Suppr超能文献

组织棒,一种快速组织病理学标注工具。

TissueWand, a Rapid Histopathology Annotation Tool.

作者信息

Lindvall Martin, Sanner Alexander, Petré Fredrik, Lindman Karin, Treanor Darren, Lundström Claes, Löwgren Jonas

机构信息

Sectra AB, Research Department, Linköping, Sweden.

Center for Medical Image Science and Visualization, Linköping University, Linköping, Sweden.

出版信息

J Pathol Inform. 2020 Aug 21;11:27. doi: 10.4103/jpi.jpi_5_20. eCollection 2020.

Abstract

BACKGROUND

Recent advancements in machine learning (ML) bring great possibilities for the development of tools to assist with diagnostic tasks within histopathology. However, these approaches typically require a large amount of ground truth training data in the form of image annotations made by human experts. As such annotation work is a very time-consuming task, there is a great need for tools that can assist in this process, saving time while not sacrificing annotation quality.

METHODS

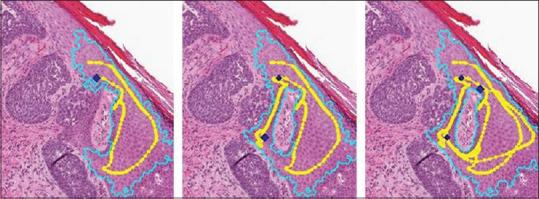
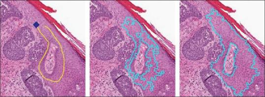
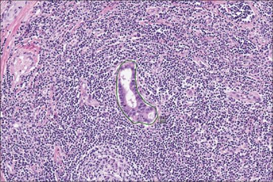
In an iterative design process, we developed TissueWand - an interactive tool designed for efficient annotation of gigapixel-sized histopathological images, not being constrained to a predefined annotation task.

RESULTS

Several findings regarding appropriate interaction concepts were made, where a key design component was semi-automation based on rapid interaction feedback in a local region. In a user study, the resulting tool was shown to cause substantial speed-up compared to manual work while maintaining quality.

CONCLUSIONS

The TissueWand tool shows promise to replace manual methods for early stages of dataset curation where no task-specific ML model yet exists to aid the effort.

摘要

背景

机器学习(ML)的最新进展为开发用于协助组织病理学诊断任务的工具带来了巨大可能性。然而,这些方法通常需要大量由人类专家以图像注释形式提供的真实训练数据。由于此类注释工作是一项非常耗时的任务,因此迫切需要能够协助这一过程的工具,在不牺牲注释质量的前提下节省时间。

方法

在一个迭代设计过程中,我们开发了TissueWand——一种交互式工具,旨在高效注释千兆像素大小的组织病理学图像,且不受限于预定义的注释任务。

结果

得出了一些关于适当交互概念的发现,其中一个关键设计组件是基于局部区域快速交互反馈的半自动操作。在一项用户研究中,结果表明,与手工操作相比,该工具在保持质量的同时显著提高了速度。

结论

TissueWand工具有望在尚未存在特定任务的ML模型来辅助工作的数据集整理早期阶段取代手工方法。

https://cdn.ncbi.nlm.nih.gov/pmc/blobs/e34c/7518350/4211b8489804/JPI-11-27-g001.jpg

文献AI研究员

20分钟写一篇综述,助力文献阅读效率提升50倍。

立即体验

用中文搜PubMed

大模型驱动的PubMed中文搜索引擎

马上搜索

文档翻译

学术文献翻译模型,支持多种主流文档格式。

立即体验