Liu Heping, Ma Yuxiang, Yang Chaopin, Xia Shangzhou, Pan Qiuzhong, Zhao Hongyun, Fang Wenfeng, Chen Xi, Zhang Yang, Zou Benyan, Li Qiuyuan, Wan Yang, Chen Hao, Tang Yan, Zhao Jingjing, Weng Desheng, Xia Liming, Zhang Li, Xia Jianchuan
Guangzhou Yiyang Biotechnology Company Ltd Guangzhou China.
Department of Clinical Research Sun Yat-sen University Cancer Center State Key Laboratory of Oncology in South China Collaborative Innovation Center for Cancer Medicine Guangzhou China.
Clin Transl Immunology. 2020 Oct 9;9(10):e1154. doi: 10.1002/cti2.1154. eCollection 2020.
This phase I study aimed to evaluate the antitumor effect and safety of programmed death-ligand-1 (PD-L1)-targeting autologous chimeric antigen receptor T (CAR-T) cells for patients with non-small cell lung cancer (NSCLC).
Programmed death-ligand-1-specific CAR-T cells were generated using lentiviral transduction. Four patients with NSCLC were recruited, but only one patient was finally involved. CAR-T cells were infused on three different days (total dose during therapy, 1 × 10 CAR-T cells kg body weight). The date on which the patient received the first CAR-T cell infusion was designated as Day 0.
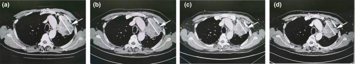
Circulating CAR-T cells accounted for 3.30% of the patient's peripheral blood T cells detected by FACS analysis during the first follow-up (Day +29). The chest CT scan showed subtle tumor shrinkage (stable disease). On Day +43, the patient developed pyrexia without any known causes and dyspnoea that rapidly deteriorated to respiratory failure in 3 days. The chest X-ray and CT scan showed bilateral extensive pulmonary infiltration in addition to the tumor silhouette on the left upper lung. The interleukin (IL)-6 levels in serum dramatically increased (> 100-fold). The patient was immediately transferred to the ICU where he received oxygen and intravenous infusions of tocilizumab and methylprednisolone. His symptoms rapidly improved and the pulmonary inflammation gradually resolved.
The clinical manifestations and test findings for this patient with NSCLC might represent unique clinical manifestations of solitary organ damage secondary to PD-L1-specific CAR-T cell therapy. The differential diagnosis, underlying mechanism and prevention and treatment strategies for such complications have also been discussed.
本I期研究旨在评估程序性死亡配体1(PD-L1)靶向性自体嵌合抗原受体T(CAR-T)细胞对非小细胞肺癌(NSCLC)患者的抗肿瘤作用和安全性。
使用慢病毒转导生成PD-L1特异性CAR-T细胞。招募了4例NSCLC患者,但最终仅1例患者入组。在3个不同日期输注CAR-T细胞(治疗期间的总剂量为1×10个CAR-T细胞/千克体重)。将患者接受首次CAR-T细胞输注的日期指定为第0天。
在首次随访(第+29天)时,通过流式细胞术分析检测到循环中的CAR-T细胞占患者外周血T细胞的3.30%。胸部CT扫描显示肿瘤有轻微缩小(疾病稳定)。在第+43天,患者出现不明原因的发热和呼吸困难,3天内迅速恶化为呼吸衰竭。胸部X线和CT扫描显示,除左上肺的肿瘤轮廓外,双侧还有广泛的肺部浸润。血清白细胞介素(IL)-6水平显著升高(>100倍)。患者立即被转入重症监护病房,在那里接受了吸氧以及静脉注射托珠单抗和甲泼尼龙。他的症状迅速改善,肺部炎症逐渐消退。
该NSCLC患者的临床表现和检查结果可能代表了PD-L1特异性CAR-T细胞治疗继发的孤立器官损伤的独特临床表现。还讨论了此类并发症的鉴别诊断、潜在机制以及预防和治疗策略。