Instituto de Radiologia (InRad), Hospital das Clinicas HCFMUSP, Faculdade de Medicina, Universidade de Sao Paulo, Sao Paulo, SP, BR.
Instituto do Coracao (InCor), Hospital das Clinicas (HCFMUSP), Faculdade de Medicina, Universidade de Sao Paulo, Sao Paulo, SP, BR.
Clinics (Sao Paulo). 2020 Jun 22;75:e2027. doi: 10.6061/clinics/2020/e2027. eCollection 2020.
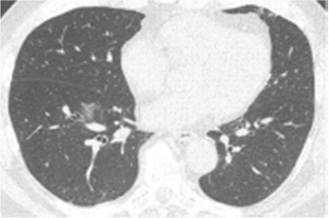
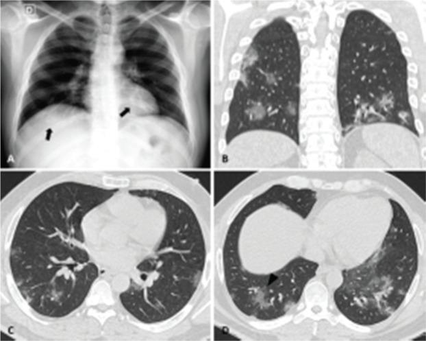
The coronavirus disease (COVID-19), caused by the severe acute respiratory syndrome coronavirus 2 (SARS-CoV-2), emerged in Wuhan city and was declared a pandemic in March 2020. Although the virus is not restricted to the lung parenchyma, the use of chest imaging in COVID-19 can be especially useful for patients with moderate to severe symptoms or comorbidities. This article aimed to demonstrate the chest imaging findings of COVID-19 on different modalities: chest radiography, computed tomography, and ultrasonography. In addition, it intended to review recommendations on imaging assessment of COVID-19 and to discuss the use of a structured chest computed tomography report. Chest radiography, despite being a low-cost and easily available method, has low sensitivity for screening patients. It can be useful in monitoring hospitalized patients, especially for the evaluation of complications such as pneumothorax and pleural effusion. Chest computed tomography, despite being highly sensitive, has a low specificity, and hence cannot replace the reference diagnostic test (reverse transcription polymerase chain reaction). To facilitate the confection and reduce the variability of radiological reports, some standardizations with structured reports have been proposed. Among the available classifications, it is possible to divide the radiological findings into typical, indeterminate, atypical, and negative findings. The structured report can also contain an estimate of the extent of lung involvement (e.g., more or less than 50% of the lung parenchyma). Pulmonary ultrasonography can also be an auxiliary method, especially for monitoring hospitalized patients in intensive care units, where transfer to a tomography scanner is difficult.
新型冠状病毒病(COVID-19)由严重急性呼吸系统综合征冠状病毒 2(SARS-CoV-2)引起,于 2020 年 3 月在武汉市出现,并被宣布为大流行。尽管该病毒不限于肺实质,但在 COVID-19 中使用胸部成像对于中度至重度症状或合并症患者可能特别有用。本文旨在展示 COVID-19 在不同方式下的胸部成像发现:胸部 X 线摄影、计算机断层扫描和超声检查。此外,它旨在回顾 COVID-19 成像评估的建议,并讨论使用结构化胸部计算机断层扫描报告。尽管胸部 X 线摄影是一种成本低且易于获得的方法,但对筛查患者的敏感性较低。它可用于监测住院患者,特别是评估气胸和胸腔积液等并发症。尽管胸部计算机断层扫描具有较高的敏感性,但特异性较低,因此不能替代参考诊断测试(逆转录聚合酶链反应)。为了便于制定并减少放射学报告的可变性,已经提出了一些具有结构化报告的标准化建议。在现有的分类中,可以将放射学发现分为典型、不确定、非典型和阴性发现。结构化报告还可以包含对肺受累程度的估计(例如,肺实质的 50%以上或以下)。肺部超声检查也可以是一种辅助方法,特别是对于在重症监护病房住院的患者进行监测,在重症监护病房中,将患者转移到计算机断层扫描机会很困难。