Suppr超能文献

增强微管稳定性可挽救淀粉样变性阿尔茨海默病模型的认知缺陷并改善病理表型。

Enhancing microtubule stabilization rescues cognitive deficits and ameliorates pathological phenotype in an amyloidogenic Alzheimer's disease model.

机构信息

Dpto. Biología Celular, Genética y Fisiología, Instituto de Investigación Biomédica de Málaga-IBIMA, Facultad de Ciencias, Universidad de Málaga, Campus de Teatinos, 29071, Málaga, Spain.

Centro de Investigación Biomédica en Red sobre Enfermedades Neurodegenerativas (CIBERNED), Madrid, Spain.

出版信息

Sci Rep. 2020 Sep 8;10(1):14776. doi: 10.1038/s41598-020-71767-4.

Abstract

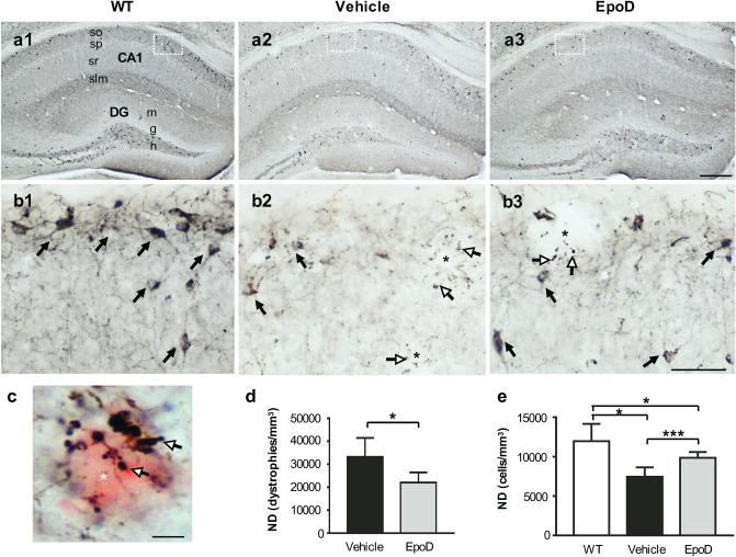
In Alzheimer's disease (AD), and other tauopathies, microtubule destabilization compromises axonal and synaptic integrity contributing to neurodegeneration. These diseases are characterized by the intracellular accumulation of hyperphosphorylated tau leading to neurofibrillary pathology. AD brains also accumulate amyloid-beta (Aβ) deposits. However, the effect of microtubule stabilizing agents on Aβ pathology has not been assessed so far. Here we have evaluated the impact of the brain-penetrant microtubule-stabilizing agent Epothilone D (EpoD) in an amyloidogenic model of AD. Three-month-old APP/PS1 mice, before the pathology onset, were weekly injected with EpoD for 3 months. Treated mice showed significant decrease in the phospho-tau levels and, more interesting, in the intracellular and extracellular hippocampal Aβ accumulation, including the soluble oligomeric forms. Moreover, a significant cognitive improvement and amelioration of the synaptic and neuritic pathology was found. Remarkably, EpoD exerted a neuroprotective effect on SOM-interneurons, a highly AD-vulnerable GABAergic subpopulation. Therefore, our results suggested that EpoD improved microtubule dynamics and axonal transport in an AD-like context, reducing tau and Aβ levels and promoting neuronal and cognitive protection. These results underline the existence of a crosstalk between cytoskeleton pathology and the two major AD protein lesions. Therefore, microtubule stabilizers could be considered therapeutic agents to slow the progression of both tau and Aβ pathology.

摘要

在阿尔茨海默病(AD)和其他 tau 病中,微管的不稳定性会损害轴突和突触的完整性,导致神经退行性变。这些疾病的特征是细胞内过度磷酸化 tau 的积累,导致神经纤维病理。AD 大脑还会积累淀粉样蛋白-β(Aβ)沉积。然而,迄今为止尚未评估微管稳定剂对 Aβ 病理学的影响。在这里,我们评估了穿透性微管稳定剂 Epothilone D(EpoD)在 AD 的淀粉样蛋白模型中的作用。在病理发生之前,对 3 个月大的 APP/PS1 小鼠进行每周一次的 EpoD 注射,持续 3 个月。经过治疗的小鼠显示出磷酸化 tau 水平的显著降低,更有趣的是,在海马区的细胞内和细胞外 Aβ积累,包括可溶性寡聚形式,也显著减少。此外,还发现认知功能显著改善,突触和神经突病理得到改善。值得注意的是,EpoD 对 SOM 中间神经元(AD 易损的 GABA 能亚群)发挥了神经保护作用。因此,我们的结果表明,EpoD 在 AD 样环境中改善了微管动力学和轴突运输,降低了 tau 和 Aβ 水平,并促进了神经元和认知保护。这些结果强调了细胞骨架病理学与 AD 的两种主要蛋白病变之间存在相互作用。因此,微管稳定剂可以被认为是减缓 tau 和 Aβ 病理进展的治疗剂。

https://cdn.ncbi.nlm.nih.gov/pmc/blobs/ad97/7479116/e76d66033d05/41598_2020_71767_Fig1_HTML.jpg

文献AI研究员

20分钟写一篇综述,助力文献阅读效率提升50倍。

立即体验

用中文搜PubMed

大模型驱动的PubMed中文搜索引擎

马上搜索

文档翻译

学术文献翻译模型,支持多种主流文档格式。

立即体验