• 文献检索
  • 文档翻译
  • 深度研究
  • 学术资讯
  • Suppr Zotero 插件Zotero 插件
  • 邀请有礼
  • 套餐&价格
  • 历史记录
应用&插件
Suppr Zotero 插件Zotero 插件浏览器插件Mac 客户端Windows 客户端微信小程序
定价
高级版会员购买积分包购买API积分包
服务
文献检索文档翻译深度研究API 文档MCP 服务
关于我们
关于 Suppr公司介绍联系我们用户协议隐私条款
关注我们

Suppr 超能文献

核心技术专利:CN118964589B侵权必究
粤ICP备2023148730 号-1Suppr @ 2026

文献检索

告别复杂PubMed语法,用中文像聊天一样搜索,搜遍4000万医学文献。AI智能推荐,让科研检索更轻松。

立即免费搜索

文件翻译

保留排版,准确专业,支持PDF/Word/PPT等文件格式,支持 12+语言互译。

免费翻译文档

深度研究

AI帮你快速写综述,25分钟生成高质量综述,智能提取关键信息,辅助科研写作。

立即免费体验

肺气肿患者行电视辅助胸腔镜肺减容手术结果分析

Analysis of lung volume reduction surgery results with video-assisted thoracoscopic surgery in emphysematous lung patients.

作者信息

Kermenli Tayfun, Azar Cebrail

机构信息

Department of Thoracic Surgery, Istanbul Aydın University, Istanbul, Turkey.

Department of Chest Diseases, Medicalpark Elazığ Hospital, Elazığ, Turkey.

出版信息

Kardiochir Torakochirurgia Pol. 2020 Sep;17(3):127-131. doi: 10.5114/kitp.2020.99075. Epub 2020 Sep 23.

DOI:10.5114/kitp.2020.99075
PMID:33014087
原文链接:https://pmc.ncbi.nlm.nih.gov/articles/PMC7526494/
Abstract

AIM

In our study, we aimed to evaluate the results of patients who underwent lung volume reduction surgery with video-assisted thoracoscopic surgery due to diffuse or upper lobe limited emphysema.

MATERIAL AND METHODS

Patients who underwent lung volume reduction surgery (LVRS) for emphysema in our clinic between March 2015 and January 2020 were included in the study. The files of the patients were evaluated retrospectively. Age, gender, smoking history, hospitalization time, drain removal time, complications, and postoperative pulmonary function test values were evaluated in the patient records.

RESULTS

Twenty-four of the patients were male and 2 were female. The average age was determined as 49.6. Twenty-six patients underwent 31 surgical procedures, 5 of which were bilateral. Twenty-seven of them were performed by videothoracoscopic LVRS. Preoperative mean forced expiratory volume in 1 s (FEV) value was 32.7%, total lung capacity 132%, residual volume 280%. The average length of hospital stay was found to be 7.75 days (4-19), and the time to remove the thorax drain was 9.5 (4-23) days. FEV: 1.78 (48.5%) was found in the pulmonary function tests of the patients at the 6 month postoperative controls. According to preoperative FEV, 48.3% improvement was detected.

CONCLUSIONS

Volume reduction surgery is a treatment method that positively affects the natural course of emphysema in addition to quitting smoking and oxygen therapy. Patients with predominantly emphysema in the upper lobes, low exercise capacity, and appropriate FEV values benefited most from this treatment.

摘要

目的

在我们的研究中,我们旨在评估因弥漫性或上叶局限性肺气肿而接受电视辅助胸腔镜手术肺减容术的患者的结果。

材料与方法

纳入2015年3月至2020年1月在我们诊所因肺气肿接受肺减容手术(LVRS)的患者。对患者的病历进行回顾性评估。在患者记录中评估年龄、性别、吸烟史、住院时间、引流管拔除时间、并发症及术后肺功能测试值。

结果

24例患者为男性,2例为女性。平均年龄确定为49.6岁。26例患者接受了31次手术,其中5次为双侧手术。其中27次手术通过电视胸腔镜LVRS进行。术前1秒用力呼气容积(FEV)平均值为32.7%,肺总量为132%,残气量为280%。发现平均住院时间为7.75天(4 - 19天),胸腔引流管拔除时间为9.5天(4 - 23天)。在术后6个月的对照中,患者的肺功能测试中FEV:1.78(48.5%)。与术前FEV相比,改善了48.3%。

结论

除戒烟和氧疗外,肺减容手术是一种对肺气肿自然病程有积极影响的治疗方法。上叶为主的肺气肿、运动能力低且FEV值合适的患者从该治疗中获益最大。

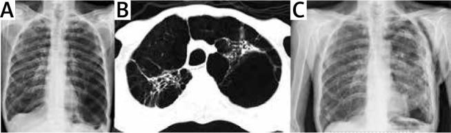
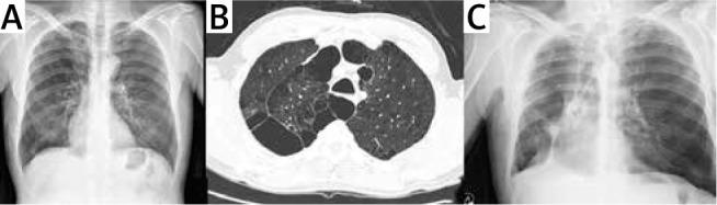
https://cdn.ncbi.nlm.nih.gov/pmc/blobs/02f3/7526494/62dc77987737/KITP-17-41808-g002.jpg
https://cdn.ncbi.nlm.nih.gov/pmc/blobs/02f3/7526494/9311fbc8e641/KITP-17-41808-g001.jpg
https://cdn.ncbi.nlm.nih.gov/pmc/blobs/02f3/7526494/62dc77987737/KITP-17-41808-g002.jpg
https://cdn.ncbi.nlm.nih.gov/pmc/blobs/02f3/7526494/9311fbc8e641/KITP-17-41808-g001.jpg
https://cdn.ncbi.nlm.nih.gov/pmc/blobs/02f3/7526494/62dc77987737/KITP-17-41808-g002.jpg

相似文献

1
Analysis of lung volume reduction surgery results with video-assisted thoracoscopic surgery in emphysematous lung patients.肺气肿患者行电视辅助胸腔镜肺减容手术结果分析
Kardiochir Torakochirurgia Pol. 2020 Sep;17(3):127-131. doi: 10.5114/kitp.2020.99075. Epub 2020 Sep 23.
2
Repeated lung volume reduction surgery is successful in selected patients.重复肺减容手术在部分患者中取得成功。
Eur J Cardiothorac Surg. 2015 Nov;48(5):710-5. doi: 10.1093/ejcts/ezu498. Epub 2014 Dec 29.
3
Lung volume reduction surgery for diffuse emphysema.弥漫性肺气肿的肺减容手术
Cochrane Database Syst Rev. 2016 Oct 14;10(10):CD001001. doi: 10.1002/14651858.CD001001.pub3.
4
Survival after unilateral versus bilateral lung volume reduction surgery for emphysema.单侧与双侧肺减容手术治疗肺气肿后的生存率。
J Thorac Cardiovasc Surg. 1999 Dec;118(6):1101-9. doi: 10.1016/S0022-5223(99)70108-X.
5
Exercise performance and gas exchange after bilateral video-assisted thoracoscopic lung volume reduction for severe emphysema.双侧电视辅助胸腔镜肺减容术治疗重度肺气肿后的运动表现和气体交换
Eur Respir J. 1998 Oct;12(4):785-92. doi: 10.1183/09031936.98.12040785.
6
No-cut thoracoscopic lung plication: a new technique for lung volume reduction surgery.
J Am Coll Surg. 1997 Jul;185(1):25-32. doi: 10.1016/s1072-7515(97)00021-5.
7
Bilateral apical vs nonapical stapling resection during lung volume reduction surgery.肺减容手术中双侧尖段与非尖段吻合器切除术
Chest. 1998 Oct;114(4):981-7. doi: 10.1378/chest.114.4.981.
8
Evidence-based medicine: lung volume reduction surgery (LVRS).循证医学:肺减容手术(LVRS)
Thorac Cardiovasc Surg. 2002 Oct;50(5):315-22. doi: 10.1055/s-2002-34581.
9
Surgical therapy for chronic obstructive pulmonary disease.慢性阻塞性肺疾病的外科治疗
Semin Respir Crit Care Med. 2005 Apr;26(2):167-91. doi: 10.1055/s-2005-869537.
10
The role of the emphysema multidisciplinary team in a successful lung volume reduction surgery programme†.肺气肿多学科团队在成功的肺减容手术项目中的作用†
Eur J Cardiothorac Surg. 2014 Dec;46(6):1021-6; discussion 1026. doi: 10.1093/ejcts/ezu129. Epub 2014 Apr 24.

引用本文的文献

1
[Efficacy and Safety of Medical Thoracoscopic Bulla Volume Reduction in the Treatment of Chronic Obstructive Pulmonary Disease Combined With Giant Emphysematous Bullae].[医学胸腔镜下肺大疱减容术治疗慢性阻塞性肺疾病合并巨大肺大疱的疗效与安全性]
Sichuan Da Xue Xue Bao Yi Xue Ban. 2024 Mar 20;55(2):403-410. doi: 10.12182/20240360604.

本文引用的文献

1
Uniportal video-assisted thoracoscopic lobectomy in a 9-week-old patient.9周龄患儿的单孔电视辅助胸腔镜肺叶切除术
Interact Cardiovasc Thorac Surg. 2020 Feb 1;30(2):327. doi: 10.1093/icvts/ivz263.
2
Evaluation of surgical procedures in primary mediastinal cysts and tumors: single-center experience.原发性纵隔囊肿和肿瘤手术方法的评估:单中心经验
Kardiochir Torakochirurgia Pol. 2019 Oct;16(3):109-113. doi: 10.5114/kitp.2019.88597. Epub 2019 Oct 28.
3
Eligibility for Lung Volume Reduction Surgery in Patients With COPD Identified in a UK Primary Care Setting.
在英国初级保健环境中确定 COPD 患者的肺减容手术资格。
Chest. 2020 Feb;157(2):276-285. doi: 10.1016/j.chest.2019.07.016. Epub 2019 Aug 2.
4
Clinical and Quality of Life Outcomes After Lung Volume Reduction Surgery.肺减容术后的临床和生活质量结果。
Ann Thorac Surg. 2019 Sep;108(3):866-872. doi: 10.1016/j.athoracsur.2019.03.089. Epub 2019 May 2.
5
Postoperative complications and management after lung volume reduction surgery.肺减容术后的并发症及处理
J Thorac Dis. 2018 Aug;10(Suppl 23):S2775-S2779. doi: 10.21037/jtd.2018.08.75.
6
Improved postoperative lung function after sublobar resection of non-small-cell lung cancer combined with lung volume reduction surgery in patients with advanced emphysema.晚期肺气肿患者行非小细胞肺癌亚肺叶切除联合肺减容术后肺功能改善
J Thorac Dis. 2018 Aug;10(Suppl 23):S2704-S2710. doi: 10.21037/jtd.2018.06.79.
7
Uniportal versus multiport video-assisted thoracoscopic surgery for anatomical lung resections: a glance at a dilemma.单孔与多孔电视辅助胸腔镜手术用于解剖性肺切除术:审视一个两难困境
Wideochir Inne Tech Maloinwazyjne. 2018 Jun;13(2):215-220. doi: 10.5114/wiitm.2018.75897. Epub 2018 May 22.
8
Low-voltage coagulation, polyglycolic acid sheets, and fibrin glue to control air leaks in lung surgery.低电压凝血、聚乙醇酸片和纤维蛋白胶用于控制肺手术中的漏气。
Gen Thorac Cardiovasc Surg. 2017 Dec;65(12):705-709. doi: 10.1007/s11748-017-0829-2. Epub 2017 Sep 30.
9
Global Strategy for the Diagnosis, Management, and Prevention of Chronic Obstructive Lung Disease 2017 Report. GOLD Executive Summary.慢性阻塞性肺疾病全球策略:诊断、管理与预防 2017 年报告。GOLD 执行摘要。
Am J Respir Crit Care Med. 2017 Mar 1;195(5):557-582. doi: 10.1164/rccm.201701-0218PP.
10
The safety, efficacy, and durability of lung-volume reduction surgery: A 10-year experience.肺减容手术的安全性、有效性及耐久性:十年经验
J Thorac Cardiovasc Surg. 2016 Mar;151(3):717-724.e1. doi: 10.1016/j.jtcvs.2015.10.095. Epub 2015 Oct 30.