Suppr超能文献

COVID-19阳性死者进行系统尸检的证据:首例德国调查的COVID-19死亡病例报告。

Evidence for systematic autopsies in COVID-19 positive deceased: Case report of the first German investigated COVID-19 death.

作者信息

Fitzek A, Sperhake J, Edler C, Schröder A S, Heinemann A, Heinrich F, Ron A, Mushumba H, Lütgehetmann M, Püschel K

机构信息

Institute of Legal Medicine, University Medical Center Hamburg-Eppendorf, Hamburg, Germany.

Institute for Medical Microbiology, Virology and Hygiene, University Medical Center Hamburg-Eppendorf, Hamburg, Germany.

出版信息

Rechtsmedizin (Berl). 2020;30(3):184-189. doi: 10.1007/s00194-020-00401-4. Epub 2020 May 25.

Abstract

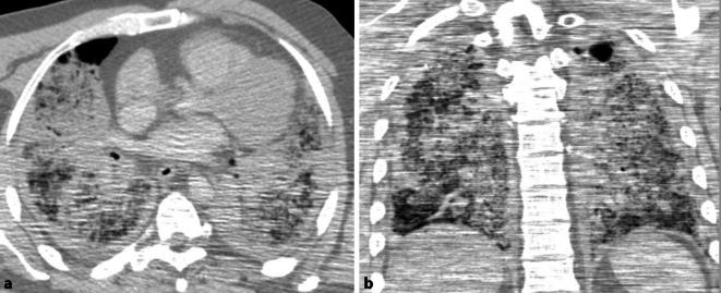
Forensic medicine and pathology involve specific health risks, whereby health workers are dealing with microorganisms, cells or parasites, which are referred to as biological agents. Biological agents are divided into four categories according to § 3 of the Biological Agents Ordinance. The newly identified coronavirus, severe acute respiratory syndrome, coronavirus 2 (SARS-CoV-2) that has spread rapidly around the world is placed into category 3 of the Biological Agents Ordinance, meaning pathogens that can cause serious illnesses in humans and may pose a risk to workers. The Robert Koch Institute, the German government's central scientific institution in the field of biomedicine issued the announcement, that aerosol-producing measures (including autopsies) of SARS-CoV‑2 infected bodies should be avoided, despite the fact that autopsies are an important source of understanding the pathomorphological course of new diseases. The first German case of death due to a proven SARS-CoV‑2 infection is presented with global multifocal reticular consolidation in the post-mortem computed tomography (CT) scan, a macroscopic and microscopic viral pneumonia and viral RNA of SARS-CoV‑2 in pharyngeal mucosa and lung tissue.

摘要

法医学和病理学涉及特定的健康风险,卫生工作者会接触微生物、细胞或寄生虫,这些被称为生物制剂。根据《生物制剂条例》第3条,生物制剂分为四类。新发现的在全球迅速传播的冠状病毒,即严重急性呼吸综合征冠状病毒2(SARS-CoV-2),被列入《生物制剂条例》第3类,意味着这些病原体可导致人类严重疾病,并可能对工作人员构成风险。德国政府生物医学领域的中央科学机构罗伯特·科赫研究所发布公告称,尽管尸检是了解新疾病病理形态学过程的重要来源,但应避免对感染SARS-CoV-2的尸体采取产生气溶胶的措施(包括尸检)。德国首例经证实因SARS-CoV-2感染死亡的病例,尸检计算机断层扫描(CT)显示为全球多灶性网状实变,有宏观和微观的病毒性肺炎,以及咽黏膜和肺组织中的SARS-CoV-2病毒RNA。

https://cdn.ncbi.nlm.nih.gov/pmc/blobs/25f8/7247437/2f5ee08d4abd/194_2020_401_Fig1_HTML.jpg

文献AI研究员

20分钟写一篇综述,助力文献阅读效率提升50倍。

立即体验

用中文搜PubMed

大模型驱动的PubMed中文搜索引擎

马上搜索

文档翻译

学术文献翻译模型,支持多种主流文档格式。

立即体验