• 文献检索
  • 文档翻译
  • 深度研究
  • 学术资讯
  • Suppr Zotero 插件Zotero 插件
  • 邀请有礼
  • 套餐&价格
  • 历史记录
应用&插件
Suppr Zotero 插件Zotero 插件浏览器插件Mac 客户端Windows 客户端微信小程序
定价
高级版会员购买积分包购买API积分包
服务
文献检索文档翻译深度研究API 文档MCP 服务
关于我们
关于 Suppr公司介绍联系我们用户协议隐私条款
关注我们

Suppr 超能文献

核心技术专利:CN118964589B侵权必究
粤ICP备2023148730 号-1Suppr @ 2026

文献检索

告别复杂PubMed语法,用中文像聊天一样搜索,搜遍4000万医学文献。AI智能推荐,让科研检索更轻松。

立即免费搜索

文件翻译

保留排版,准确专业,支持PDF/Word/PPT等文件格式,支持 12+语言互译。

免费翻译文档

深度研究

AI帮你快速写综述,25分钟生成高质量综述,智能提取关键信息,辅助科研写作。

立即免费体验

起源于颈段食管入口黏膜斑的腺癌:小病变的恶性潜能

Adenocarcinoma Arising From a Cervical Esophageal Inlet Patch: The Malignant Potential of a Small Lesion.

作者信息

Dziadkowiec Karolina N, Sánchez-Luna Sergio A, Stawinski Peter, Proenza Jose

机构信息

Internal Medicine, University of Miami, John F. Kennedy Regional Campus, Atlantis, USA.

Center for Advanced Therapeutic Endoscopy/Division of Gastroenterology, Hepatology and Nutrition, Allegheny Health Network/Allegheny Center for Digestive Health, Pittsburgh, USA.

出版信息

Cureus. 2020 Jul 19;12(7):e9284. doi: 10.7759/cureus.9284.

DOI:10.7759/cureus.9284
PMID:32832282
原文链接:https://pmc.ncbi.nlm.nih.gov/articles/PMC7437138/
Abstract

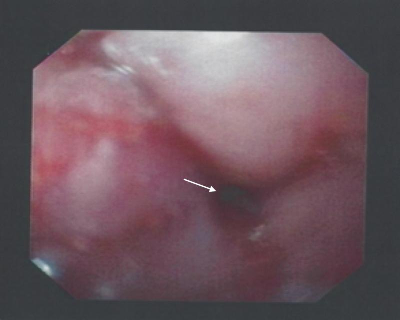
Inlet patches (IP) are heterotopic lesions consisting of gastric mucosa. Commonly located in the cervical esophagus, it is believed that they are remnants of fetal columnar epithelium arising from incomplete replacement during embryogenesis. A rare complication of IP is the development of proximal esophageal adenocarcinoma. We report a case of a 59-year-old male with intractable cough and dysphagia that was found to have a malignant transformation of an IP.

摘要

入口斑(IP)是由胃黏膜构成的异位病变。通常位于颈段食管,据信它们是胚胎发育过程中由于不完全替代而产生的胎儿柱状上皮的残余物。IP的一种罕见并发症是近端食管腺癌的发生。我们报告一例59岁男性,有顽固性咳嗽和吞咽困难,经检查发现其入口斑发生了恶性转化。

https://cdn.ncbi.nlm.nih.gov/pmc/blobs/0a5a/7437138/ad18d7c64b1b/cureus-0012-00000009284-i04.jpg
https://cdn.ncbi.nlm.nih.gov/pmc/blobs/0a5a/7437138/0eb214af9db3/cureus-0012-00000009284-i01.jpg
https://cdn.ncbi.nlm.nih.gov/pmc/blobs/0a5a/7437138/5768c5828ccc/cureus-0012-00000009284-i02.jpg
https://cdn.ncbi.nlm.nih.gov/pmc/blobs/0a5a/7437138/b17547e325e4/cureus-0012-00000009284-i03.jpg
https://cdn.ncbi.nlm.nih.gov/pmc/blobs/0a5a/7437138/ad18d7c64b1b/cureus-0012-00000009284-i04.jpg
https://cdn.ncbi.nlm.nih.gov/pmc/blobs/0a5a/7437138/0eb214af9db3/cureus-0012-00000009284-i01.jpg
https://cdn.ncbi.nlm.nih.gov/pmc/blobs/0a5a/7437138/5768c5828ccc/cureus-0012-00000009284-i02.jpg
https://cdn.ncbi.nlm.nih.gov/pmc/blobs/0a5a/7437138/b17547e325e4/cureus-0012-00000009284-i03.jpg
https://cdn.ncbi.nlm.nih.gov/pmc/blobs/0a5a/7437138/ad18d7c64b1b/cureus-0012-00000009284-i04.jpg

相似文献

1
Adenocarcinoma Arising From a Cervical Esophageal Inlet Patch: The Malignant Potential of a Small Lesion.起源于颈段食管入口黏膜斑的腺癌:小病变的恶性潜能
Cureus. 2020 Jul 19;12(7):e9284. doi: 10.7759/cureus.9284.
2
Cervical Esophageal Adenocarcinoma Arising From Gastric Inlet Patch: A Benign Lesion With Malignant Potential.起源于胃入口黏膜异位的颈段食管腺癌:一种具有恶性潜能的良性病变。
ACG Case Rep J. 2023 Jul 26;10(7):e01096. doi: 10.14309/crj.0000000000001096. eCollection 2023 Jul.
3
Esophageal adenocarcinoma arising in cervical inlet patch with synchronous Barrett's esophagus-related dysplasia.起源于颈段入口黏膜斑并伴有同步性巴雷特食管相关发育异常的食管腺癌。
Pathol Int. 2014 Aug;64(8):397-401. doi: 10.1111/pin.12181.
4
A 14-Year Study of 398 Esophageal Adenocarcinomas Diagnosed Among 156,256 EGDs Performed at Two Large Hospitals: An Inlet Patch Is Proposed as a Significant Risk Factor for Proximal Esophageal Adenocarcinoma.在两家大医院进行的 156256 次内镜检查中诊断出 398 例食管腺癌:14 年研究结果表明,入口补丁被认为是近端食管腺癌的一个重要危险因素。
Dig Dis Sci. 2018 Feb;63(2):452-465. doi: 10.1007/s10620-017-4878-2. Epub 2017 Dec 16.
5
Esophageal Stricture: An Uncommon Complication of Cervical Inlet Patch.食管狭窄:宫颈入口补丁的罕见并发症。
J Investig Med High Impact Case Rep. 2023 Jan-Dec;11:23247096231201024. doi: 10.1177/23247096231201024.
6
Heterotopic gastric mucosa (inlet patch) in a patient with laryngopharyngeal reflux (LPR) and laryngeal carcinoma: a case report and review of literature.喉咽反流(LPR)和喉癌患者的异位胃黏膜(入口斑):一例病例报告及文献复习
Dis Esophagus. 2009;22(4):E1-5. doi: 10.1111/j.1442-2050.2008.00915.x.
7
Successful endoscopic resection of adenocarcinoma arising in an esophageal inlet patch.成功内镜切除食管入口斑处发生的腺癌。
Dis Esophagus. 2016 Oct;29(7):880-882. doi: 10.1111/dote.12249. Epub 2014 Jun 24.
8
Symptoms of Chronic Dysphagia Secondary to Multiple Cervical Inlet Patches and Esophageal Stricture.继发于多个颈段入口斑块和食管狭窄的慢性吞咽困难症状。
Cureus. 2023 Jan 6;15(1):e33459. doi: 10.7759/cureus.33459. eCollection 2023 Jan.
9
Adenocarcinoma arising from heterotopic gastric mucosa in the cervical esophagus and upper thoracic esophagus: two case reports and literature review.起源于颈段食管和胸上段食管异位胃黏膜的腺癌:两例报告及文献复习
Expert Rev Gastroenterol Hepatol. 2016;10(3):405-14. doi: 10.1586/17474124.2016.1125780. Epub 2015 Dec 16.
10
Is cervical inlet patch important clinical problem?宫颈内口修补术是重要的临床问题吗?
Int J Biomed Sci. 2014 Jun;10(2):129-35.

引用本文的文献

1
Multidisciplinary treatment of advanced cervical esophageal adenocarcinoma derived from a gastric inlet patch: A case report.源于胃入口黏膜片的晚期颈段食管腺癌的多学科治疗:病例报告
Oncol Lett. 2024 Jan 25;27(3):120. doi: 10.3892/ol.2024.14253. eCollection 2024 Mar.
2
Cervical Esophageal Adenocarcinoma Arising From Gastric Inlet Patch: A Benign Lesion With Malignant Potential.起源于胃入口黏膜异位的颈段食管腺癌:一种具有恶性潜能的良性病变。
ACG Case Rep J. 2023 Jul 26;10(7):e01096. doi: 10.14309/crj.0000000000001096. eCollection 2023 Jul.

本文引用的文献

1
Correction: Adenocarcinoma Arising From a Cervical Esophageal Inlet Patch: The Malignant Potential of a Small Lesion.更正:起源于宫颈食管入口斑的腺癌:小病变的恶性潜能
Cureus. 2022 Sep 13;14(9):c74. doi: 10.7759/cureus.c74. eCollection 2022 Sep.
2
Cervical inlet patch: new insights into diagnosis and endoscopic therapy.宫颈入口斑块:诊断与内镜治疗的新见解
Frontline Gastroenterol. 2018 Jul;9(3):214-220. doi: 10.1136/flgastro-2017-100855. Epub 2017 Nov 9.
3
Heterotopic gastric mucosa of the proximal oesophagus (inlet patch): endoscopic prevalence, histological and clinical characteristics in paediatric patients.
小儿近端食管异位胃黏膜(入口斑):内镜下患病率、组织学及临床特征
Eur J Gastroenterol Hepatol. 2014 Oct;26(10):1139-45. doi: 10.1097/MEG.0000000000000177.
4
Is cervical inlet patch important clinical problem?宫颈内口修补术是重要的临床问题吗?
Int J Biomed Sci. 2014 Jun;10(2):129-35.
5
Symptomatic gastric inlet patches in children treated with argon plasma coagulation: a case series.氩等离子体凝固治疗儿童有症状的胃入口黏膜斑:病例系列
J Interv Gastroenterol. 2012 Apr;2(2):91-93. doi: 10.4161/jig.22207. Epub 2012 Apr 1.
6
Clinical significance of heterotopic gastric mucosal patch of the proximal esophagus.食管近端异位胃黏膜斑的临床意义。
World J Gastroenterol. 2013 Jan 21;19(3):331-8. doi: 10.3748/wjg.v19.i3.331.
7
A clinicopathologic study of esophageal 860 benign and malignant lesions in 910 cases of consecutive esophageal biopsies.对910例连续食管活检病例中的860例食管良恶性病变进行的临床病理研究。
Int J Clin Exp Pathol. 2013;6(2):191-8. Epub 2013 Jan 15.
8
Esophageal inlet patch.食管入口斑
Radiol Res Pract. 2011;2011:460890. doi: 10.1155/2011/460890. Epub 2011 Mar 30.
9
Erupted cysts in the cervical esophagus result in gastric inlet patches.宫颈段食管的破裂囊肿会导致胃入口黏膜异位。
Gastrointest Endosc. 2010 Sep;72(3):603-5. doi: 10.1016/j.gie.2010.05.008.
10
Inlet patch of gastric mucosa in upper esophagus causing chronic cough and vocal cord dysfunction.位于食管上段的胃黏膜内疝导致慢性咳嗽和声带功能障碍。
Ann Allergy Asthma Immunol. 2006 Jan;96(1):112-5. doi: 10.1016/S1081-1206(10)61049-6.