• 文献检索
  • 文档翻译
  • 深度研究
  • 学术资讯
  • Suppr Zotero 插件Zotero 插件
  • 邀请有礼
  • 套餐&价格
  • 历史记录
应用&插件
Suppr Zotero 插件Zotero 插件浏览器插件Mac 客户端Windows 客户端微信小程序
定价
高级版会员购买积分包购买API积分包
服务
文献检索文档翻译深度研究API 文档MCP 服务
关于我们
关于 Suppr公司介绍联系我们用户协议隐私条款
关注我们

Suppr 超能文献

核心技术专利:CN118964589B侵权必究
粤ICP备2023148730 号-1Suppr @ 2026

文献检索

告别复杂PubMed语法,用中文像聊天一样搜索,搜遍4000万医学文献。AI智能推荐,让科研检索更轻松。

立即免费搜索

文件翻译

保留排版,准确专业,支持PDF/Word/PPT等文件格式,支持 12+语言互译。

免费翻译文档

深度研究

AI帮你快速写综述,25分钟生成高质量综述,智能提取关键信息,辅助科研写作。

立即免费体验

利用噬菌体phi 6大基因组片段的cDNA拷贝在大肠杆菌中生产多面体颗粒。

Production of a polyhedral particle in Escherichia coli from a cDNA copy of the large genomic segment of bacteriophage phi 6.

作者信息

Gottlieb P, Strassman J, Bamford D H, Mindich L

机构信息

Department of Microbiology, Public Health Research Institute of the City of New York, Inc., New York 10016.

出版信息

J Virol. 1988 Jan;62(1):181-7. doi: 10.1128/JVI.62.1.181-187.1988.

DOI:10.1128/JVI.62.1.181-187.1988
PMID:3275432
原文链接:https://pmc.ncbi.nlm.nih.gov/articles/PMC250517/
Abstract

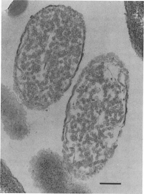
A polyhedral particle that resembles in composition and structure the procapsid of bacteriophage phi 6 was produced in Escherichia coli containing cDNA copies of the entire large genomic segment inserted into expression vector plasmids under the control of lac or tac promoters. The particles were composed of proteins P1, P2, P4, and P7 in the same stoichiometry as in the intact virion. In electron micrographs of negatively stained samples, the particles appeared as hexagons, stars, or rings of 10 knobs, which are characteristic of the five-, three-, and twofold axes of symmetry characteristic of phi 6 procapsids. Stable particles were also produced from cDNA deletions that produce only P1 and P4. Other cDNA deletions producing P1 and P7 and P1 alone resulted in unstable particles which could only be visualized in electron micrographs of thin sections of E. coli transformed by the recombinant plasmids. Our results indicate that the assembly of the phi procapsid is independent of other phage proteins and of normal phage RNA.

摘要

在含有插入到受乳糖或 tac 启动子控制的表达载体质粒中的完整大基因组片段 cDNA 拷贝的大肠杆菌中,产生了一种在组成和结构上类似于噬菌体 phi 6 原衣壳的多面体颗粒。这些颗粒由蛋白质 P1、P2、P4 和 P7 组成,其化学计量与完整病毒体中的相同。在负染色样品的电子显微照片中,颗粒呈现为六边形、星形或由 10 个瘤组成的环,这是 phi 6 原衣壳的五重、三重和二重对称轴的特征。仅产生 P1 和 P4 的 cDNA 缺失也产生了稳定颗粒。产生 P1 和 P7 以及仅产生 P1 的其他 cDNA 缺失导致不稳定颗粒,这些颗粒只能在由重组质粒转化的大肠杆菌薄切片的电子显微照片中观察到。我们的结果表明,phi 原衣壳的组装独立于其他噬菌体蛋白和正常噬菌体 RNA。

https://cdn.ncbi.nlm.nih.gov/pmc/blobs/49cb/250517/b41af6601a72/jvirol00080-0205-b.jpg
https://cdn.ncbi.nlm.nih.gov/pmc/blobs/49cb/250517/23eb55840bb2/jvirol00080-0203-a.jpg
https://cdn.ncbi.nlm.nih.gov/pmc/blobs/49cb/250517/8887c82b210b/jvirol00080-0204-a.jpg
https://cdn.ncbi.nlm.nih.gov/pmc/blobs/49cb/250517/50992e819c2f/jvirol00080-0204-b.jpg
https://cdn.ncbi.nlm.nih.gov/pmc/blobs/49cb/250517/56ae4c080e0e/jvirol00080-0205-a.jpg
https://cdn.ncbi.nlm.nih.gov/pmc/blobs/49cb/250517/b41af6601a72/jvirol00080-0205-b.jpg
https://cdn.ncbi.nlm.nih.gov/pmc/blobs/49cb/250517/23eb55840bb2/jvirol00080-0203-a.jpg
https://cdn.ncbi.nlm.nih.gov/pmc/blobs/49cb/250517/8887c82b210b/jvirol00080-0204-a.jpg
https://cdn.ncbi.nlm.nih.gov/pmc/blobs/49cb/250517/50992e819c2f/jvirol00080-0204-b.jpg
https://cdn.ncbi.nlm.nih.gov/pmc/blobs/49cb/250517/56ae4c080e0e/jvirol00080-0205-a.jpg
https://cdn.ncbi.nlm.nih.gov/pmc/blobs/49cb/250517/b41af6601a72/jvirol00080-0205-b.jpg

相似文献

1
Production of a polyhedral particle in Escherichia coli from a cDNA copy of the large genomic segment of bacteriophage phi 6.利用噬菌体phi 6大基因组片段的cDNA拷贝在大肠杆菌中生产多面体颗粒。
J Virol. 1988 Jan;62(1):181-7. doi: 10.1128/JVI.62.1.181-187.1988.
2
In vitro replication, packaging, and transcription of the segmented double-stranded RNA genome of bacteriophage phi 6: studies with procapsids assembled from plasmid-encoded proteins.噬菌体φ6的分段双链RNA基因组的体外复制、包装和转录:对由质粒编码蛋白组装的原衣壳的研究
J Bacteriol. 1990 Oct;172(10):5774-82. doi: 10.1128/jb.172.10.5774-5782.1990.
3
Sequential interactions of structural proteins in phage phi 29 procapsid assembly.噬菌体φ29前衣壳组装中结构蛋白的顺序相互作用。
J Virol. 1995 Aug;69(8):5024-32. doi: 10.1128/JVI.69.8.5024-5032.1995.
4
sRNA of phage phi 29 of Bacillus subtilis mediates DNA packaging of phi 29 proheads assembled in Escherichia coli.枯草芽孢杆菌噬菌体phi 29的小RNA介导在大肠杆菌中组装的phi 29原头部的DNA包装。
Virology. 1991 Nov;185(1):395-400. doi: 10.1016/0042-6822(91)90787-c.
5
Protein P4 of the bacteriophage phi 6 procapsid has a nucleoside triphosphate-binding site with associated nucleoside triphosphate phosphohydrolase activity.噬菌体phi 6原衣壳的蛋白质P4具有一个与核苷三磷酸磷酸水解酶活性相关的核苷三磷酸结合位点。
J Virol. 1992 Oct;66(10):6220-2. doi: 10.1128/JVI.66.10.6220-6222.1992.
6
In vitro packaging of the bacteriophage phi 6 ssRNA genomic precursors.噬菌体phi 6单链RNA基因组前体的体外包装
Virology. 1991 Apr;181(2):589-94. doi: 10.1016/0042-6822(91)90892-f.
7
Reconstitution of active replicase in procapsids of the segmented dsRNA bacteriophage phi 6.在分段双链RNA噬菌体phi 6的原衣壳中重建活性复制酶。
Virology. 1994 Oct;204(1):251-3. doi: 10.1006/viro.1994.1529.
8
In vitro assembly of infectious nucleocapsids of bacteriophage phi 6: formation of a recombinant double-stranded RNA virus.噬菌体phi 6感染性核衣壳的体外组装:重组双链RNA病毒的形成
Proc Natl Acad Sci U S A. 1990 Dec;87(23):9173-7. doi: 10.1073/pnas.87.23.9173.
9
cDNA cloning of portions of the bacteriophage phi 6 genome.噬菌体φ6基因组部分片段的cDNA克隆
J Bacteriol. 1985 Jun;162(3):992-9. doi: 10.1128/jb.162.3.992-999.1985.
10
Intermediates in the assembly pathway of the double-stranded RNA virus phi6.双链RNA病毒phi6装配途径中的中间体
EMBO J. 1997 Jul 16;16(14):4477-87. doi: 10.1093/emboj/16.14.4477.

引用本文的文献

1
Utilization of Bacteriophage phi6 for the Production of High-Quality Double-Stranded RNA Molecules.利用噬菌体phi6生产高质量双链RNA分子
Viruses. 2024 Jan 22;16(1):166. doi: 10.3390/v16010166.
2
The Establishment of the ϕ6 Genome Packaging Assay.建立 ϕ6 基因组包装测定法。
Viruses. 2023 Dec 22;16(1):22. doi: 10.3390/v16010022.
3
Structural Studies of Bacteriophage Φ6 and Its Transformations during Its Life Cycle.噬菌体 Φ6 的结构研究及其生命周期中的转变。

本文引用的文献

1
Bacteriophage phi6: a Lipid-Containing Virus of Pseudomonas phaseolicola.噬菌体phi6:一种含脂质的菜豆假单胞菌病毒。
J Virol. 1973 May;11(5):799-805. doi: 10.1128/JVI.11.5.799-805.1973.
2
Electron microscopy of cells infected with nonsense mutants of bacteriophage phi 6.用噬菌体phi 6的无义突变体感染的细胞的电子显微镜观察。
Virology. 1980 Nov;107(1):222-8. doi: 10.1016/0042-6822(80)90287-1.
3
The characterization of a 120 S particle formed during phi 6 infection.在φ6噬菌体感染期间形成的120 S颗粒的特征描述。
Viruses. 2023 Dec 11;15(12):2404. doi: 10.3390/v15122404.
4
Discovery and Classification of the φ6 Bacteriophage: An Historical Review.φ6 噬菌体的发现与分类:历史回顾。
Viruses. 2023 May 31;15(6):1308. doi: 10.3390/v15061308.
5
Dual Role of a Viral Polymerase in Viral Genome Replication and Particle Self-Assembly.病毒聚合酶在病毒基因组复制和粒子自组装中的双重作用。
mBio. 2018 Oct 2;9(5):e01242-18. doi: 10.1128/mBio.01242-18.
6
Electrostatic interactions drive the self-assembly and the transcription activity of the Pseudomonas phage ϕ6 procapsid.静电相互作用驱动假单胞菌噬菌体ϕ6 衣壳的自组装和转录活性。
J Virol. 2014 Jun;88(12):7112-6. doi: 10.1128/JVI.00467-14. Epub 2014 Apr 9.
7
Disassembly of the cystovirus ϕ6 envelope by montmorillonite clay.蒙脱石黏土对噬菌体ϕ6包膜的拆解作用
Microbiologyopen. 2014 Feb;3(1):42-51. doi: 10.1002/mbo3.148. Epub 2013 Dec 19.
8
Rescue of maturation off-pathway products in the assembly of Pseudomonas phage φ 6.拯救组装假单胞菌噬菌体 φ 6 时途径异常的成熟产物。
J Virol. 2013 Dec;87(24):13279-86. doi: 10.1128/JVI.02285-13. Epub 2013 Oct 2.
9
The template specificity of bacteriophage Phi6 RNA polymerase.噬菌体 Phi6 RNA 聚合酶的模板特异性。
J Virol. 2013 Sep;87(18):10190-4. doi: 10.1128/JVI.01467-13. Epub 2013 Jul 17.
10
Protein P7 of the cystovirus φ6 is located at the three-fold axis of the unexpanded procapsid.六邻体噬菌体 φ6 的蛋白 P7 位于未扩张原衣壳的三重轴上。
PLoS One. 2012;7(10):e47489. doi: 10.1371/journal.pone.0047489. Epub 2012 Oct 15.
Virology. 1980 Jun;103(2):386-91. doi: 10.1016/0042-6822(80)90197-x.
4
The molecular weight of bacteriophage phi 6 and its nucleocapsid.噬菌体phi 6及其核衣壳的分子量。
Virology. 1980 Jun;103(2):376-85. doi: 10.1016/0042-6822(80)90196-8.
5
Broad host range DNA cloning system for gram-negative bacteria: construction of a gene bank of Rhizobium meliloti.用于革兰氏阴性菌的广宿主范围DNA克隆系统:苜蓿根瘤菌基因文库的构建
Proc Natl Acad Sci U S A. 1980 Dec;77(12):7347-51. doi: 10.1073/pnas.77.12.7347.
6
Isolation of nonsense mutants of lipid-containing bacteriophage PRD1.含脂噬菌体PRD1无义突变体的分离
J Virol. 1982 Dec;44(3):1013-20. doi: 10.1128/JVI.44.3.1013-1020.1982.
7
Morphogenesis of phi X174: in vitro synthesis of infectious phage from purified viral components.噬菌体φX174的形态发生:从纯化的病毒成分体外合成感染性噬菌体。
Proc Natl Acad Sci U S A. 1981 Dec;78(12):7285-9. doi: 10.1073/pnas.78.12.7285.
8
Vectors bearing a hybrid trp-lac promoter useful for regulated expression of cloned genes in Escherichia coli.携带用于在大肠杆菌中调控克隆基因表达的杂合色氨酸-乳糖启动子的载体。
Gene. 1983 Nov;25(2-3):167-78. doi: 10.1016/0378-1119(83)90222-6.
9
A new pair of M13 vectors for selecting either DNA strand of double-digest restriction fragments.一对用于选择双酶切限制片段任一条DNA链的新型M13载体。
Gene. 1982 Oct;19(3):269-76. doi: 10.1016/0378-1119(82)90016-6.
10
Specific-purpose plasmid cloning vectors. II. Broad host range, high copy number, RSF1010-derived vectors, and a host-vector system for gene cloning in Pseudomonas.专用质粒克隆载体。II. 广泛宿主范围、高拷贝数、源自RSF1010的载体以及用于假单胞菌基因克隆的宿主-载体系统。
Gene. 1981 Dec;16(1-3):237-47. doi: 10.1016/0378-1119(81)90080-9.