Suppr超能文献

影像学在新型冠状病毒肺炎感染中的当前作用以及近期关于现场即时超声在该传染病中的应用建议:一篇叙述性综述

Current role of imaging in COVID-19 infection with recent recommendations of point of care ultrasound in the contagion: a narrative review.

作者信息

Gandhi Darshan, Jain Nitin, Khanna Kanika, Li Shuo, Patel Love, Gupta Nishant

机构信息

Department of Radiology, Northwestern Memorial Hospital, Northwestern University Feinberg School of Medicine, Chicago, IL, USA.

Department of Radiology, Ascension St. John Macomb and Oakland Hospitals, Warren & Madison Heights campuses, Troy, MI, USA.

出版信息

Ann Transl Med. 2020 Sep;8(17):1094. doi: 10.21037/atm-20-3043.

Abstract

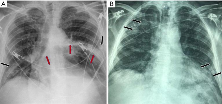
Radiological studies have an important role in the diagnosis and follow up of many infectious diseases. With current pandemic of Coronavirus disease 2019 (COVID-19) though the molecular analysis with reverse transcriptase polymerase chain reaction (RT-PCR) remains the cornerstone of diagnosis, the critical role of chest imaging including CT scan and baseline X-ray became apparent early in the course due to concern for less than optimal sensitivity of PCR testing. Delay in molecular diagnosis due to a shortage of testing kits and laboratory personnel also makes imaging an important modality in early diagnosis for appropriate triage and isolation decisions. CT scan technology is widely available in developed parts of the world but in developing countries, CT scanner is not widely available especially in rural settings. CT imaging usually requires patient movement to the radiology department and the scanner is not easy to disinfect. Point of care ultrasound (POCUS) has been used for many years in the assessment of critically ill patients in emergency departments and intensive care units. It is rapidly gaining popularity across many specialties and part of many general medicine training programs across the United States. It can be learned rapidly and with experienced hands, POCUS can help identify disease patterns in the lung parenchyma, and during the current pandemic has been gaining special attention. In this article, we review the most prominent imaging findings on chest X-ray and CT scan in patients with COVID-19. We also focus on the background and evolution of POCUS with studies showing the promising role of this diagnostic modality in COVID-19 infection. In addition, we describe step by step guidance on the use and disinfection of the portable ultrasound machine.

摘要

放射学研究在许多传染病的诊断和随访中发挥着重要作用。在当前的2019冠状病毒病(COVID-19)大流行中,尽管逆转录聚合酶链反应(RT-PCR)的分子分析仍然是诊断的基石,但由于担心PCR检测的敏感性欠佳,胸部成像(包括CT扫描和基线X线检查)的关键作用在病程早期就变得明显。由于检测试剂盒和实验室人员短缺导致分子诊断延迟,这也使得成像成为早期诊断中进行适当分诊和隔离决策的重要手段。CT扫描技术在世界发达地区广泛可用,但在发展中国家,尤其是在农村地区,CT扫描仪并不普及。CT成像通常需要患者前往放射科,而且扫描仪不易消毒。即时超声检查(POCUS)在急诊科和重症监护病房对危重症患者的评估中已经使用多年。它在许多专业领域迅速普及,并且是美国许多普通医学培训项目的一部分。它可以快速掌握,并且由经验丰富的人员操作时,POCUS有助于识别肺实质中的疾病模式,在当前大流行期间受到了特别关注。在本文中,我们回顾了COVID-19患者胸部X线和CT扫描最突出的影像学表现。我们还重点介绍了POCUS的背景和发展,各项研究表明这种诊断方式在COVID-19感染中具有重要作用。此外,我们还描述了便携式超声机器使用和消毒的逐步指导。

https://cdn.ncbi.nlm.nih.gov/pmc/blobs/833b/7576001/7b58d9c522d2/atm-08-17-1094-f1.jpg

文献AI研究员

20分钟写一篇综述,助力文献阅读效率提升50倍。

立即体验

用中文搜PubMed

大模型驱动的PubMed中文搜索引擎

马上搜索

文档翻译

学术文献翻译模型,支持多种主流文档格式。

立即体验