Suppr超能文献

子宫内膜异位症中循环mir-185-5p、血管内皮生长因子和血小板衍生生长因子靶基因的表达水平。

Expression levels of circulatory mir-185-5p, vascular endothelial growth factor, and platelet-derived growth factor target genes in endometriosis.

作者信息

Hossein Razi Mohammad, Eftekhar Maryam, Ghasemi Nasrin, Hasan Sheikhha Mohammad, Dehghani Firoozabadi Ali

机构信息

Research and Clinical Center for Infertility, Yazd Reproductive Sciences Institute, Shahid Sadoughi University of Medical Sciences, Yazd, Iran.

Biotechnology Research Center, International Campus, Shahid Sadoughi University of Medical Sciences, Yazd, Iran.

出版信息

Int J Reprod Biomed. 2020 May 31;18(5):347-358. doi: 10.18502/ijrm.v13i5.7155. eCollection 2020 May.

Abstract

BACKGROUND

Using blood-based biomarkers such as microRNAs (miRNAs) may allow particularly effective and minimally invasive diagnosis and treatment of endometriosis. We evaluated the differential expression of circulating miRNA-185-5p (miR-185-5p), vascular endothelial growth factor , and platelet-derived growth factor target genes between endometriosis and healthy women.

MATERIALS AND METHODS

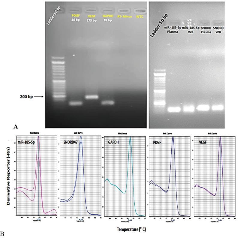
25 women with a history of endometriosis (grad III-IV) diagnosed by laparoscopy as the case group and 25 women without endometriosis underwent laparoscopy for ovarian cysts or pelvic pain as the control group were enrolled in this case-control study. Blood samples were obtained, and total RNA was used for high-throughput small RNA sequencing, and this was confirmed by means of quantitative real-time polymerase chain reaction (qRT-PCR).

RESULTS

miRNA expression profiling using non-coding RNA sequencing revealed that one miRNA including miR-185-5p was significantly down-regulated in the case group compared with the controls. The qRT-PCR results showed significant downregulation of the expression level of miR-185-5p ( 0.01) in the plasma of the case group. Receiver operating characteristic (ROC) curve analysis showed the area of miR-185-5p under the ROC curve for endometriosis diagnosis was 0.919 ( 0.001). The RT-PCR results demonstrated that there was no significant difference in the expression of and mRNA of blood samples in the cases compared to the control group (, = 0.09 and , = 0.36).

CONCLUSION

The low expression of miR-185-5p in the plasma of women with endometriosis could be employed as an important non-invasive biomarker for early detection and screening of endometriosis by blood samples.

摘要

背景

使用基于血液的生物标志物,如微小RNA(miRNA),可能会实现对子宫内膜异位症特别有效且微创的诊断和治疗。我们评估了子宫内膜异位症患者与健康女性之间循环miRNA - 185 - 5p(miR - 185 - 5p)、血管内皮生长因子以及血小板衍生生长因子靶基因的差异表达。

材料与方法

本病例对照研究纳入了25例经腹腔镜诊断为子宫内膜异位症(III - IV级)的女性作为病例组,以及25例因卵巢囊肿或盆腔疼痛接受腹腔镜检查且无子宫内膜异位症的女性作为对照组。采集血样,提取总RNA用于高通量小RNA测序,并通过定量实时聚合酶链反应(qRT - PCR)进行验证。

结果

使用非编码RNA测序进行的miRNA表达谱分析显示,与对照组相比,病例组中有一个miRNA(包括miR - 185 - 5p)显著下调。qRT - PCR结果显示病例组血浆中miR - 185 - 5p的表达水平显著下调(P < 0.01)。受试者工作特征(ROC)曲线分析表明,用于子宫内膜异位症诊断的miR - 185 - 5p在ROC曲线下的面积为0.919(P < 0.001)。RT - PCR结果表明,与对照组相比,病例组血样中血管内皮生长因子和血小板衍生生长因子mRNA的表达无显著差异(P = 0.09和P = 0.36)。

结论

子宫内膜异位症女性血浆中miR - 185 - 5p的低表达可作为通过血样早期检测和筛查子宫内膜异位症的重要非侵入性生物标志物。

https://cdn.ncbi.nlm.nih.gov/pmc/blobs/4ad7/7306060/c3b766c7348c/ijrb-18-347-g001.jpg

文献检索

告别复杂PubMed语法,用中文像聊天一样搜索,搜遍4000万医学文献。AI智能推荐,让科研检索更轻松。

立即免费搜索

文件翻译

保留排版,准确专业,支持PDF/Word/PPT等文件格式,支持 12+语言互译。

免费翻译文档

深度研究

AI帮你快速写综述,25分钟生成高质量综述,智能提取关键信息,辅助科研写作。

立即免费体验