Suppr超能文献

2型糖尿病相关胰腺β细胞中潜在治疗基因的预测与验证

prediction and validation of potential therapeutic genes in pancreatic β-cells associated with type 2 diabetes.

作者信息

Zhou Di Yi, Mou Xin, Liu Kaiyuan, Liu Wen Hong, Xu Ya Qing, Zhou Danyang

机构信息

Department of Endocrinology, Zhejiang Integrated Traditional and Western Medicine Hospital, Hangzhou, Zhejiang 310003, P.R. China.

College of The Second Clinical Medicine, Zhejiang Chinese Medical University, Hangzhou, Zhejiang 310000, P.R. China.

出版信息

Exp Ther Med. 2020 Nov;20(5):60. doi: 10.3892/etm.2020.9188. Epub 2020 Sep 4.

Abstract

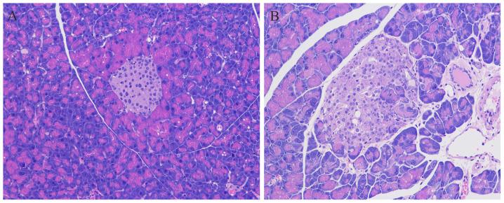
Diabetes mellitus is becoming a major health burden worldwide. Pancreatic β-cell death is a characteristic of type 2 diabetes (T2D), but the underlying mechanisms of pancreatic β-cell death remain unknown. Therefore, the aim of the present study was to identify potential targets in the pancreatic islet of T2D. The GSE20966 dataset was obtained from the Gene Expression Omnibus (GEO) database, and differentially expressed genes (DEGs) were identified by using the GEO2R tool. The Gene Ontology terms and Kyoto Encyclopedia of Genes and Genomes Pathway enrichment analysis of DEGs were further assessed using the Database for Annotation, Visualization and Integrated Discovery. Furthermore, protein-protein interaction (PPI) networks were constructed for the up- and downregulated genes using STRING databases and were then visualized with Cytoscape. The body weight, fasting blood glucose (FBG), pancreatic index and biochemistry parameters were measured in db/db mice. Moreover, the morphology of the pancreas was detected by hematoxylin and eosin staining, and hub genes were assessed using reverse transcription-quantitative PCR (RT-qPCR) and western blot analysis. In total, 570 DEGs were screened, including 376 upregulated and 194 downregulated genes, which were associated with 'complement activation, classical pathway', 'proteolysis', 'complement activation' and 'pancreatic secretion pathway'. It was found that the body weight, FBG, alanine aminotransferase, aspartate aminotransferase, total cholesterol, triglycerides, blood urea nitrogen, creatinine, fasting serum insulin, glucagon and low-density lipoprotein cholesterol levels were significantly higher in db/db mice, while high-density lipoprotein cholesterol levels and the pancreatic index were significantly decreased. Furthermore, albumin, interleukin-8, CD44, C-C motif chemokine ligand 2, hepatocyte growth factor, cystic fibrosis transmembrane conductance regulator, histone cluster 1 H2B family member n, mitogen-activated protein kinase 11 and neurotrophic receptor tyrosine kinase 2 were identified as hub genes in PPI network. RT-qPCR and western blotting results demonstrated the same expression trend in hub genes as found by the bioinformatics analysis. Therefore, the present study identified a series of hub genes involved in the progression of pancreatic β-cell, which may help to develop effective therapeutic strategy for T2D.

摘要

糖尿病正成为全球主要的健康负担。胰腺β细胞死亡是2型糖尿病(T2D)的一个特征,但胰腺β细胞死亡的潜在机制仍不清楚。因此,本研究的目的是确定T2D胰岛中的潜在靶点。从基因表达综合数据库(GEO)中获取GSE20966数据集,并使用GEO2R工具鉴定差异表达基因(DEG)。使用注释、可视化和综合发现数据库进一步评估DEG的基因本体术语和京都基因与基因组百科全书通路富集分析。此外,使用STRING数据库为上调和下调基因构建蛋白质-蛋白质相互作用(PPI)网络,然后用Cytoscape进行可视化。测量db/db小鼠的体重、空腹血糖(FBG)、胰腺指数和生化参数。此外,通过苏木精和伊红染色检测胰腺形态,并使用逆转录定量PCR(RT-qPCR)和蛋白质印迹分析评估枢纽基因。总共筛选出570个DEG,包括376个上调基因和194个下调基因,这些基因与“补体激活,经典途径”、“蛋白水解”、“补体激活”和“胰腺分泌途径”相关。发现db/db小鼠的体重、FBG、丙氨酸转氨酶、天冬氨酸转氨酶、总胆固醇、甘油三酯、血尿素氮、肌酐、空腹血清胰岛素、胰高血糖素和低密度脂蛋白胆固醇水平显著升高,而高密度脂蛋白胆固醇水平和胰腺指数显著降低。此外,白蛋白、白细胞介素-8、CD44、C-C基序趋化因子配体2、肝细胞生长因子、囊性纤维化跨膜传导调节因子、组蛋白簇1 H2B家族成员n、丝裂原活化蛋白激酶11和神经营养受体酪氨酸激酶2被鉴定为PPI网络中的枢纽基因。RT-qPCR和蛋白质印迹结果显示枢纽基因的表达趋势与生物信息学分析结果一致。因此,本研究鉴定了一系列参与胰腺β细胞进展的枢纽基因,这可能有助于开发T2D的有效治疗策略。

https://cdn.ncbi.nlm.nih.gov/pmc/blobs/e90c/7485321/34b6564c89df/etm-20-05-09188-g00.jpg

文献AI研究员

20分钟写一篇综述,助力文献阅读效率提升50倍。

立即体验

用中文搜PubMed

大模型驱动的PubMed中文搜索引擎

马上搜索

文档翻译

学术文献翻译模型,支持多种主流文档格式。

立即体验