Department of Radiology, Iuliu Haţieganu University of Medicine and Pharmacy, Cluj-Napoca, Romania.
Medimages Breast Center, Cluj-Napoca, Romania.
Korean J Radiol. 2020 Aug;21(8):955-966. doi: 10.3348/kjr.2019.0831.
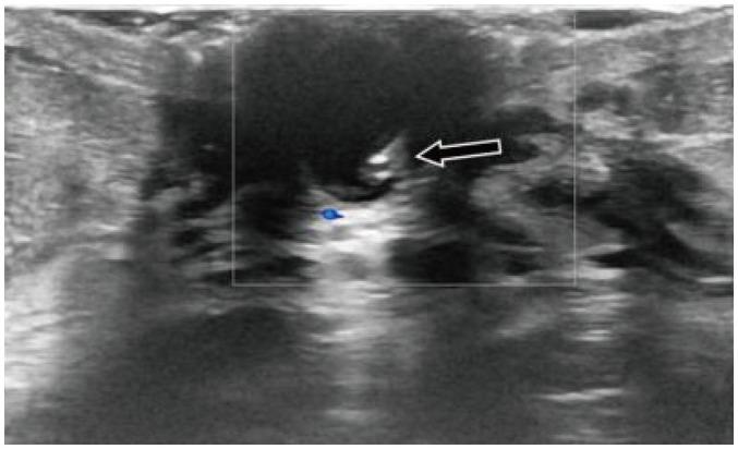
Ultrasound (US) is an attractive diagnostic approach to identify both common and uncommon nipple pathologies, such as duct ectasia, nipple abscess, nipple leiomyoma, nipple adenoma, fibroepithelial polyp, ductal carcinoma (restricted to nipple), invasive carcinoma, and Paget's disease. US is the reliable first-line imaging technique to assess nipple pathologies. It is useful to identify and characterize nipple lesions. Additionally, we have presented the mammography and MRI outcomes correlated with histopathologic features for the relevant cases.
超声(US)是一种有吸引力的诊断方法,可用于识别常见和不常见的乳头病变,如导管扩张症、乳头脓肿、乳头平滑肌瘤、乳头腺瘤、纤维上皮性息肉、导管癌(仅限于乳头)、浸润性癌和派杰病。超声是评估乳头病变的可靠一线成像技术。它可用于识别和描述乳头病变。此外,我们还展示了与相关病例的组织病理学特征相关的乳腺 X 线摄影和 MRI 结果。