Suppr超能文献

结直肠癌转移至乳腺:一例报告。

Colorectal cancer metastatic to the breast: A case report.

作者信息

Taccogna Silvia, Gozzi Elisa, Rossi Luigi, Caruso Davide, Conte Davide, Trenta Patrizia, Leoni Valentina, Tomao Silverio, Raimondi Lucrezia, Angelini Francesco

机构信息

Department of Pathology, Regina Apostolorum, Albano 00041, Rome, Italy.

UOC of Oncology, Sapienza University of Rome, Aprilia 04011, Rome, Italy.

出版信息

World J Gastrointest Oncol. 2020 Sep 15;12(9):1073-1079. doi: 10.4251/wjgo.v12.i9.1073.

Abstract

BACKGROUND

Breast metastases from colorectal cancer (CRC) are very uncommon. There is no unanimous consensus regarding the best treatment for this rare condition, and management is, especially in elderly patients, limited to diagnosis and palliative care. Capecitabine, an oral fluoropyrimidine derivative, might be helpful in controlling the disease and may be a treatment option for patients unable to receive more aggressive chemotherapy.

CASE SUMMARY

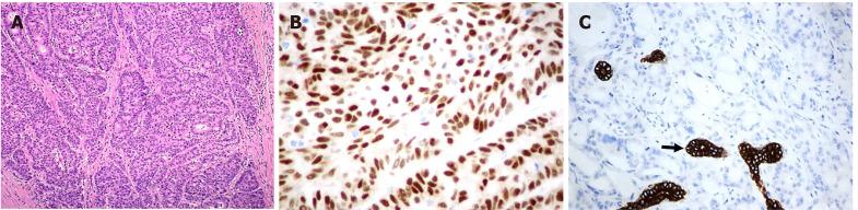
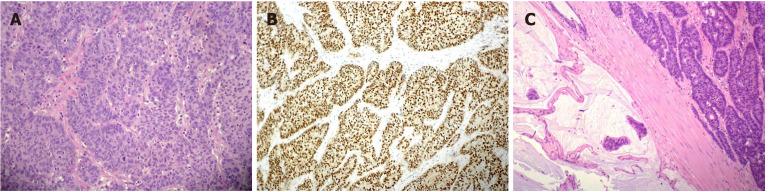
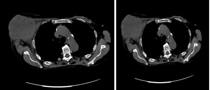
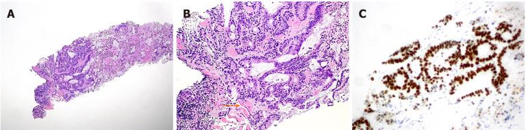
We report a case of synchronous massive breast metastasis from CRC in an 85 year old patient who came to the hospital presenting a huge mass originating from the axillary extension of the right breast. A whole body computed tomography also showed a mass in the right colon. The patient underwent a simple right mastectomy along with right hemicolectomy. The resected breast showed massive metastasis from CRC with intense and homogeneous nuclear CDX2 staining, while the colon specimen revealed poorly differentiated adenocarcinoma stage pT4a pN0 pM1 (breast) (Tumor Node Metastasis 2017). Three months later she developed a subcutaneous mass at the site of the previous mastectomy. An ultrasound guided biopsy was carried out again and revealed a metastasis from CRC. The patient then started treatment with capecitabine plus bevacizumab, obtaining stable disease (RECIST criteria) and a clinical benefit after 3 mo of therapy.

CONCLUSION

In our experience, capecitabine and bevacizumab may be a useful treatment option for breast metastases from primary CRC in elderly patients.

摘要

背景

结直肠癌(CRC)的乳腺转移非常罕见。对于这种罕见情况的最佳治疗方法尚无一致共识,尤其是在老年患者中,治疗仅限于诊断和姑息治疗。卡培他滨是一种口服氟嘧啶衍生物,可能有助于控制疾病,对于无法接受更积极化疗的患者可能是一种治疗选择。

病例摘要

我们报告一例85岁患者发生同步性CRC乳腺巨大转移的病例,该患者因右乳腋窝延伸处出现巨大肿块前来就诊。全身计算机断层扫描还显示右结肠有一个肿块。患者接受了单纯右乳房切除术及右半结肠切除术。切除的乳腺显示有CRC的大量转移,核CDX2染色强烈且均匀,而结肠标本显示为低分化腺癌,分期为pT4a pN0 pM1(乳腺)(2017年肿瘤淋巴结转移分期)。三个月后,她在先前乳房切除部位出现皮下肿块。再次进行超声引导下活检,结果显示为CRC转移。然后患者开始接受卡培他滨加贝伐单抗治疗,治疗3个月后病情稳定(根据实体瘤疗效评价标准)并获得临床获益。

结论

根据我们的经验,卡培他滨和贝伐单抗可能是老年患者原发性CRC乳腺转移的一种有效治疗选择。

https://cdn.ncbi.nlm.nih.gov/pmc/blobs/0031/7509995/720df30c7b24/WJGO-12-1073-g001.jpg

文献检索

告别复杂PubMed语法,用中文像聊天一样搜索,搜遍4000万医学文献。AI智能推荐,让科研检索更轻松。

立即免费搜索

文件翻译

保留排版,准确专业,支持PDF/Word/PPT等文件格式,支持 12+语言互译。

免费翻译文档

深度研究

AI帮你快速写综述,25分钟生成高质量综述,智能提取关键信息,辅助科研写作。

立即免费体验