case of an absent gall bladder presenting as biliary colic in a tertiary care hospital in Karachi.在卡拉奇一家三级护理医院,一例胆囊缺如表现为胆绞痛的病例。
J Pak Med Assoc. 2019 May;69(5):731-733.
4
Gall Bladder Agenesis: A Rare Embryonic Cause of Recurrent Biliary Colic.胆囊缺如:复发性胆绞痛的一种罕见胚胎学病因。
Am J Case Rep. 2017 Apr 2;18:334-338. doi: 10.12659/ajcr.903176.
5
Agenesis of the gall bladder, an unexpected finding during laparoscopy; case report.胆囊缺如,腹腔镜检查时的意外发现;病例报告。
Ann Med Surg (Lond). 2020 May 14;55:66-68. doi: 10.1016/j.amsu.2020.04.043. eCollection 2020 Jul.
6
Unaccounted Gallbladder.未发现胆囊。
Cureus. 2024 Jul 27;16(7):e65490. doi: 10.7759/cureus.65490. eCollection 2024 Jul.
7
Sinistroposition: A case report on incidental finding of left sided gall bladder on laparoscopic cholecystectomy.左旋位:腹腔镜胆囊切除术中偶然发现左侧胆囊的病例报告。
Ann Med Surg (Lond). 2022 Sep 3;81:104547. doi: 10.1016/j.amsu.2022.104547. eCollection 2022 Sep.
8
Cholecystitis in a midline gallbladder: A rare ectopic location.中线胆囊胆囊炎:一种罕见的异位位置。
Int J Surg Case Rep. 2022 Apr;93:106969. doi: 10.1016/j.ijscr.2022.106969. Epub 2022 Mar 28.
9
Gallbladder Agenesis Mimicking Chronic Cholecystitis in a Young Woman.一名年轻女性中酷似慢性胆囊炎的胆囊缺如
Cureus. 2021 Sep 23;13(9):e18222. doi: 10.7759/cureus.18222. eCollection 2021 Sep.
10
Can bile duct injuries be prevented? "A new technique in laparoscopic cholecystectomy".胆管损伤可以预防吗?“腹腔镜胆囊切除术中的一项新技术”。
BMC Surg. 2005 Jun 17;5:14. doi: 10.1186/1471-2482-5-14.

引用本文的文献

1
A Unique Case of Gallbladder Agenesis and Cholangiocarcinoma.胆囊缺如与胆管癌的一例独特病例。
Cureus. 2023 Feb 20;15(2):e35224. doi: 10.7759/cureus.35224. eCollection 2023 Feb.
2
Common bile duct perforation due to choledocholithiasis in a cat with gallbladder agenesis.一只胆囊缺如的猫因胆总管结石导致胆总管穿孔。
JFMS Open Rep. 2023 Feb 1;9(1):20551169221146513. doi: 10.1177/20551169221146513. eCollection 2023 Jan-Jun.
3
Gallbladder Agenesis: Report of a Preoperative Diagnosis With Magnetic Resonance Cholangiopancreatography.

本文引用的文献

1
Congenital absence of the gall bladder; a possible hereditary defect.先天性胆囊缺失;一种可能的遗传缺陷。
Ann Intern Med. 1950 Oct;33(4):1008-12. doi: 10.7326/0003-4819-33-4-1008.
2
[Agenesis of the gallbladder].[胆囊缺如]
Swiss Surg. 2003;9(6):315-9. doi: 10.1024/1023-9332.9.6.315.
3
Congenital absence of the gallbladder: a statistical study.先天性胆囊缺失:一项统计学研究。
胆囊缺如:一例磁共振胰胆管造影术前诊断报告
Cureus. 2020 Aug 10;12(8):e9647. doi: 10.7759/cureus.9647.
4
Gallbladder agenesis: A case report and review of the literature.胆囊发育不全:一例病例报告及文献综述
Int J Surg Case Rep. 2018;53:235-237. doi: 10.1016/j.ijscr.2018.10.061. Epub 2018 Nov 1.
5
Gallbladder agenesis mimicking cholelithiasis in an adult.成人中酷似胆结石的胆囊缺如
Radiol Case Rep. 2018 Apr 4;13(3):640-643. doi: 10.1016/j.radcr.2018.03.002. eCollection 2018 Jun.
J Int Coll Surg. 1959 Oct;32:369-73.
4
Isolated agenesis of the gallbladder.孤立性胆囊缺如
Saudi Med J. 2003 Apr;24(4):409-10.
5
Agenesis of the gallbladder and cystic duct.胆囊和胆囊管缺如。
Sao Paulo Med J. 2002 Nov 1;120(6):192-4. doi: 10.1590/s1516-31802002000600008. Epub 2003 Jan 22.
6
[Agenesis of the gallbladder].[胆囊缺如]
Tidsskr Nor Laegeforen. 2002 Nov 30;122(29):2774-6.
7
Congenital absence of the gallbladder and the cystic duct.先天性胆囊及胆囊管缺如。
Ethiop Med J. 2002 Apr;40(2):171-8.
8
Isolated agenesis of the gallbladder: report of a case.孤立性胆囊缺如:1例报告
Surg Today. 2002;32(1):78-80. doi: 10.1007/s595-002-8120-2.
9
Agenesis of the gallbladder associated with Gilbert's syndrome.胆囊缺如伴吉尔伯特综合征
Surg Endosc. 2001 Jul;15(7):757. doi: 10.1007/s004640000387. Epub 2001 May 2.
10
Agenesis of gallbladder in symptomatic patients.有症状患者的胆囊缺如
Trop Gastroenterol. 2001 Apr-Jun;22(2):80-2.