• 文献检索
  • 文档翻译
  • 深度研究
  • 学术资讯
  • Suppr Zotero 插件Zotero 插件
  • 邀请有礼
  • 套餐&价格
  • 历史记录
应用&插件
Suppr Zotero 插件Zotero 插件浏览器插件Mac 客户端Windows 客户端微信小程序
定价
高级版会员购买积分包购买API积分包
服务
文献检索文档翻译深度研究API 文档MCP 服务
关于我们
关于 Suppr公司介绍联系我们用户协议隐私条款
关注我们

Suppr 超能文献

核心技术专利:CN118964589B侵权必究
粤ICP备2023148730 号-1Suppr @ 2026

文献检索

告别复杂PubMed语法,用中文像聊天一样搜索,搜遍4000万医学文献。AI智能推荐,让科研检索更轻松。

立即免费搜索

文件翻译

保留排版,准确专业,支持PDF/Word/PPT等文件格式,支持 12+语言互译。

免费翻译文档

深度研究

AI帮你快速写综述,25分钟生成高质量综述,智能提取关键信息,辅助科研写作。

立即免费体验

成人食管气道瘘的直接和间接CT影像特征

Direct and indirect CT imaging features of esophago-airway fistula in adults.

作者信息

Little Brent P, Mendoza Dexter P, Fox Andrew, Wu Carol C, Ackman Jeanne B, Shepard Jo-Anne, Muniappan Ashok, Digumarthy Subba R

机构信息

Department of Radiology, Massachusetts General Hospital, Boston, MA, USA.

Department of Radiology, McGill University, Montreal, Quebec, Canada.

出版信息

J Thorac Dis. 2020 Jun;12(6):3157-3166. doi: 10.21037/jtd-20-244.

DOI:10.21037/jtd-20-244
PMID:32642237
原文链接:https://pmc.ncbi.nlm.nih.gov/articles/PMC7330784/
Abstract

BACKGROUND

Esophago-airway fistula (EAF) is an abnormal connection between the esophagus and the trachea or a major bronchus. While contrast esophagography remains the primary radiographic tool for the diagnosis of EAF, computed tomography (CT) is often employed in its evaluation. A systematic analysis of CT findings of EAF in adults has not been previously published. The goal of our study is to determine the direct and indirect CT findings of EAF in adults.

METHODS

We identified patients with EAF detected on CT at our institution between January 1, 2001 and December 31, 2019, with endoscopic or surgical confirmation. We collected patient clinicopathologic characteristics and assessed CTs for direct and indirect imaging features of EAF in these patients.

RESULTS

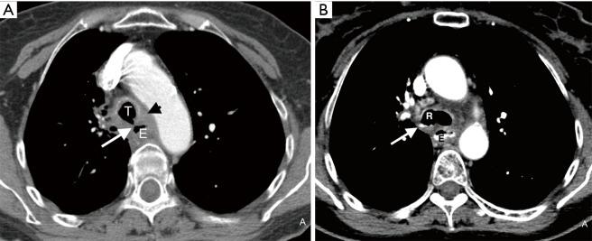
Twenty-six patients (median age: 56 years; range, 25-79 years; F=13, 50% and M=13, 50%) with confirmed EAF were identified. Half of the patients had an underlying malignancy. On CT, a direct connection between the esophagus and the airway was identified in most cases (22/26; 85%). Common indirect CT findings of EAF included esophageal wall thickening (21/26, 81%), mediastinal fatty stranding (21/26, 81%), airway wall thickening (20/26, 77%), fluid or debris within the airways (17/26, 65%), and focal or diffuse esophageal dilation with air (17/26, 65%). Mediastinal fluid collections were infrequently seen (4/26, 15%), but findings of aspiration or other pneumonia were common (19/26, 73%).

CONCLUSIONS

CT plays an essential role in both the primary and secondary evaluation of adult EAF resulting from both malignant and benign etiologies. CT may be the first diagnostic exam to suggest and detect the presence of EAF and may precede clinical suspicion, and it can detect a subset of fistulas not demonstrated on esophagography. There are several direct and indirect imaging findings on CT that can help in the detection of EAF.

摘要

背景

食管气道瘘(EAF)是食管与气管或主支气管之间的异常连接。虽然食管造影仍是诊断EAF的主要影像学检查方法,但计算机断层扫描(CT)常用于其评估。此前尚未发表过对成人EAF的CT表现的系统分析。我们研究的目的是确定成人EAF的直接和间接CT表现。

方法

我们确定了2001年1月1日至2019年12月31日期间在我们机构通过CT检测出EAF且经内镜或手术证实的患者。我们收集了患者的临床病理特征,并评估了这些患者EAF的直接和间接影像学特征。

结果

共确定了26例确诊为EAF的患者(中位年龄:56岁;范围25 - 79岁;女性13例,占50%;男性13例,占50%)。半数患者有潜在恶性肿瘤。在CT上,大多数病例(22/26;85%)可发现食管与气道之间的直接连接。EAF常见的间接CT表现包括食管壁增厚(21/26,81%)、纵隔脂肪条索影(21/26,81%)、气道壁增厚(20/26,77%)、气道内液体或碎屑(17/26,65%)以及局限性或弥漫性食管扩张并伴有气体(17/26,65%)。纵隔积液较少见(4/26,15%),但吸入性或其他肺炎的表现常见(第十九/26,73%)。

结论

CT在成人EAF(由恶性和良性病因引起)的初步和二次评估中都起着至关重要的作用。CT可能是首先提示和检测到EAF存在的诊断检查,可能先于临床怀疑,并且它可以检测出食管造影未显示的一部分瘘。CT上有几种直接和间接影像学表现有助于检测EAF。

https://cdn.ncbi.nlm.nih.gov/pmc/blobs/50b3/7330784/1febf5463639/jtd-12-06-3157-f3.jpg
https://cdn.ncbi.nlm.nih.gov/pmc/blobs/50b3/7330784/65797eba5c48/jtd-12-06-3157-f1.jpg
https://cdn.ncbi.nlm.nih.gov/pmc/blobs/50b3/7330784/e7571a2d70ba/jtd-12-06-3157-f2.jpg
https://cdn.ncbi.nlm.nih.gov/pmc/blobs/50b3/7330784/1febf5463639/jtd-12-06-3157-f3.jpg
https://cdn.ncbi.nlm.nih.gov/pmc/blobs/50b3/7330784/65797eba5c48/jtd-12-06-3157-f1.jpg
https://cdn.ncbi.nlm.nih.gov/pmc/blobs/50b3/7330784/e7571a2d70ba/jtd-12-06-3157-f2.jpg
https://cdn.ncbi.nlm.nih.gov/pmc/blobs/50b3/7330784/1febf5463639/jtd-12-06-3157-f3.jpg

相似文献

1
Direct and indirect CT imaging features of esophago-airway fistula in adults.成人食管气道瘘的直接和间接CT影像特征
J Thorac Dis. 2020 Jun;12(6):3157-3166. doi: 10.21037/jtd-20-244.
2
Simultaneous dual scope endotherapy of esophago-airway fistulas and obstructions.食管气道瘘和梗阻的同步双镜下内镜治疗
Dis Esophagus. 2014 Jul;27(5):428-34. doi: 10.1111/dote.12120. Epub 2013 Aug 13.
3
Are single or dual luminal covered expandable metallic stents suitable for esophageal squamous cell carcinoma with esophago-airway fistula?单腔或双腔覆膜可扩张金属支架适用于伴有食管气管瘘的食管鳞状细胞癌吗?
Surg Endosc. 2017 Mar;31(3):1148-1155. doi: 10.1007/s00464-016-5084-6. Epub 2016 Jul 13.
4
Computed tomography and upper gastrointestinal series findings of esophageal bronchi in infants.婴儿食管支气管的计算机断层扫描和上消化道造影检查结果
Pediatr Radiol. 2017 Feb;47(2):154-160. doi: 10.1007/s00247-016-3724-6. Epub 2016 Oct 26.
5
Esophageal fistula: demonstration by CT.食管瘘:CT 显示
Radiat Med. 1988 May-Jun;6(3):115-6.
6
Tracheoesophageal fistula.气管食管瘘
Chest Surg Clin N Am. 2003 May;13(2):271-89. doi: 10.1016/s1052-3359(03)00030-9.
7
Congenital bronchoesophageal fistula and tracheoesophageal fistula with esophageal atresia.先天性支气管食管瘘和合并食管闭锁的气管食管瘘。
Pediatr Pulmonol. 2002 Feb;33(2):162-4. doi: 10.1002/ppul.10039.
8
Surgical management of acquired tracheo/bronchoesophageal fistula associated with esophageal diverticulum.与食管憩室相关的后天性气管/支气管食管瘘的外科治疗
J Thorac Dis. 2017 Oct;9(10):3684-3692. doi: 10.21037/jtd.2017.09.81.
9
Role of preoperative 3D CT reconstruction for evaluation of patients with esophageal atresia and tracheoesophageal fistula.术前三维CT重建在食管闭锁及食管气管瘘患者评估中的作用
Pediatr Surg Int. 2012 Oct;28(10):961-6. doi: 10.1007/s00383-012-3111-9. Epub 2012 Jun 22.
10
Congenital tracheoesophageal fistula successfully diagnosed by CT esophagography.通过CT食管造影成功诊断先天性气管食管瘘。
World J Gastroenterol. 2006 Mar 7;12(9):1476-8. doi: 10.3748/wjg.v12.i9.1476.

引用本文的文献

1
Gastrointestinal oncologic emergencies: a radiologists' guide.胃肠道肿瘤急症:放射科医生指南
Abdom Radiol (NY). 2025 Jun 4. doi: 10.1007/s00261-025-05012-9.
2
CT of the esophagus in the ER: what you need to know and what you need to remember.急诊室中食管的CT:你需要了解的和需要记住的。
Emerg Radiol. 2025 Jun;32(3):447-455. doi: 10.1007/s10140-025-02339-0. Epub 2025 Apr 16.
3
Bronchoesophageal Fistula following Radiotherapy: A Case Report.放疗后支气管食管瘘:一例报告

本文引用的文献

1
ACR Appropriateness Criteria Dysphagia.美国放射学会适宜性标准:吞咽困难
J Am Coll Radiol. 2019 May;16(5S):S104-S115. doi: 10.1016/j.jacr.2019.02.007.
2
The surgical management of non-malignant aerodigestive fistula.非恶性气道消化道瘘的外科治疗
J Cardiothorac Surg. 2018 Nov 15;13(1):113. doi: 10.1186/s13019-018-0799-1.
3
Penetrating shrapnel injury to the chest presenting as a delayed tracheoesophageal fistula (TEF). A case report.穿透性胸部弹片伤表现为迟发性气管食管瘘(TEF)。病例报告。
Case Rep Gastroenterol. 2025 Apr 1;19(1):225-231. doi: 10.1159/000544975. eCollection 2025 Jan-Dec.
4
Optimizing CT Esophagography: Ex Vivo Study on Contrast Ratios, Image Quality, and Dual-Energy Benefits.优化CT食管造影:关于对比剂比率、图像质量和双能优势的体外研究
Bioengineering (Basel). 2024 Dec 20;11(12):1300. doi: 10.3390/bioengineering11121300.
5
Diagnosis and Management of Esophageal Fistulas After Lung Transplantation: A Case Series.肺移植术后食管瘘的诊断与处理:病例系列
Transplant Direct. 2024 Feb 26;10(3):e1593. doi: 10.1097/TXD.0000000000001593. eCollection 2024 Mar.
6
MSCT study for adult esophageal diverticulum with secondary broncho-esophageal fistula.成人食管憩室并支气管-食管瘘的多层螺旋 CT 研究。
J Cardiothorac Surg. 2024 Feb 26;19(1):107. doi: 10.1186/s13019-024-02510-7.
7
Caustic ingestion: CT findings of esophageal injuries and thoracic complications.腐蚀性物质摄入:食管损伤和胸部并发症的 CT 表现。
Emerg Radiol. 2021 Aug;28(4):845-856. doi: 10.1007/s10140-021-01918-1. Epub 2021 Mar 8.
Trauma Case Rep. 2018 Sep 26;17:5-8. doi: 10.1016/j.tcr.2018.09.002. eCollection 2018 Oct.
4
Management of Acquired Benign Tracheoesophageal Fistulae.后天性良性气管食管瘘的管理
Thorac Surg Clin. 2018 Aug;28(3):385-392. doi: 10.1016/j.thorsurg.2018.05.004.
5
Management of acquired nonmalignant tracheoesophageal fistula: Surgical pearls.后天性非恶性气管食管瘘的管理:手术要点
J Thorac Cardiovasc Surg. 2017 Dec;154(6):e123. doi: 10.1016/j.jtcvs.2017.08.031. Epub 2017 Aug 24.
6
Recurrent and congenital tracheoesophageal fistula in adults.成人复发性和先天性气管食管瘘。
Eur J Cardiothorac Surg. 2017 Dec 1;52(6):1218-1222. doi: 10.1093/ejcts/ezx164.
7
Computed tomography and upper gastrointestinal series findings of esophageal bronchi in infants.婴儿食管支气管的计算机断层扫描和上消化道造影检查结果
Pediatr Radiol. 2017 Feb;47(2):154-160. doi: 10.1007/s00247-016-3724-6. Epub 2016 Oct 26.
8
Surgical Management of Benign Acquired Tracheoesophageal Fistulas: A Ten-Year Experience.良性后天性气管食管瘘的外科治疗:十年经验
Ann Thorac Surg. 2016 Oct;102(4):1081-7. doi: 10.1016/j.athoracsur.2016.04.029. Epub 2016 Jun 18.
9
Adult Bronchoesophageal Fistula Diagnosed on Computed Tomography.成人支气管食管瘘经计算机断层扫描诊断
Radiol Case Rep. 2015 Dec 7;3(2):126. doi: 10.2484/rcr.v3i2.126. eCollection 2008.
10
Role of Barium Swallow in Diagnosing Clinically Significant Anastomotic Leak following Esophagectomy.食管切除术后吞钡检查在诊断具有临床意义的吻合口漏中的作用。
Korean J Thorac Cardiovasc Surg. 2016 Apr;49(2):99-106. doi: 10.5090/kjtcs.2016.49.2.99. Epub 2016 Apr 5.