Suppr超能文献

环状RNA circ_C16orf62通过miR-421/微管蛋白β-2A链(TUBB2A)轴抑制胃癌细胞生长。

Circular RNA circ_C16orf62 Suppresses Cell Growth in Gastric Cancer by miR-421/Tubulin beta-2A Chain (TUBB2A) Axis.

作者信息

Jin Yanfeng, Zhang Shanshan, Liu Li

机构信息

Department of Gastroenterology, Yantai Yuhuangding Hospital, Yantai, Shandong, China (mainland).

Department of Oncology, The Second Hospital of Weifang, Weifang, Shandong, China (mainland).

出版信息

Med Sci Monit. 2020 Oct 2;26:e924343. doi: 10.12659/MSM.924343.

Abstract

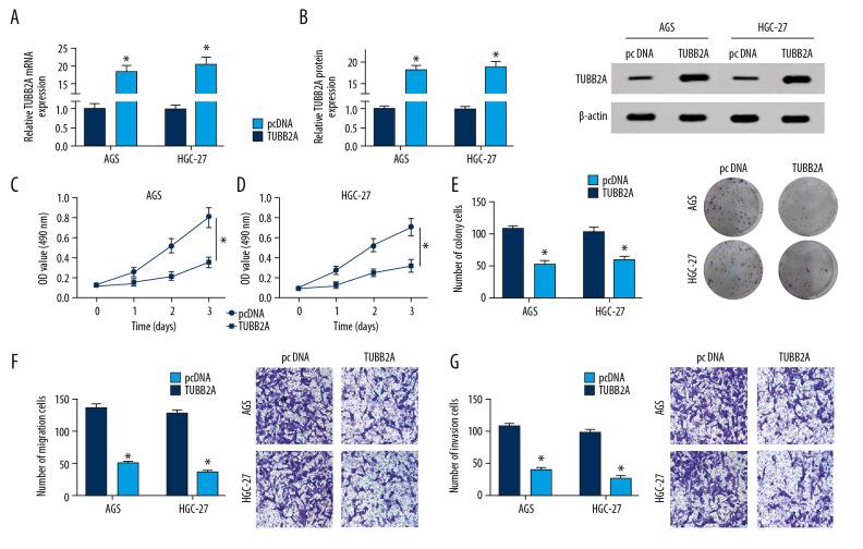
BACKGROUND Gastric cancer (GC) is the third leading cause of cancer-associated mortality in the world. Expression of circular RNA circ_C16orf62 is reported to be low in GC. The role and mechanism of circ_C16orf62 remain unclear. MATERIAL AND METHODS Expression levels of circ_C16orf62 and tubulin beta-2A chain (TUBB2A) in GC tissues and cells, and microRNA-421 (miR-421) level in GC cells were detected by real-time quantitative polymerase chain reaction (RT-qPCR). The predominant cytoplasmic localization of circ_C16orf62 was identified by subcellular fractionation. The protein level of TUBB2A was detected by western blot assay. Cell proliferative ability, migration, and invasion were measured by 3-(4, 5-dimethyl-2-thiazolyl)-2, 5-diphenyl-2-H-tetrazolium bromide (MTT), colony formation, and several transwell assaysy. The binding relationship between miR-421 and circ_C16orf62 or TUBB2A was predicted by starBase3.0 or Targetscan, and then verified by the dual-luciferase reporter assay. The biological role ofcirc_C16orf62 was examined by xenograft tumor model in vivo. RESULTS Circ_C16orf62 andTUBB2A were downregulated in GC tissues and cells. Circ_C16orf62 was predominantly located in the cytoplasm of GC cells, and repressed proliferation, migration, and invasion of GC cells. Mechanistically, circ_C16orf62 worked as the miR-421 sponge to upregulate TUBB2A in GC, thereby hindering GC growth. Circ_C16orf62 repressed GC tumor growth in vivo. CONCLUSIONS These findings demonstrate that circ_C16orf62 impeded proliferation, migration, and invasion in vitro and retarded tumor growth in vivo by the miR-421/TUBB2A axis in GC, providing a potential therapeutic strategy for patients with GC.

摘要

背景 胃癌(GC)是全球癌症相关死亡的第三大主要原因。据报道,环状RNA circ_C16orf62在胃癌中的表达较低。circ_C16orf62的作用和机制仍不清楚。材料与方法 通过实时定量聚合酶链反应(RT-qPCR)检测circ_C16orf62和微管蛋白β-2A链(TUBB2A)在胃癌组织和细胞中的表达水平,以及miR-421在胃癌细胞中的水平。通过亚细胞分级分离确定circ_C16orf62主要定位于细胞质。通过蛋白质免疫印迹法检测TUBB2A的蛋白水平。通过3-(4,5-二甲基-2-噻唑基)-2,5-二苯基-2-H-四氮唑溴盐(MTT)、集落形成和几种Transwell实验检测细胞增殖能力、迁移和侵袭能力。通过starBase3.0或Targetscan预测miR-421与circ_C16orf62或TUBB(2A)之间的结合关系,然后通过双荧光素酶报告基因实验进行验证。通过体内异种移植肿瘤模型研究circ_C16orf62的生物学作用。结果 circ_C16orf62和TUBB2A在胃癌组织和细胞中表达下调。circ_C16orf62主要位于胃癌细胞的细胞质中,并抑制胃癌细胞的增殖、迁移和侵袭。机制上,circ_C16orf62作为miR-421的海绵,上调胃癌中TUBB2A的表达,从而抑制胃癌生长。circ_C16orf62在体内抑制胃癌肿瘤生长。结论 这些发现表明,circ_C16orf62通过胃癌中的miR-421/TUBB2A轴在体外抑制增殖、迁移和侵袭,并在体内延缓肿瘤生长,为胃癌患者提供了一种潜在的治疗策略。

https://cdn.ncbi.nlm.nih.gov/pmc/blobs/4222/7537480/6f4935502b60/medscimonit-26-e924343-g001.jpg

文献检索

告别复杂PubMed语法,用中文像聊天一样搜索,搜遍4000万医学文献。AI智能推荐,让科研检索更轻松。

立即免费搜索

文件翻译

保留排版,准确专业,支持PDF/Word/PPT等文件格式,支持 12+语言互译。

免费翻译文档

深度研究

AI帮你快速写综述,25分钟生成高质量综述,智能提取关键信息,辅助科研写作。

立即免费体验