• 文献检索
  • 文档翻译
  • 深度研究
  • 学术资讯
  • Suppr Zotero 插件Zotero 插件
  • 邀请有礼
  • 套餐&价格
  • 历史记录
应用&插件
Suppr Zotero 插件Zotero 插件浏览器插件Mac 客户端Windows 客户端微信小程序
定价
高级版会员购买积分包购买API积分包
服务
文献检索文档翻译深度研究API 文档MCP 服务
关于我们
关于 Suppr公司介绍联系我们用户协议隐私条款
关注我们

Suppr 超能文献

核心技术专利:CN118964589B侵权必究
粤ICP备2023148730 号-1Suppr @ 2026

文献检索

告别复杂PubMed语法,用中文像聊天一样搜索,搜遍4000万医学文献。AI智能推荐,让科研检索更轻松。

立即免费搜索

文件翻译

保留排版,准确专业,支持PDF/Word/PPT等文件格式,支持 12+语言互译。

免费翻译文档

深度研究

AI帮你快速写综述,25分钟生成高质量综述,智能提取关键信息,辅助科研写作。

立即免费体验

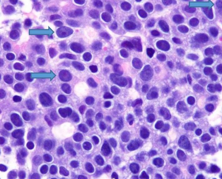
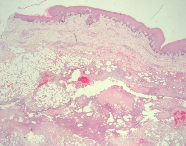
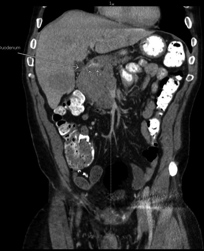
脂肪酶分泌过多综合征:晚期胰腺腺泡细胞癌的一种罕见皮肤表现。

Lipase hypersecretion syndrome: A rare cutaneous manifestation of advanced pancreatic acinar cell carcinoma.

作者信息

Nizam Wasay, Shah Adil A, Rajack Fareed, Ramdath Asa, Naab Tammey, Williams Mallory

机构信息

Department of Surgery Howard University College of Medicine Washington DC USA.

Department of Pathology Howard University College of Medicine Washington DC USA.

出版信息

Clin Case Rep. 2020 Mar 12;8(5):905-910. doi: 10.1002/ccr3.2785. eCollection 2020 May.

DOI:10.1002/ccr3.2785
PMID:32477543
原文链接:https://pmc.ncbi.nlm.nih.gov/articles/PMC7250977/
Abstract

Careful recognition of cutaneous lesions in patients with malignancies may aid in avoiding additional morbidity during end of life care.

摘要

仔细识别恶性肿瘤患者的皮肤病变可能有助于在临终关怀期间避免额外的发病率。

https://cdn.ncbi.nlm.nih.gov/pmc/blobs/1ce4/7250977/c6f4d888b08a/CCR3-8-905-g010.jpg
https://cdn.ncbi.nlm.nih.gov/pmc/blobs/1ce4/7250977/76b58fd66ad2/CCR3-8-905-g001.jpg
https://cdn.ncbi.nlm.nih.gov/pmc/blobs/1ce4/7250977/ccf9f6091868/CCR3-8-905-g002.jpg
https://cdn.ncbi.nlm.nih.gov/pmc/blobs/1ce4/7250977/b5035559b403/CCR3-8-905-g003.jpg
https://cdn.ncbi.nlm.nih.gov/pmc/blobs/1ce4/7250977/ea3f2e2bb4a9/CCR3-8-905-g004.jpg
https://cdn.ncbi.nlm.nih.gov/pmc/blobs/1ce4/7250977/b18410f062d6/CCR3-8-905-g005.jpg
https://cdn.ncbi.nlm.nih.gov/pmc/blobs/1ce4/7250977/f28cd40bd91d/CCR3-8-905-g006.jpg
https://cdn.ncbi.nlm.nih.gov/pmc/blobs/1ce4/7250977/053d71dccd97/CCR3-8-905-g007.jpg
https://cdn.ncbi.nlm.nih.gov/pmc/blobs/1ce4/7250977/ce2eca06afc2/CCR3-8-905-g008.jpg
https://cdn.ncbi.nlm.nih.gov/pmc/blobs/1ce4/7250977/662620eb8890/CCR3-8-905-g009.jpg
https://cdn.ncbi.nlm.nih.gov/pmc/blobs/1ce4/7250977/c6f4d888b08a/CCR3-8-905-g010.jpg
https://cdn.ncbi.nlm.nih.gov/pmc/blobs/1ce4/7250977/76b58fd66ad2/CCR3-8-905-g001.jpg
https://cdn.ncbi.nlm.nih.gov/pmc/blobs/1ce4/7250977/ccf9f6091868/CCR3-8-905-g002.jpg
https://cdn.ncbi.nlm.nih.gov/pmc/blobs/1ce4/7250977/b5035559b403/CCR3-8-905-g003.jpg
https://cdn.ncbi.nlm.nih.gov/pmc/blobs/1ce4/7250977/ea3f2e2bb4a9/CCR3-8-905-g004.jpg
https://cdn.ncbi.nlm.nih.gov/pmc/blobs/1ce4/7250977/b18410f062d6/CCR3-8-905-g005.jpg
https://cdn.ncbi.nlm.nih.gov/pmc/blobs/1ce4/7250977/f28cd40bd91d/CCR3-8-905-g006.jpg
https://cdn.ncbi.nlm.nih.gov/pmc/blobs/1ce4/7250977/053d71dccd97/CCR3-8-905-g007.jpg
https://cdn.ncbi.nlm.nih.gov/pmc/blobs/1ce4/7250977/ce2eca06afc2/CCR3-8-905-g008.jpg
https://cdn.ncbi.nlm.nih.gov/pmc/blobs/1ce4/7250977/662620eb8890/CCR3-8-905-g009.jpg
https://cdn.ncbi.nlm.nih.gov/pmc/blobs/1ce4/7250977/c6f4d888b08a/CCR3-8-905-g010.jpg

相似文献

1
Lipase hypersecretion syndrome: A rare cutaneous manifestation of advanced pancreatic acinar cell carcinoma.脂肪酶分泌过多综合征:晚期胰腺腺泡细胞癌的一种罕见皮肤表现。
Clin Case Rep. 2020 Mar 12;8(5):905-910. doi: 10.1002/ccr3.2785. eCollection 2020 May.
2
Lipase hypersecretion syndrome: A distinct form of paraneoplastic syndrome specific to pancreatic acinar carcinomas.脂肪酶分泌过多综合征:一种独特的副肿瘤综合征,特定于胰腺腺泡细胞癌。
Semin Diagn Pathol. 2019 Jul;36(4):240-245. doi: 10.1053/j.semdp.2019.07.001. Epub 2019 Jul 5.
3
Pancreatic acinar cell carcinoma presenting with panniculitis, successfully treated with FOLFIRINOX: A case report.以脂膜炎为表现的胰腺腺泡细胞癌,采用FOLFIRINOX方案成功治疗:一例报告
Mol Clin Oncol. 2017 Jun;6(6):866-870. doi: 10.3892/mco.2017.1240. Epub 2017 May 5.
4
Acinar cell carcinoma of the pancreas associated with subcutaneous panniculitis.胰腺腺泡细胞癌伴皮下脂膜炎
JOP. 2011 May 6;12(3):292-6.
5
Painful lower limb nodules as first symptom of resectable pancreatic acinar cell cancer: a case report.以下肢疼痛性结节为首发症状的可切除胰腺腺泡细胞癌 1 例报告
J Med Case Rep. 2022 Oct 5;16(1):356. doi: 10.1186/s13256-022-03595-1.
6
The surgical management of metastatic pancreatic acinar cell carcinoma and associated pancreatic panniculitis-A case report and literature review.转移性胰腺腺泡细胞癌及相关胰腺脂膜炎的外科治疗——病例报告及文献综述
Int J Surg Case Rep. 2020;76:539-544. doi: 10.1016/j.ijscr.2020.10.062. Epub 2020 Oct 19.
7
Pancreatic panniculitis and elevated serum lipase in metastasized acinar cell carcinoma of the pancreas: A case report and review of literature.胰腺转移性腺泡细胞癌中的胰腺脂膜炎与血清脂肪酶升高:一例报告并文献复习
World J Clin Cases. 2020 Nov 6;8(21):5304-5312. doi: 10.12998/wjcc.v8.i21.5304.
8
Necrotizing panniculitis: a skin condition associated with acinar cell carcinoma of the pancreas.坏死性脂膜炎:一种与胰腺腺泡细胞癌相关的皮肤病症。
South Med J. 2008 May;101(5):554-5. doi: 10.1097/SMJ.0b013e31816bf5eb.
9
Pancreatic panniculitis in a patient with pancreatic-type acinar cell carcinoma of the liver--case report and review of literature.肝胰型腺泡细胞癌患者的胰腺脂肪坏死——病例报告及文献复习
BMC Cancer. 2016 Feb 20;16:130. doi: 10.1186/s12885-016-2184-6.
10
Subcutaneous fat necrosis/panniculitis and polyarthritis associated with acinar cell carcinoma of the pancreas: a rare presentation of pancreatitis, panniculitis and polyarthritis syndrome.皮下脂肪坏死/脂膜炎及多关节炎与胰腺腺泡细胞癌相关:胰腺炎、脂膜炎和多关节炎综合征的罕见表现
J Drugs Dermatol. 2010 Sep;9(9):1145-50.

引用本文的文献

1
Two rare cancers of the exocrine pancreas: to treat or not to treat like ductal adenocarcinoma?胰腺外分泌部的两种罕见癌症:是否应像导管腺癌一样进行治疗?
J Cancer Metastasis Treat. 2023;9. doi: 10.20517/2394-4722.2022.106. Epub 2023 Mar 7.
2
Curative remnant total pancreatectomy for recurrent pancreatic acinar cell carcinoma: A case report.复发性胰腺腺泡细胞癌的根治性残余全胰切除术:一例报告
Int J Surg Case Rep. 2022 May;94:107091. doi: 10.1016/j.ijscr.2022.107091. Epub 2022 Apr 18.

本文引用的文献

1
Lipase hypersecretion syndrome: A distinct form of paraneoplastic syndrome specific to pancreatic acinar carcinomas.脂肪酶分泌过多综合征:一种独特的副肿瘤综合征,特定于胰腺腺泡细胞癌。
Semin Diagn Pathol. 2019 Jul;36(4):240-245. doi: 10.1053/j.semdp.2019.07.001. Epub 2019 Jul 5.
2
Pancreatic panniculitis with polyarthritis (PPP syndrome).胰腺性脂膜炎伴多关节炎(PPP综合征)。
J Dtsch Dermatol Ges. 2019 May;17(5):546-547. doi: 10.1111/ddg.13839. Epub 2019 Apr 17.
3
Necrotizing Panniculitis as an Uncommon Manifestation of Acute Pancreatitis.
坏死性脂膜炎作为急性胰腺炎的一种罕见表现
Eur J Case Rep Intern Med. 2017 Apr 27;4(3):000540. doi: 10.12890/2017_000540. eCollection 2017.
4
Pancreatic acinar cell carcinoma-induced panniculitis.胰腺腺泡细胞癌所致脂膜炎
JAAD Case Rep. 2018 Aug 15;4(7):719-721. doi: 10.1016/j.jdcr.2018.05.003. eCollection 2018 Aug.
5
Systemic Chemotherapy for Advanced Rare Pancreatic Histotype Tumors: A Retrospective Multicenter Analysis.晚期罕见胰腺组织学类型肿瘤的全身化疗:一项回顾性多中心分析
Pancreas. 2018 Jul;47(6):759-771. doi: 10.1097/MPA.0000000000001063.
6
Imaging features of pancreatic metastases: A comparison with pancreatic ductal adenocarcinoma.胰腺转移瘤的影像学特征:与胰腺导管腺癌的比较。
Clin Imaging. 2018 Sep-Oct;51:76-82. doi: 10.1016/j.clinimag.2018.01.016. Epub 2018 Feb 6.
7
Pancreatic panniculitis: the "bright" side of the moon in solid cancer patients.胰腺性脂膜炎:实体癌患者中的“月亮的光明面”
BMC Gastroenterol. 2018 Jan 4;18(1):1. doi: 10.1186/s12876-017-0727-1.
8
Pancreatic Panniculitis and Polyarthritis.胰腺性脂膜炎和多关节炎
Curr Rheumatol Rep. 2017 Aug 26;19(10):62. doi: 10.1007/s11926-017-0690-4.
9
Pancreatitis, panniculitis, and polyarthritis (PPP) syndrome: MRI features of intraosseous fat necrosis involving the feet and knees.胰腺炎、脂膜炎和多关节炎(PPP)综合征:累及足部和膝部的骨内脂肪坏死的MRI特征
Skeletal Radiol. 2017 Feb;46(2):279-285. doi: 10.1007/s00256-016-2549-6. Epub 2016 Dec 7.
10
Magnetic resonance imaging of the cirrhotic liver in the era of gadoxetic acid.钆塞酸二钠时代肝硬化肝脏的磁共振成像
World J Gastroenterol. 2016 Jan 7;22(1):103-11. doi: 10.3748/wjg.v22.i1.103.