• 文献检索
  • 文档翻译
  • 深度研究
  • 学术资讯
  • Suppr Zotero 插件Zotero 插件
  • 邀请有礼
  • 套餐&价格
  • 历史记录
应用&插件
Suppr Zotero 插件Zotero 插件浏览器插件Mac 客户端Windows 客户端微信小程序
定价
高级版会员购买积分包购买API积分包
服务
文献检索文档翻译深度研究API 文档MCP 服务
关于我们
关于 Suppr公司介绍联系我们用户协议隐私条款
关注我们

Suppr 超能文献

核心技术专利:CN118964589B侵权必究
粤ICP备2023148730 号-1Suppr @ 2026

文献检索

告别复杂PubMed语法,用中文像聊天一样搜索,搜遍4000万医学文献。AI智能推荐,让科研检索更轻松。

立即免费搜索

文件翻译

保留排版,准确专业,支持PDF/Word/PPT等文件格式,支持 12+语言互译。

免费翻译文档

深度研究

AI帮你快速写综述,25分钟生成高质量综述,智能提取关键信息,辅助科研写作。

立即免费体验

同步症状性急性B型主动脉夹层和大型肾下腹主动脉瘤的同期血管内治疗。技术要点及病例报告。

Simultaneous endovascular treatment of synchronous symptomatic acute type B aortic dissection and large infrarenal aortic aneurysm. Technical tips and case report.

作者信息

Dinoto Ettore, Pecoraro Felice, Farina Arduino, Viscardi Alessia, Bajardi Guido

机构信息

Vascular Surgery Unit, AOUP Policlinico 'P. Giaccone', Palermo, Italy.

Vascular Surgery Unit, AOUP Policlinico 'P. Giaccone', Palermo, Italy; Department of Surgical, Oncological and Oral Sciences, University of Palermo, Italy.

出版信息

Int J Surg Case Rep. 2020;77S(Suppl):S157-S161. doi: 10.1016/j.ijscr.2020.07.060. Epub 2020 Aug 11.

DOI:10.1016/j.ijscr.2020.07.060
PMID:32917552
原文链接:https://pmc.ncbi.nlm.nih.gov/articles/PMC7876933/
Abstract

INTRODUCTION

Data from the literature suggest that in patients with acute type B aortic dissection (ATBAD), associated with AAA, rupture risk is higher at the confluence tract than isolated lessions. Herein, we report a case of ATBAD and AAA managed with simultaneous intervention.

CASE PRESENTATION

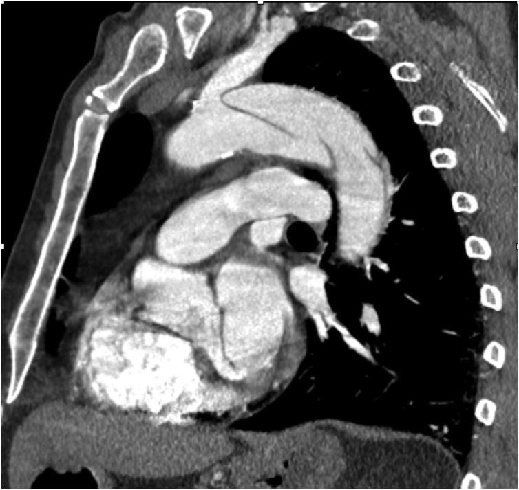
We report a complicated case of a symptomatic patient presenting with a type B aortic dissection and false lumen extension into superior mesenteric artery (SMA) with an infrarenal abdominal aortic aneurysm (AAA). Severe back pain and hypertension were the patient's initial complaints. This patient underwent endovascular repair with a thoracic and infrarenal aortic endograft.

DISCUSSION

AAA rupture has been detected at admission in three-fourths of patients with ATBAD that extended to or involved a coexisting unoperated atherosclerotic aneurysms. Prompt surgical intervention is essential to deal with this dreadful aortic emergency.

CONCLUSION

In our experience a totally endovascular solution to treat a complicated ATBAD plus AAA was a rapid solution with low invasivity, no complication and complete healing of patients.

摘要

引言

文献数据表明,在伴有腹主动脉瘤(AAA)的急性B型主动脉夹层(ATBAD)患者中,汇合处的破裂风险高于孤立病变处。在此,我们报告一例同时进行干预治疗的ATBAD和AAA病例。

病例介绍

我们报告一例复杂病例,一名有症状的患者表现为B型主动脉夹层,假腔延伸至肠系膜上动脉(SMA),同时伴有肾下腹主动脉瘤(AAA)。患者最初的症状是严重背痛和高血压。该患者接受了胸主动脉和肾下腹主动脉腔内修复术。

讨论

在四分之三的ATBAD患者中,若夹层延伸至或累及并存的未手术治疗的动脉粥样硬化性动脉瘤,入院时已检测到AAA破裂。迅速的手术干预对于处理这种可怕的主动脉急症至关重要。

结论

根据我们的经验,采用完全腔内治疗方案治疗复杂的ATBAD合并AAA是一种快速解决办法,具有低侵袭性、无并发症且患者完全康复的优点。

https://cdn.ncbi.nlm.nih.gov/pmc/blobs/454d/7876933/6b884f999357/gr4.jpg
https://cdn.ncbi.nlm.nih.gov/pmc/blobs/454d/7876933/b46111856fa9/gr1.jpg
https://cdn.ncbi.nlm.nih.gov/pmc/blobs/454d/7876933/3212bb37fce4/gr2.jpg
https://cdn.ncbi.nlm.nih.gov/pmc/blobs/454d/7876933/10db3525bd22/gr3.jpg
https://cdn.ncbi.nlm.nih.gov/pmc/blobs/454d/7876933/6b884f999357/gr4.jpg
https://cdn.ncbi.nlm.nih.gov/pmc/blobs/454d/7876933/b46111856fa9/gr1.jpg
https://cdn.ncbi.nlm.nih.gov/pmc/blobs/454d/7876933/3212bb37fce4/gr2.jpg
https://cdn.ncbi.nlm.nih.gov/pmc/blobs/454d/7876933/10db3525bd22/gr3.jpg
https://cdn.ncbi.nlm.nih.gov/pmc/blobs/454d/7876933/6b884f999357/gr4.jpg

相似文献

1
Simultaneous endovascular treatment of synchronous symptomatic acute type B aortic dissection and large infrarenal aortic aneurysm. Technical tips and case report.同步症状性急性B型主动脉夹层和大型肾下腹主动脉瘤的同期血管内治疗。技术要点及病例报告。
Int J Surg Case Rep. 2020;77S(Suppl):S157-S161. doi: 10.1016/j.ijscr.2020.07.060. Epub 2020 Aug 11.
2
[Chronic rupture of abdominal aortic aneurysms].[腹主动脉瘤慢性破裂]
Srp Arh Celok Lek. 1998 May-Jun;126(5-6):177-82.
3
Infrarenal aortic repair with or without false lumen intentional placement of endografts for hybrid management of complex aortic dissection.腹主动脉瘤修复术伴或不伴假腔内置入覆膜支架的杂交手术治疗复杂主动脉夹层。
J Vasc Surg. 2018 Jul;68(1):46-54. doi: 10.1016/j.jvs.2017.10.078. Epub 2018 Feb 3.
4
Emergency thoracic aortic stent grafting for acute complicated type B aortic dissection after a previous abdominal endovascular aneurysm repair.先前接受腹主动脉瘤腔内修复术后,针对急性复杂性B型主动脉夹层行急诊胸主动脉支架植入术。
Surg Case Rep. 2015 Dec;1(1):99. doi: 10.1186/s40792-015-0096-3. Epub 2015 Oct 7.
5
Outcomes of endovascular aneurysm repair performed in abdominal aortic aneurysms with large infrarenal necks.在具有较大肾下颈部的腹主动脉瘤中进行血管内动脉瘤修复的结果。
J Vasc Surg. 2017 Oct;66(4):1065-1072. doi: 10.1016/j.jvs.2017.01.066. Epub 2017 May 3.
6
Thoracic endovascular aortic repair for complicated chronic type B aortic dissection in a patient on hemodialysis with recurrent ischemic colitis.在一名接受血液透析且患有复发性缺血性结肠炎的患者中,采用胸主动脉腔内修复术治疗复杂慢性B型主动脉夹层。
Surg Case Rep. 2016 Dec;2(1):38. doi: 10.1186/s40792-016-0165-2. Epub 2016 Apr 18.
7
Simultaneous Surgical Treatment of Type B Dissection Complicated With Visceral Malperfusion and Abdominal Aortic Aneurysm: Role of Aortic Fenestration.B型夹层合并内脏器官灌注不良及腹主动脉瘤的同期外科治疗:主动脉开窗术的作用
Aorta (Stamford). 2013 Jul 1;1(2):126-30. doi: 10.12945/j.aorta.2013.12.008. eCollection 2013 Jul.
8
Thoracovisceral segment aneurysm repair after previous infrarenal abdominal aortic aneurysm surgery.既往肾下腹主动脉瘤手术后的胸内脏器段动脉瘤修复术。
J Vasc Surg. 2004 Jun;39(6):1163-70. doi: 10.1016/j.jvs.2003.12.019.
9
Complications of endovascular aneurysm repair of the thoracic and abdominal aorta: evaluation and management.胸主动脉和腹主动脉腔内动脉瘤修复术的并发症:评估与处理
Cardiovasc Diagn Ther. 2018 Apr;8(Suppl 1):S138-S156. doi: 10.21037/cdt.2017.09.17.
10
Complex thoracoabdominal aortic aneurysms: endovascular exclusion with visceral revascularization.复杂胸腹主动脉瘤:内脏血管重建的血管腔内隔绝术
J Vasc Surg. 2006 Jun;43(6):1081-9; discussion 1089. doi: 10.1016/j.jvs.2005.12.071.

本文引用的文献

1
Thoracic endovascular aortic repair for acute type B aortic dissection complicated by total occlusion of the abdominal aorta.胸主动脉腔内修复术治疗急性B型主动脉夹层合并腹主动脉完全闭塞
Interact Cardiovasc Thorac Surg. 2020 Jun 1;30(6):940-942. doi: 10.1093/icvts/ivaa020.
2
Improved technique for sheath supported contralateral limb gate cannulation in endovascular abdominal aortic aneurysm repair.血管腔内腹主动脉瘤修复术中鞘管支撑对侧肢体门控插管的改良技术
Vasa. 2020 Jan;49(1):39-42. doi: 10.1024/0301-1526/a000820. Epub 2019 Sep 24.
3
Distal Extended Endovascular Aortic Repair PETTICOAT: A Modified Technique to Improve False Lumen Remodeling in Acute Type B Aortic Dissection.
远端扩展血管内主动脉修复术PETTICOAT:一种改善急性B型主动脉夹层假腔重塑的改良技术。
Ann Vasc Surg. 2019 Aug;59:300-305. doi: 10.1016/j.avsg.2019.02.053. Epub 2019 May 7.
4
A different angle in through-and-through body wires in difficult aortic arch stent-graft placement.在困难的主动脉弓支架移植物置入中贯穿身体导线的不同角度。
J Cardiovasc Surg (Torino). 2019 Feb;60(1):144-146. doi: 10.23736/S0021-9509.18.10301-6. Epub 2018 Mar 12.
5
Surgical Treatment of Synchronous Type B Acute Aortic Dissection and Abdominal Aortic Aneurysm.同步性B型急性主动脉夹层与腹主动脉瘤的外科治疗
Ann Vasc Surg. 2018 May;49:107-114. doi: 10.1016/j.avsg.2017.11.054. Epub 2018 Feb 23.
6
Identification of optimal device combinations for the chimney endovascular aneurysm repair technique within the PERICLES registry.在 PERICLES 注册研究中确定烟囱血管内动脉瘤修复技术的最佳器械组合。
J Vasc Surg. 2018 Jul;68(1):24-35. doi: 10.1016/j.jvs.2017.10.080. Epub 2018 Feb 1.
7
Incidence and prognostic factors related to major adverse cerebrovascular events in patients with complex aortic diseases treated by the chimney technique.烟囱技术治疗复杂主动脉疾病患者中主要不良脑血管事件的发生率及相关预后因素。
J Vasc Surg. 2018 May;67(5):1372-1379. doi: 10.1016/j.jvs.2017.08.079. Epub 2017 Nov 2.
8
Mortality rates and risk factors for emergent open repair of abdominal aortic aneurysms in the endovascular era.血管内治疗时代腹主动脉瘤急诊开放修复术的死亡率及危险因素
Updates Surg. 2018 Mar;70(1):129-136. doi: 10.1007/s13304-017-0488-y. Epub 2017 Sep 14.
9
The SCARE Statement: Consensus-based surgical case report guidelines.SCARE 声明:基于共识的外科手术病例报告指南。
Int J Surg. 2016 Oct;34:180-186. doi: 10.1016/j.ijsu.2016.08.014. Epub 2016 Sep 7.
10
Cinical outcomes of Endurant II stent-graft for infrarenal aortic aneurysm repair: comparison of on-label versus off-label use.Endurant II覆膜支架移植物用于肾下主动脉瘤修复的临床结果:标签内使用与标签外使用的比较
Diagn Interv Radiol. 2016 Sep-Oct;22(5):450-4. doi: 10.5152/dir.2016.15418.