• 文献检索
  • 文档翻译
  • 深度研究
  • 学术资讯
  • Suppr Zotero 插件Zotero 插件
  • 邀请有礼
  • 套餐&价格
  • 历史记录
应用&插件
Suppr Zotero 插件Zotero 插件浏览器插件Mac 客户端Windows 客户端微信小程序
定价
高级版会员购买积分包购买API积分包
服务
文献检索文档翻译深度研究API 文档MCP 服务
关于我们
关于 Suppr公司介绍联系我们用户协议隐私条款
关注我们

Suppr 超能文献

核心技术专利:CN118964589B侵权必究
粤ICP备2023148730 号-1Suppr @ 2026

文献检索

告别复杂PubMed语法,用中文像聊天一样搜索,搜遍4000万医学文献。AI智能推荐,让科研检索更轻松。

立即免费搜索

文件翻译

保留排版,准确专业,支持PDF/Word/PPT等文件格式,支持 12+语言互译。

免费翻译文档

深度研究

AI帮你快速写综述,25分钟生成高质量综述,智能提取关键信息,辅助科研写作。

立即免费体验

COVID-19 与 34 周妊娠伴严重特征的子痫前期。

COVID-19 and preeclampsia with severe features at 34-weeks gestation.

机构信息

Department of Emergency Medicine, Maine Medical Center, 22 Bramhall Street, Portland, ME 04102, United States of America.

Southern Maine Healthcare, Department of Emergency Medicine, Tufts University School of Medicine, 1 Medical Center Drive, Biddeford, ME 04005, United States of America.

出版信息

Am J Emerg Med. 2021 Jan;39:252.e3-252.e5. doi: 10.1016/j.ajem.2020.06.052. Epub 2020 Jun 25.

DOI:10.1016/j.ajem.2020.06.052
PMID:33008706
原文链接:https://pmc.ncbi.nlm.nih.gov/articles/PMC7315969/
Abstract

The evolving coronavirus disease 2019 (COVID-19) pandemic, caused by severe acute respiratory syndrome coronavirus 2 (SARS-CoV-2), has led to a rapid expansion of knowledge on the disease's clinical manifestations, laboratory and radiographic abnormalities, and patient trajectories. One area of particular focus is the effect that this illness may have on pregnancy and maternal-fetal disease. As of April 24, 2020, we identified 55 English language reports in the scientific literature summarizing data for 339 women and 258 fetuses and neonates. The majority of these data have focused on maternal-fetal transmission and neonatal outcomes. One systematic review and meta-analysis including the spectrum of coronaviruses [Severe Acute Respiratory Syndrome (SARS), Middle East Respiratory Syndrome (MERS), and COVID-19] in pregnancy noted increased rates of adverse outcomes associated with this group of infections. Here, we report the case of a COVID-19 positive woman presenting to our emergency department (ED) at 34 weeks gestation with preeclampsia. This case highlights the unique diagnostic and therapeutic challenges associated with treating patients with these concomitant diseases.

摘要

不断演变的 2019 年冠状病毒病(COVID-19)大流行是由严重急性呼吸系统综合征冠状病毒 2(SARS-CoV-2)引起的,这导致人们对该病的临床表现、实验室和影像学异常以及患者病程迅速扩展了认识。其中一个特别关注的领域是这种疾病可能对妊娠和母婴疾病的影响。截至 2020 年 4 月 24 日,我们在科学文献中发现了 55 篇英文报告,这些报告汇总了 339 名妇女和 258 名胎儿和新生儿的数据。这些数据主要集中在母婴传播和新生儿结局上。一项包括 SARS、MERS 和 COVID-19 在内的冠状病毒妊娠谱的系统评价和荟萃分析指出,与这组感染相关的不良结局发生率增加。在这里,我们报告了一例 COVID-19 阳性妇女在 34 周妊娠时因子痫前期到我们的急诊就诊的病例。该病例突出了与治疗这些合并疾病相关的独特诊断和治疗挑战。

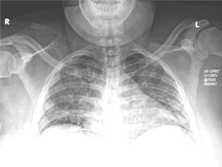
https://cdn.ncbi.nlm.nih.gov/pmc/blobs/0a23/7315969/079142df9444/gr2_lrg.jpg
https://cdn.ncbi.nlm.nih.gov/pmc/blobs/0a23/7315969/77befba17c19/gr1_lrg.jpg
https://cdn.ncbi.nlm.nih.gov/pmc/blobs/0a23/7315969/079142df9444/gr2_lrg.jpg
https://cdn.ncbi.nlm.nih.gov/pmc/blobs/0a23/7315969/77befba17c19/gr1_lrg.jpg
https://cdn.ncbi.nlm.nih.gov/pmc/blobs/0a23/7315969/079142df9444/gr2_lrg.jpg

相似文献

1
COVID-19 and preeclampsia with severe features at 34-weeks gestation.COVID-19 与 34 周妊娠伴严重特征的子痫前期。
Am J Emerg Med. 2021 Jan;39:252.e3-252.e5. doi: 10.1016/j.ajem.2020.06.052. Epub 2020 Jun 25.
2
Preeclampsia and the crucial postpartum period for Covid-19 infected mothers: A case report.子痫前期和新冠病毒感染产妇的关键产后时期:一例报告。
Pregnancy Hypertens. 2021 Mar;23:136-139. doi: 10.1016/j.preghy.2020.10.012. Epub 2020 Oct 31.
3
Pregnancy Outcomes Among Women With and Without Severe Acute Respiratory Syndrome Coronavirus 2 Infection.患有和未患有严重急性呼吸综合征冠状病毒 2 感染的女性的妊娠结局。
JAMA Netw Open. 2020 Nov 2;3(11):e2029256. doi: 10.1001/jamanetworkopen.2020.29256.
4
Severe acute respiratory syndrome coronavirus 2(SARS-CoV-2) infection during late pregnancy: a report of 18 patients from Wuhan, China.严重急性呼吸综合征冠状病毒 2(SARS-CoV-2)在妊娠晚期感染:来自中国武汉的 18 例患者报告。
BMC Pregnancy Childbirth. 2020 Jul 8;20(1):394. doi: 10.1186/s12884-020-03026-3.
5
Congenital SARS-CoV-2 Infection in a Neonate With Severe Acute Respiratory Syndrome.先天性 SARS-CoV-2 感染与新生儿严重急性呼吸综合征。
Pediatr Infect Dis J. 2020 Dec;39(12):e439-e443. doi: 10.1097/INF.0000000000002941.
6
A Proposed Plan for Prenatal Care to Minimize Risks of COVID-19 to Patients and Providers: Focus on Hypertensive Disorders of Pregnancy.《针对 COVID-19 患者和医护人员的产前护理计划提案:关注妊娠高血压疾病》
Am J Perinatol. 2020 Jun;37(8):837-844. doi: 10.1055/s-0040-1710538. Epub 2020 May 12.
7
Maternal and fetal outcomes of COVID-19, SARS, and MERS: a narrative review on the current knowledge.COVID-19、SARS 和 MERS 的母婴结局:对现有知识的叙述性综述。
Eur Rev Med Pharmacol Sci. 2020 Sep;24(18):9748-9752. doi: 10.26355/eurrev_202009_23068.
8
Perinatal Maternal-Fetal/Neonatal Transmission of COVID-19: A Guide to Safe Maternal and Neonatal Care in the Era of COVID-19 and Physical Distancing.新型冠状病毒肺炎围产期母婴/新生儿传播:新型冠状病毒肺炎及物理距离时代安全的孕产妇和新生儿护理指南
Neoreviews. 2020 Dec;21(12):e783-e794. doi: 10.1542/neo.21-12-e783.
9
Effects of Severe Acute Respiratory Syndrome Coronavirus 2 Infection on Pregnant Women and Their Infants.严重急性呼吸综合征冠状病毒 2 感染对孕妇及其婴儿的影响。
Arch Pathol Lab Med. 2020 Oct 1;144(10):1217-1222. doi: 10.5858/arpa.2020-0232-SA.
10
Coronavirus diseases and pregnancy: COVID-19,SARS, and MERS.冠状病毒疾病与妊娠:新型冠状病毒肺炎、严重急性呼吸综合征和中东呼吸综合征
Przegl Epidemiol. 2020;74(2):276-289. doi: 10.32394/pe.74.21.

引用本文的文献

1
Prevalence of Thrombocytopenia in Pregnant Women with COVID-19: A Systematic Review and Meta-Analysis.新冠病毒肺炎孕妇血小板减少症的患病率:一项系统评价和荟萃分析
J Clin Med. 2024 Aug 23;13(17):4980. doi: 10.3390/jcm13174980.
2
A Review of Cardiovascular Complications among Pregnant Patients with COVID-19.新型冠状病毒肺炎(COVID-19)孕妇心血管并发症综述
Rev Cardiovasc Med. 2022 Nov 16;23(11):383. doi: 10.31083/j.rcm2311383. eCollection 2022 Nov.
3
Managing Labour in Women with COVID-19.新型冠状病毒肺炎(COVID-19)产妇的分娩管理

本文引用的文献

1
Infectious Diseases Society of America Guidelines on the Treatment and Management of Patients with COVID-19.美国传染病学会关于2019冠状病毒病患者治疗与管理的指南
Clin Infect Dis. 2020 Apr 27. doi: 10.1093/cid/ciaa478.
2
Outcome of coronavirus spectrum infections (SARS, MERS, COVID-19) during pregnancy: a systematic review and meta-analysis.妊娠期冠状病毒谱感染(SARS、MERS、COVID-19)结局的系统评价和荟萃分析。
Am J Obstet Gynecol MFM. 2020 May;2(2):100107. doi: 10.1016/j.ajogmf.2020.100107. Epub 2020 Mar 25.
3
Clinical characteristics and intrauterine vertical transmission potential of COVID-19 infection in nine pregnant women: a retrospective review of medical records.
J Clin Med. 2023 Jun 12;12(12):3980. doi: 10.3390/jcm12123980.
4
The prevalence of mental ill-health in women during pregnancy and after childbirth during the Covid-19 pandemic: a systematic review and Meta-analysis.新冠疫情期间女性在孕期和产后精神健康不良的流行情况:系统评价和 Meta 分析。
BMC Pregnancy Childbirth. 2023 Jan 28;23(1):76. doi: 10.1186/s12884-022-05243-4.
5
Cardiovascular Complications of COVID-19 among Pregnant Women and Their Fetuses: A Systematic Review.孕妇及其胎儿新冠病毒病的心血管并发症:一项系统综述
J Clin Med. 2022 Oct 20;11(20):6194. doi: 10.3390/jcm11206194.
6
Pregnancy, Preeclampsia, and COVID-19: Susceptibility and Mechanisms: A Review Study.妊娠、子痫前期与2019冠状病毒病:易感性与机制:一项综述研究
Int J Fertil Steril. 2022 Apr;16(2):64-69. doi: 10.22074/IJFS.2022.539768.1194. Epub 2022 May 8.
7
COVID-19 and Preeclampsia: Overlapping Features in Pregnancy.新型冠状病毒肺炎与子痫前期:妊娠中的重叠特征
Rambam Maimonides Med J. 2022 Jan 27;13(1):e0007. doi: 10.5041/RMMJ.10464.
8
COVID-19 and pregnancy: A comparison of case reports, case series and registry studies.2019冠状病毒病与妊娠:病例报告、病例系列及登记研究的比较
Eur J Obstet Gynecol Reprod Biol. 2022 Jan;268:135-142. doi: 10.1016/j.ejogrb.2021.12.002. Epub 2021 Dec 6.
9
Pathophysiological and molecular considerations of viral and bacterial infections during maternal-fetal and -neonatal interactions of SARS-CoV-2, Zika, and Mycoplasma infectious diseases.SARS-CoV-2、寨卡病毒和支原体传染病在母胎和新生儿期相互作用期间的病毒和细菌感染的病理生理和分子考虑因素。
Biochim Biophys Acta Mol Basis Dis. 2022 Jan 1;1868(1):166285. doi: 10.1016/j.bbadis.2021.166285. Epub 2021 Oct 6.
10
SARS-CoV-2 Infection in Pregnant Women: Neuroimmune-Endocrine Changes at the Maternal-Fetal Interface.SARS-CoV-2 感染孕妇:母体-胎儿界面的神经免疫内分泌变化。
Neuroimmunomodulation. 2021;28(1):1-21. doi: 10.1159/000515556. Epub 2021 Apr 28.
九名孕妇感染 COVID-19 的临床特征和宫内垂直传播潜力:病历回顾性研究。
Lancet. 2020 Mar 7;395(10226):809-815. doi: 10.1016/S0140-6736(20)30360-3. Epub 2020 Feb 12.
4
Committee Opinion No. 713: Antenatal Corticosteroid Therapy for Fetal Maturation.委员会意见第713号:用于胎儿成熟的产前糖皮质激素治疗
Obstet Gynecol. 2017 Aug;130(2):e102-e109. doi: 10.1097/AOG.0000000000002237.
5
Pregnancy and infection.妊娠与感染
N Engl J Med. 2014 Jun 5;370(23):2211-8. doi: 10.1056/NEJMra1213566.
6
2009 pandemic influenza A (H1N1) in pregnancy: a systematic review of the literature.2009 年大流行性流感 A(H1N1)在妊娠期间的文献系统评价。
Am J Obstet Gynecol. 2011 Jul;205(1):10-8. doi: 10.1016/j.ajog.2010.12.033. Epub 2011 Feb 23.