• 文献检索
  • 文档翻译
  • 深度研究
  • 学术资讯
  • Suppr Zotero 插件Zotero 插件
  • 邀请有礼
  • 套餐&价格
  • 历史记录
应用&插件
Suppr Zotero 插件Zotero 插件浏览器插件Mac 客户端Windows 客户端微信小程序
定价
高级版会员购买积分包购买API积分包
服务
文献检索文档翻译深度研究API 文档MCP 服务
关于我们
关于 Suppr公司介绍联系我们用户协议隐私条款
关注我们

Suppr 超能文献

核心技术专利:CN118964589B侵权必究
粤ICP备2023148730 号-1Suppr @ 2026

文献检索

告别复杂PubMed语法,用中文像聊天一样搜索,搜遍4000万医学文献。AI智能推荐,让科研检索更轻松。

立即免费搜索

文件翻译

保留排版,准确专业,支持PDF/Word/PPT等文件格式,支持 12+语言互译。

免费翻译文档

深度研究

AI帮你快速写综述,25分钟生成高质量综述,智能提取关键信息,辅助科研写作。

立即免费体验

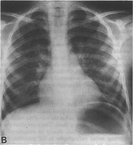
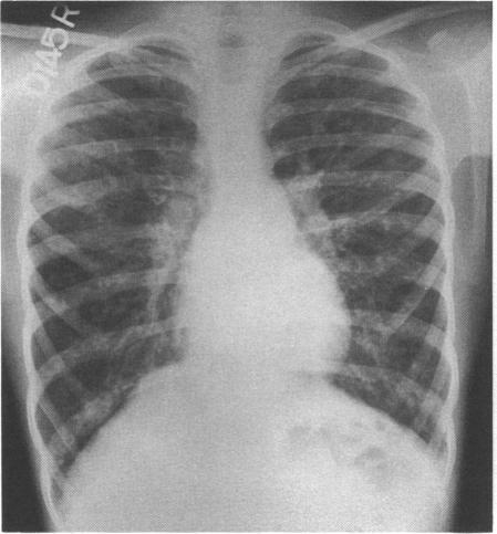
The chest radiograph in cystic fibrosis in children and the role of other radiological techniques.

作者信息

Carty H

机构信息

Department of Radiology, Alder Hey Children's Hospital, Liverpool.

出版信息

J R Soc Med. 1987;80 Suppl 15(Suppl 15):38-46.

PMID:3309310
原文链接:https://pmc.ncbi.nlm.nih.gov/articles/PMC1290612/
Abstract
摘要
https://cdn.ncbi.nlm.nih.gov/pmc/blobs/193f/1290612/f81170e28c39/jrsocmed00167-0043-c.jpg
https://cdn.ncbi.nlm.nih.gov/pmc/blobs/193f/1290612/3f9c3a882c95/jrsocmed00167-0041-a.jpg
https://cdn.ncbi.nlm.nih.gov/pmc/blobs/193f/1290612/73caa8dee661/jrsocmed00167-0041-b.jpg
https://cdn.ncbi.nlm.nih.gov/pmc/blobs/193f/1290612/398acf36d7ab/jrsocmed00167-0042-a.jpg
https://cdn.ncbi.nlm.nih.gov/pmc/blobs/193f/1290612/4dc7f09edb43/jrsocmed00167-0042-b.jpg
https://cdn.ncbi.nlm.nih.gov/pmc/blobs/193f/1290612/405a894378fa/jrsocmed00167-0042-c.jpg
https://cdn.ncbi.nlm.nih.gov/pmc/blobs/193f/1290612/7e070c1f954e/jrsocmed00167-0043-a.jpg
https://cdn.ncbi.nlm.nih.gov/pmc/blobs/193f/1290612/d9722f12be78/jrsocmed00167-0043-b.jpg
https://cdn.ncbi.nlm.nih.gov/pmc/blobs/193f/1290612/f81170e28c39/jrsocmed00167-0043-c.jpg
https://cdn.ncbi.nlm.nih.gov/pmc/blobs/193f/1290612/3f9c3a882c95/jrsocmed00167-0041-a.jpg
https://cdn.ncbi.nlm.nih.gov/pmc/blobs/193f/1290612/73caa8dee661/jrsocmed00167-0041-b.jpg
https://cdn.ncbi.nlm.nih.gov/pmc/blobs/193f/1290612/398acf36d7ab/jrsocmed00167-0042-a.jpg
https://cdn.ncbi.nlm.nih.gov/pmc/blobs/193f/1290612/4dc7f09edb43/jrsocmed00167-0042-b.jpg
https://cdn.ncbi.nlm.nih.gov/pmc/blobs/193f/1290612/405a894378fa/jrsocmed00167-0042-c.jpg
https://cdn.ncbi.nlm.nih.gov/pmc/blobs/193f/1290612/7e070c1f954e/jrsocmed00167-0043-a.jpg
https://cdn.ncbi.nlm.nih.gov/pmc/blobs/193f/1290612/d9722f12be78/jrsocmed00167-0043-b.jpg
https://cdn.ncbi.nlm.nih.gov/pmc/blobs/193f/1290612/f81170e28c39/jrsocmed00167-0043-c.jpg

相似文献

1
The chest radiograph in cystic fibrosis in children and the role of other radiological techniques.儿童囊性纤维化的胸部X线片及其他放射学技术的作用。
J R Soc Med. 1987;80 Suppl 15(Suppl 15):38-46.
2
Problems with meconium.胎粪问题。
Am J Roentgenol Radium Ther Nucl Med. 1971 May;112(1):135-42. doi: 10.2214/ajr.112.1.135.
3
The radiology of Meconium Ileus Equivalent.胎粪性肠梗阻等效征的放射学表现
Br J Radiol. 1981 Jul;54(643):562-5. doi: 10.1259/0007-1285-54-643-562.
4
Abdominal calcification in cystic fibrosis with meconium ileus: radiologic-pathologic correlation.囊性纤维化合并胎粪性肠梗阻时的腹部钙化:放射学与病理学相关性
Pediatr Radiol. 1997 Jun;27(6):523-7. doi: 10.1007/s002470050172.
5
Cystic fibrosis presenting with the meconium plug syndrome.以胎粪性肠梗阻综合征表现的囊性纤维化
Am J Dis Child. 1978 Feb;132(2):167-9. doi: 10.1001/archpedi.1978.02120270065014.
6
Familial meconium ileus not associated with cystic fibrosis.与囊性纤维化无关的家族性胎粪性肠梗阻。
J Pediatr Surg. 1974 Dec;9(6):821-24. doi: 10.1016/s0022-3468(74)80215-0.
7
Intestinal obstruction in an adult suffering from mucoviscidosis.
Br J Surg. 1969 Jun;56(6):472-3. doi: 10.1002/bjs.1800560618.
8
Meconium ileus equivalent in children with cystic fibrosis.囊性纤维化患儿的胎粪性肠梗阻等效征
Z Kinderchir. 1983 Aug;38(4):253-5. doi: 10.1055/s-2008-1059981.
9
Meconium ileus: a critical review of treatment and eventual prognosis.胎粪性肠梗阻:治疗及最终预后的批判性综述
J Pediatr Surg. 1971 Jun;6(3):290-300. doi: 10.1016/0022-3468(71)90470-2.
10
Clinical course of patients with cystic fibrosis presenting with meconium ileus.患有胎粪性肠梗阻的囊性纤维化患者的临床病程。
Br J Surg. 1997 Apr;84(4):555.

引用本文的文献

1
Radiography, tomosynthesis, CT and MRI in the evaluation of pulmonary cystic fibrosis: an untangling review of the multitude of scoring systems.放射摄影、断层合成、CT 和 MRI 在肺囊性纤维化评估中的应用:对多种评分系统的梳理性综述。
Insights Imaging. 2013 Dec;4(6):787-98. doi: 10.1007/s13244-013-0288-y. Epub 2013 Sep 25.
2
Description and validation of a scoring system for tomosynthesis in pulmonary cystic fibrosis.描述和验证一种用于肺囊性纤维化的断层合成成像评分系统。
Eur Radiol. 2012 Dec;22(12):2718-28. doi: 10.1007/s00330-012-2534-y. Epub 2012 Jun 30.
3
Cystic fibrosis.

本文引用的文献

1
The systematic evaluation of the chest radiograph in cystic fibrosis.囊性纤维化患者胸部X光片的系统评估
Pediatr Radiol. 1974;2(2):101-5. doi: 10.1007/BF01314939.
2
Incidence of meconium abnormalities in newborn infants with cystic fibrosis.患有囊性纤维化的新生儿胎粪异常的发生率。
Am J Dis Child. 1980 Jan;134(1):72-3. doi: 10.1001/archpedi.1980.02130130054016.
3
The radiology of Meconium Ileus Equivalent.胎粪性肠梗阻等效征的放射学表现
囊性纤维化
Arch Dis Child. 1990 Jan;65(1):152-7. doi: 10.1136/adc.65.1.152.
Br J Radiol. 1981 Jul;54(643):562-5. doi: 10.1259/0007-1285-54-643-562.
4
Meconium peritonitis, intraperitoneal calcifications and cystic fibrosis.胎粪性腹膜炎、腹腔内钙化与囊性纤维化。
Pediatr Radiol. 1982;12(2):92-3. doi: 10.1007/BF00972441.
5
Chest radiographs in cystic fibrosis. A follow-up study with application of a quantitative system.囊性纤维化的胸部X光片。一项应用定量系统的随访研究。
Pediatr Radiol. 1982;12(2):57-61. doi: 10.1007/BF00972431.
6
Radionuclide assessment of the effects of chest physical therapy on ventilation in cystic fibrosis.放射性核素评估胸部物理治疗对囊性纤维化患者通气功能的影响。
Phys Ther. 1982 Jun;62(6):820-7. doi: 10.1093/ptj/62.6.820.
7
Gastrointestinal manifestations of cystic fibrosis: a review.囊性纤维化的胃肠道表现:综述
Gastroenterology. 1981 Dec;81(6):1143-61.
8
Intestinal obstruction and cystic fibrosis: antenatal ultrasound appearance.肠梗阻与囊性纤维化:产前超声表现
J Med Genet. 1983 Jun;20(3):229-30. doi: 10.1136/jmg.20.3.229.
9
The distended neonate.腹胀的新生儿。
Clin Radiol. 1983 Jul;34(4):367-80. doi: 10.1016/s0009-9260(83)80217-7.
10
CT appearance of the liver in a patient with biliary cirrhosis and cystic fibrosis.
J Comput Assist Tomogr. 1983 Jun;7(3):530-3. doi: 10.1097/00004728-198306000-00030.