Suppr超能文献

脂肪因子作为奶牛产后亚临床子宫内膜炎的生物标志物

Adipokines as biomarkers of postpartum subclinical endometritis in dairy cows.

作者信息

Pereira Gonçalo, Bexiga Ricardo, Chagas E Silva João, Silva Elisabete, Ramé Christelle, Dupont Joëlle, Guo Yongzhi, Humblot Patrice, Lopes-da-Costa Luís

机构信息

CIISA - Centro de Investigação Interdisciplinar em Sanidade Animal, Faculdade de Medicina Veterinária, Universidade de Lisboa, Lisboa, Portugal.

INRAE, UMR85 Physiologie de la Reproduction et des Comportements, Nouzilly, France.

出版信息

Reproduction. 2020 Sep;160(3):417-430. doi: 10.1530/REP-20-0183.

Abstract

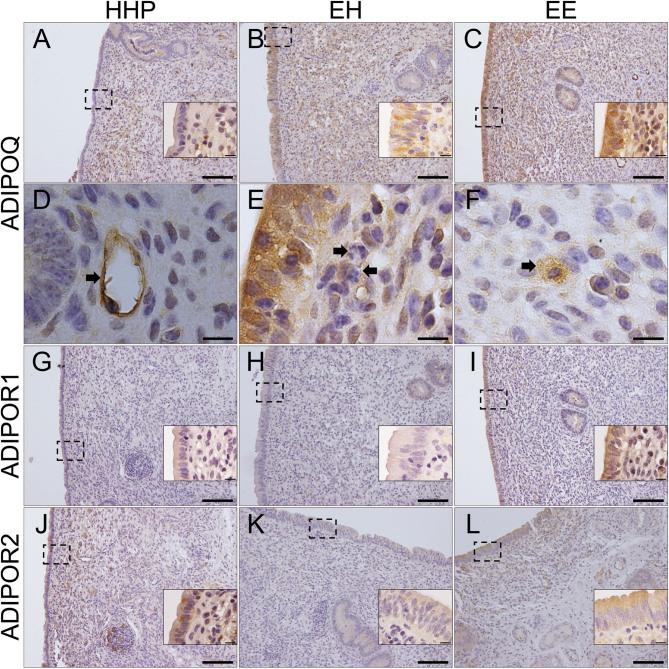
Adipokines emerged as regulators of metabolism and inflammation in several scenarios. This study evaluated the relationship between adipokines (adiponectin, chemerin and visfatin) and cytological (subclinical) endometritis, by comparing healthy (without), transient (recovered by 45 days postpartum (DPP)) and persistent (until 45 DPP) endometritis cows (n = 49). Cows with persistent endometritis had higher adiponectin concentrations in plasma (at 21 DPP, P < 0.05 and at 45 DPP, P < 0.01) and in uterine fluid (at 45 DPP, P < 0.001), and higher chemerin concentrations in plasma (P < 0.05) and uterine fluid (P < 0.01) at 45 DPP than healthy cows. Cows with persistent endometritis had higher gene transcription in the cellular pellet of uterine fluid and protein expression in the endometrium of these adipokines and their receptors than healthy cows. Adiponectin plasma concentrations allowed to discriminate healthy from persistent endometritis cows, in 87% (21 DPP) and 98% (45 DPP) of cases, and adiponectin and chemerin uterine fluid concentrations at 45 DPP allowed for this discrimination in 100% of cases. Cows with concentrations above the cutoff were a minimum of 3.5 (plasma 21 DPP), 20.4 (plasma 45 DPP), and 33.3 (uterine fluid 45 DPP) times more at risk of evidencing persistent endometritis at 45 DPP than cows with concentrations below the cutoff. Overall, results indicate a relationship between adipokine signalling and the inflammatory status of the postpartum uterus of dairy cows, evidencing that adipokines represent suitable biomarkers of subclinical endometritis, able to predict the risk of persistence of inflammation.

摘要

在多种情况下,脂肪因子成为代谢和炎症的调节因子。本研究通过比较健康(无子宫内膜炎)、短暂性(产后45天恢复)和持续性(直至产后45天)子宫内膜炎奶牛(n = 49),评估了脂肪因子(脂联素、chemerin和内脂素)与细胞学(亚临床)子宫内膜炎之间的关系。患有持续性子宫内膜炎的奶牛血浆中脂联素浓度(产后21天,P < 0.05;产后45天,P < 0.01)和子宫液中脂联素浓度(产后45天,P < 0.001)更高,且产后45天时血浆中chemerin浓度(P < 0.05)和子宫液中chemerin浓度(P < 0.01)高于健康奶牛。与健康奶牛相比,患有持续性子宫内膜炎的奶牛子宫液细胞沉淀中的基因转录以及这些脂肪因子及其受体在子宫内膜中的蛋白表达更高。脂联素血浆浓度在87%(产后21天)和98%(产后45天)的病例中能够区分健康奶牛和患有持续性子宫内膜炎的奶牛,产后45天时脂联素和chemerin子宫液浓度在100%的病例中能够进行这种区分。浓度高于临界值的奶牛在产后45天出现持续性子宫内膜炎的风险比浓度低于临界值的奶牛至少高3.5倍(血浆产后21天)、20.4倍(血浆产后45天)和33.3倍(子宫液产后45天)。总体而言,结果表明脂肪因子信号与奶牛产后子宫的炎症状态之间存在关联,证明脂肪因子是亚临床子宫内膜炎的合适生物标志物,能够预测炎症持续的风险。

https://cdn.ncbi.nlm.nih.gov/pmc/blobs/b8bd/7424352/2cfbeca7f928/REP-20-0183fig1.jpg

文献AI研究员

20分钟写一篇综述,助力文献阅读效率提升50倍。

立即体验

用中文搜PubMed

大模型驱动的PubMed中文搜索引擎

马上搜索

文档翻译

学术文献翻译模型,支持多种主流文档格式。

立即体验