Suppr超能文献

以重复 RT-PCR 检测结果为阴性的患者为对象的 COVID-19 肺炎的典型 CT 特征。

Typical CT findings of COVID-19 pneumonia in patients presenting with repetitive negative RT-PCR.

机构信息

Radiology Unit, "Frangipane" Hospital, ASL Avellino, Via V. Emanuele, Ariano irpino, 83031 Avellino, Italy.

Radiology Unit, "Cotugno Hospital, Naples, Via Quagliariello 54, Naples, 80131, Italy.

出版信息

Radiography (Lond). 2021 May;27(2):743-747. doi: 10.1016/j.radi.2020.09.012. Epub 2020 Sep 19.

Abstract

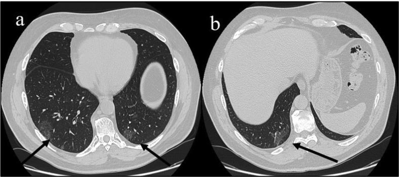
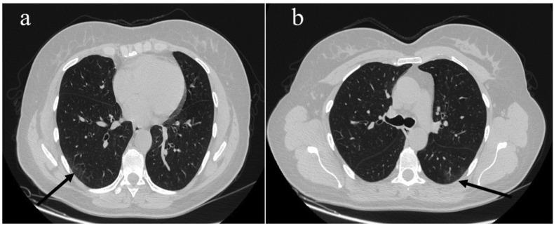
Multiple polymerase chain reaction (RT-PCR) is considered the gold standard diagnostic investigation for severe acute respiratory syndrome coronavirus 2 (SARS-CoV-2) that causes coronavirus disease 2019 (COVID-19). However, false negative multiple polymerase chain reaction (RT-PCR) results can be diagnostically challenging. We report three patients with history of fever and different clinical signs. During the height of the pandemic in Italy (March to May 2020), these patients underwent chest computed tomography (CT) scans that showed lung alterations typical of COVID-19 with multiple negative RT-PCR tests and positive serology for SARS-CoV-2. Two of the three patients showed residual pneumonia on CT after the onset of the first clinical signs. One patient presented with diarrhoea without respiratory symptoms. These cases suggest that in the COVID-19 pandemic period, to provide an earlier specific treatment in patients with positive serology, a chest CT scan can be useful in those presenting with a fever or a history of fever associated with persistent mild respiratory symptoms or with abdominal complaints despite repeated negative RT-PCR results.

摘要

多重聚合酶链反应(RT-PCR)被认为是诊断严重急性呼吸综合征冠状病毒 2(SARS-CoV-2)的金标准,该病毒可引起 2019 年冠状病毒病(COVID-19)。然而,多重聚合酶链反应(RT-PCR)的假阴性结果可能会给诊断带来挑战。我们报告了三例有发热史和不同临床症状的患者。在意大利大流行期间(2020 年 3 月至 5 月),这些患者进行了胸部计算机断层扫描(CT),结果显示肺部改变符合 COVID-19 的典型特征,多次 RT-PCR 检测结果为阴性,SARS-CoV-2 血清学检测结果为阳性。这三例患者中的两例在首次出现临床症状后出现肺炎残留。一例患者出现腹泻,无呼吸道症状。这些病例表明,在 COVID-19 大流行期间,为了在血清学阳性的患者中提供更早的特异性治疗,对于出现发热或发热史、持续存在轻度呼吸道症状或伴有腹部不适的患者,即使多次 RT-PCR 结果为阴性,胸部 CT 扫描也可能有用。

https://cdn.ncbi.nlm.nih.gov/pmc/blobs/bc57/7501847/bed4e73e0195/gr1_lrg.jpg

文献检索

告别复杂PubMed语法,用中文像聊天一样搜索,搜遍4000万医学文献。AI智能推荐,让科研检索更轻松。

立即免费搜索

文件翻译

保留排版,准确专业,支持PDF/Word/PPT等文件格式,支持 12+语言互译。

免费翻译文档

深度研究

AI帮你快速写综述,25分钟生成高质量综述,智能提取关键信息,辅助科研写作。

立即免费体验