Suppr超能文献

面部黄褐斑及未受影响的相邻皮肤对紫外线B、紫外线A和可见光的体外黑素生成反应评估

Evaluation of ex vivo melanogenic response to UVB, UVA, and visible light in facial melasma and unaffected adjacent skin.

作者信息

Alcantara Giovana Piteri, Esposito Ana Cláudia Cavalcante, Olivatti Thainá Oliveira Felicio, Yoshida Melissa Mari, Miot Hélio Amante

机构信息

Department of Dermatology and Radiotherapy, Faculty of Medicine, Universidade Estadual Paulista, Botucatu, SP, Brazil.

Graduate Program in Pathology, Faculty of Medicine, Universidade Estadual Paulista, Botucatu, SP, Brazil.

出版信息

An Bras Dermatol. 2020 Nov-Dec;95(6):684-690. doi: 10.1016/j.abd.2020.02.015. Epub 2020 Sep 17.

Abstract

BACKGROUND

The independent role of solar radiation in the differential melanogenesis between melasma and adjacent skin is unknown.

OBJECTIVES

To assess the melanogenic responses of skin with facial melasma and of the adjacent skin to UVB, UVA, and visible light, in an ex vivo model.

METHODS

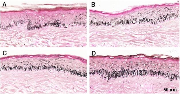
This was a quasi-experimental study involving 22 patients with melasma. Facial melasma and adjacent skin samples were collected and stored in DMEM medium, at room temperature. One fragment was placed under the protection from light, while another was exposed to UVB, UVA, and visible light (blue-violet component): 166 mJ/cm, 1.524 J/cm, and 40 J/cm, respectively. Subsequently, all samples were kept for 72 hours in a dark environment and stained by Fontana-Masson to assess basal layer pigmentation, dendrites, and melanin granulation.

RESULTS

Effective melanogenesis was observed in the basal layer in melasma and in the normal adjacent skin after all irradiations (p < 0.01), with the following median increment: UVB (4.7% vs. 8.5%), UVA (9.5% vs. 9.9%), and visible light (6.8% vs. 11.7%), with no significant difference between anatomical sites. An increase in melanin granulation (coarser melanosomes) was observed only after irradiation with UVA and only in the skin with melasma (p = 0.05). An increase in the melanocyte dendrite count induced by UVB radiation was observed in both anatomical sites (p ≤ 0.05).

STUDY LIMITATIONS

Use of an ex vivo model, with independent irradiation regimes for UVB, UVA, and visible light.

CONCLUSIONS

Melanogenesis induced by UVB, UVA, and visible light was observed both in melasma and in the adjacent skin. The morphological patterns suggest that different irradiations promote individualized responses on the skin with melasma.

摘要

背景

日光辐射在黄褐斑与相邻皮肤黑素生成差异中的独立作用尚不清楚。

目的

在体外模型中评估面部黄褐斑皮肤及相邻皮肤对紫外线B(UVB)、紫外线A(UVA)和可见光的黑素生成反应。

方法

这是一项涉及22例黄褐斑患者的准实验研究。收集面部黄褐斑及相邻皮肤样本,室温下保存在杜氏改良 Eagle 培养基(DMEM)中。将其中一个样本置于避光处,另一个则分别暴露于UVB、UVA和可见光(蓝紫光成分)下,剂量分别为166 mJ/cm²、1.524 J/cm²和40 J/cm²。随后,所有样本在黑暗环境中保存72小时,并用福尔根-马松染色法评估基底层色素沉着、树突和黑色素颗粒。

结果

所有照射后,黄褐斑及正常相邻皮肤的基底层均观察到有效的黑素生成(p < 0.01)。以下是中位数增量:UVB(4.7%对8.5%)、UVA(9.5%对9.9%)和可见光(6.8%对11.7%),不同解剖部位之间无显著差异。仅在UVA照射后且仅在黄褐斑皮肤中观察到黑色素颗粒增加(黑素体更粗大)(p = 0.05)。在两个解剖部位均观察到UVB辐射诱导的黑素细胞树突数量增加(p≤0.05)。

研究局限性

使用体外模型,对UVB、UVA和可见光采用独立的照射方案。

结论

在黄褐斑及相邻皮肤中均观察到UVB、UVA和可见光诱导的黑素生成。形态学模式表明,不同照射对黄褐斑皮肤产生个体化反应。

https://cdn.ncbi.nlm.nih.gov/pmc/blobs/7633/7672495/0cb810f59914/gr1.jpg

文献检索

告别复杂PubMed语法,用中文像聊天一样搜索,搜遍4000万医学文献。AI智能推荐,让科研检索更轻松。

立即免费搜索

文件翻译

保留排版,准确专业,支持PDF/Word/PPT等文件格式,支持 12+语言互译。

免费翻译文档

深度研究

AI帮你快速写综述,25分钟生成高质量综述,智能提取关键信息,辅助科研写作。

立即免费体验