Suppr超能文献

拓展我们对非典型抗精神病药物的认识:奥氮平所致急性尿潴留

Expanding our Understanding of Atypical Antipsychotics: Acute Urinary Retention Secondary to Olanzapine.

作者信息

Mirzakhani Hannah, Rahim Mariam, Mathew Jacob

机构信息

Department of Medicine, Parkview Medical Center, Pueblo, CO 81003, USA.

出版信息

Case Rep Psychiatry. 2020 Sep 9;2020:6157548. doi: 10.1155/2020/6157548. eCollection 2020.

Abstract

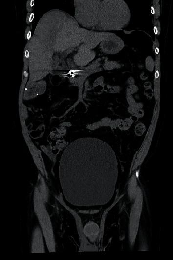
Antipsychotics are considered the most efficacious drugs in the treatment of schizophrenia and other psychotic disorders. While clinicians monitor for the onset of extrapyramidal symptoms (EPSs), many do not consider the antimuscarinic and histaminergic side effects that can occur with second generation antipsychotics. We present the case of a 62-year-old male who presented with acute urinary retention that was found to be due to the recent initiation of olanzapine. Gradual cessation of the medication and follow-up with urology revealed resolution of his symptoms. With the increasing demand for psychiatric care but limited psychiatric resources, more and more primary care physicians find themselves dealing with the complex challenges of mental illness and managing antipsychotic medications. As a result, coordinating care among multiple specialties and understanding the full profile of side effects that are associated with psychiatric medications can yield quicker diagnoses and improve patient care.

摘要

抗精神病药物被认为是治疗精神分裂症和其他精神障碍最有效的药物。虽然临床医生会监测锥体外系症状(EPS)的出现,但许多人并未考虑到第二代抗精神病药物可能出现的抗胆碱能和组胺能副作用。我们报告一例62岁男性病例,该患者出现急性尿潴留,发现是由于最近开始服用奥氮平所致。逐渐停用该药物并接受泌尿外科随访后,其症状得到缓解。随着对精神科护理需求的增加,但精神科资源有限,越来越多的初级保健医生发现自己在应对精神疾病的复杂挑战以及管理抗精神病药物。因此,协调多个专科之间的护理并了解与精神科药物相关的全部副作用情况,可以更快地做出诊断并改善患者护理。

https://cdn.ncbi.nlm.nih.gov/pmc/blobs/7333/7499334/a9b6b409ad31/CRIPS2020-6157548.001.jpg

文献检索

告别复杂PubMed语法,用中文像聊天一样搜索,搜遍4000万医学文献。AI智能推荐,让科研检索更轻松。

立即免费搜索

文件翻译

保留排版,准确专业,支持PDF/Word/PPT等文件格式,支持 12+语言互译。

免费翻译文档

深度研究

AI帮你快速写综述,25分钟生成高质量综述,智能提取关键信息,辅助科研写作。

立即免费体验