Suppr超能文献

溃疡性结肠炎患者并发血管炎导致多发性脑梗死

Multiple Cerebral Infarction Associated with Cerebral Vasculitis in a Patient with Ulcerative Colitis.

机构信息

Department of Molecular Gastroenterology and Hepatology, Graduate School of Medical Science, Kyoto Prefectural University of Medicine, Japan.

Department of Gastroenterology and Hepatology, Ayabe City Hospital, Japan.

出版信息

Intern Med. 2021 Jan 1;60(1):59-66. doi: 10.2169/internalmedicine.4951-20. Epub 2020 Aug 22.

Abstract

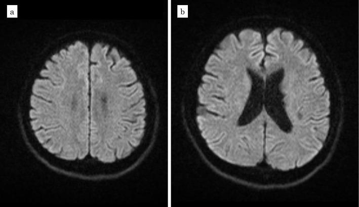
A 40-year-old man was admitted to the hospital due to both a worsening of symptoms associated with ulcerative colitis (UC), which had been diagnosed 3 years previously, and limb paralysis. Colonoscopy revealed severe pancolitis-type UC. He was diagnosed with cerebral vasculitis with multiple white matter infarctions associated with the disease activity of UC by contrast-enhanced head magnetic resonance imaging. Mesalazine at 4,000 mg/day and prednisolone at 60 mg/day were started, and the prednisolone dosage was thereafter gradually reduced and switched to golimumab. He achieved a long-term remission from UC, and thereafter his neurological abnormalities improved significantly. He had no recurrence of cerebral infarction.

摘要

一位 40 岁男性因溃疡性结肠炎(UC)相关症状恶化和肢体瘫痪而入院,该患者 3 年前被诊断为 UC。结肠镜检查显示严重的全结肠炎型 UC。对比增强头部磁共振成像显示,患者患有脑血管炎,伴有多发性脑白质梗死,与 UC 的疾病活动有关。给予患者美沙拉嗪 4000mg/天和泼尼松龙 60mg/天治疗,此后逐渐减少泼尼松龙剂量并换用戈利木单抗。患者 UC 达到长期缓解,此后神经功能异常显著改善。他没有再次发生脑梗死。

https://cdn.ncbi.nlm.nih.gov/pmc/blobs/a5dd/7835462/b88cb4dbb9e7/1349-7235-60-0059-g001.jpg

文献AI研究员

20分钟写一篇综述,助力文献阅读效率提升50倍。

立即体验

用中文搜PubMed

大模型驱动的PubMed中文搜索引擎

马上搜索

文档翻译

学术文献翻译模型,支持多种主流文档格式。

立即体验