• 文献检索
  • 文档翻译
  • 深度研究
  • 学术资讯
  • Suppr Zotero 插件Zotero 插件
  • 邀请有礼
  • 套餐&价格
  • 历史记录
应用&插件
Suppr Zotero 插件Zotero 插件浏览器插件Mac 客户端Windows 客户端微信小程序
定价
高级版会员购买积分包购买API积分包
服务
文献检索文档翻译深度研究API 文档MCP 服务
关于我们
关于 Suppr公司介绍联系我们用户协议隐私条款
关注我们

Suppr 超能文献

核心技术专利:CN118964589B侵权必究
粤ICP备2023148730 号-1Suppr @ 2026

文献检索

告别复杂PubMed语法,用中文像聊天一样搜索,搜遍4000万医学文献。AI智能推荐,让科研检索更轻松。

立即免费搜索

文件翻译

保留排版,准确专业,支持PDF/Word/PPT等文件格式,支持 12+语言互译。

免费翻译文档

深度研究

AI帮你快速写综述,25分钟生成高质量综述,智能提取关键信息,辅助科研写作。

立即免费体验

COVID-19 感染导致的急性下肢缺血的成功导管溶栓治疗。

Successful Catheter-Directed Thrombolysis for Acute Lower Limb Ischemia Secondary to COVID-19 Infection.

机构信息

Department of Vascular Surgery, Countess of Chester NHS Foundation Trust, Chester, UK.

Department of Vascular Surgery, Countess of Chester NHS Foundation Trust, Chester, UK.

出版信息

Ann Vasc Surg. 2021 Feb;71:103-111. doi: 10.1016/j.avsg.2020.09.044. Epub 2020 Nov 3.

DOI:10.1016/j.avsg.2020.09.044
PMID:33157249
原文链接:https://pmc.ncbi.nlm.nih.gov/articles/PMC7607236/
Abstract

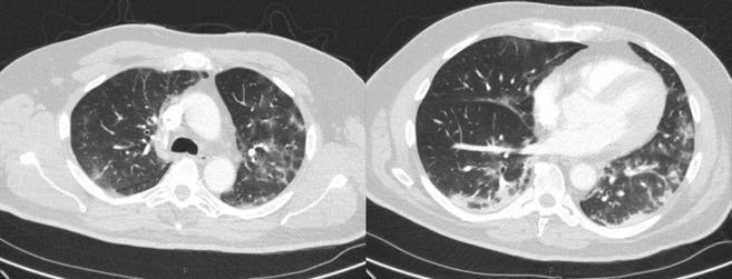
A 49-year-old man was admitted to his local hospital with left leg pain and breathing difficulties. He had negative nasopharyngeal polymerase chain reaction tests for severe acute respiratory syndrome coronavirus 2. Chest X-ray and Computed tomography pulmonary angiogram displayed typical coronavirus disease 2019 (COVID-19) radiological features as ground-glass opacities and bronchovascular thickening. His respiratory symptoms resolved after four days of supportive treatment, whereas his left leg became more painful and discolored. He was referred to our center with acute left leg ischemia. computed tomography angiogram revealed eccentric mural thrombus at the aortic bifurcation, extending into left common iliac and an abrupt occlusion of left popliteal, tibioperoneal, and posterior tibial arteries. He was treated with catheter-directed thrombolysis for 48-hours that achieved successful revascularization of the ischemic limb with no intervention-related complications. At six-week follow-up, he showed full recovery. Our case demonstrates that catheter-directed thrombolysis is a successful and safe treatment option in a COVID-19 patient with acute arterial occlusion.

摘要

一位 49 岁男性因左腿疼痛和呼吸困难入住当地医院。他的鼻咽聚合酶链反应检测严重急性呼吸综合征冠状病毒 2 呈阴性。胸部 X 光和计算机断层肺动脉造影显示出典型的 2019 年冠状病毒病(COVID-19)放射学特征,包括磨玻璃影和支气管血管增厚。经过四天的支持性治疗,他的呼吸症状得到缓解,但左腿变得更加疼痛和变色。他因急性左腿缺血被转至我们中心。计算机断层血管造影显示主动脉分叉处偏心性壁血栓形成,延伸至左侧髂总动脉,以及左侧腘动脉、胫前动脉和后胫动脉突然闭塞。他接受了 48 小时的导管定向溶栓治疗,实现了缺血肢体的成功再血管化,没有与干预相关的并发症。在 6 周的随访中,他完全康复。我们的病例表明,在 COVID-19 患者中,导管定向溶栓是一种成功且安全的治疗选择。

https://cdn.ncbi.nlm.nih.gov/pmc/blobs/efd6/7607236/cb38f892bd97/gr9_lrg.jpg
https://cdn.ncbi.nlm.nih.gov/pmc/blobs/efd6/7607236/a424d0b90c46/gr1_lrg.jpg
https://cdn.ncbi.nlm.nih.gov/pmc/blobs/efd6/7607236/963a0a649aae/gr2_lrg.jpg
https://cdn.ncbi.nlm.nih.gov/pmc/blobs/efd6/7607236/37cbaaafdc31/gr3_lrg.jpg
https://cdn.ncbi.nlm.nih.gov/pmc/blobs/efd6/7607236/692decfe0c2d/gr4_lrg.jpg
https://cdn.ncbi.nlm.nih.gov/pmc/blobs/efd6/7607236/e1da655903b0/gr5_lrg.jpg
https://cdn.ncbi.nlm.nih.gov/pmc/blobs/efd6/7607236/e6c3706a8a94/gr6_lrg.jpg
https://cdn.ncbi.nlm.nih.gov/pmc/blobs/efd6/7607236/3d23e8d589f5/gr7_lrg.jpg
https://cdn.ncbi.nlm.nih.gov/pmc/blobs/efd6/7607236/bc3852258f0c/gr8_lrg.jpg
https://cdn.ncbi.nlm.nih.gov/pmc/blobs/efd6/7607236/cb38f892bd97/gr9_lrg.jpg
https://cdn.ncbi.nlm.nih.gov/pmc/blobs/efd6/7607236/a424d0b90c46/gr1_lrg.jpg
https://cdn.ncbi.nlm.nih.gov/pmc/blobs/efd6/7607236/963a0a649aae/gr2_lrg.jpg
https://cdn.ncbi.nlm.nih.gov/pmc/blobs/efd6/7607236/37cbaaafdc31/gr3_lrg.jpg
https://cdn.ncbi.nlm.nih.gov/pmc/blobs/efd6/7607236/692decfe0c2d/gr4_lrg.jpg
https://cdn.ncbi.nlm.nih.gov/pmc/blobs/efd6/7607236/e1da655903b0/gr5_lrg.jpg
https://cdn.ncbi.nlm.nih.gov/pmc/blobs/efd6/7607236/e6c3706a8a94/gr6_lrg.jpg
https://cdn.ncbi.nlm.nih.gov/pmc/blobs/efd6/7607236/3d23e8d589f5/gr7_lrg.jpg
https://cdn.ncbi.nlm.nih.gov/pmc/blobs/efd6/7607236/bc3852258f0c/gr8_lrg.jpg
https://cdn.ncbi.nlm.nih.gov/pmc/blobs/efd6/7607236/cb38f892bd97/gr9_lrg.jpg

相似文献

1
Successful Catheter-Directed Thrombolysis for Acute Lower Limb Ischemia Secondary to COVID-19 Infection.COVID-19 感染导致的急性下肢缺血的成功导管溶栓治疗。
Ann Vasc Surg. 2021 Feb;71:103-111. doi: 10.1016/j.avsg.2020.09.044. Epub 2020 Nov 3.
2
Catheter-directed thrombolysis for acute limb ischemia caused by native artery occlusion: an experience of a university hospital.导管定向溶栓治疗原发性动脉闭塞所致急性肢体缺血:一所大学医院的经验
J Med Assoc Thai. 2013 Jun;96(6):661-8.
3
Thrombolysis for native arterial occlusions of the lower extremities: clinical outcome and cost.下肢原发性动脉闭塞的溶栓治疗:临床疗效与成本
J Vasc Surg. 2001 Jun;33(6):1148-57. doi: 10.1067/mva.2001.114818.
4
Can catheter-directed thrombolysis be applied to acute lower extremity artery embolism after recent cerebral embolism from atrial fibrillation?在近期发生心房颤动所致脑栓塞后,导管定向溶栓能否应用于急性下肢动脉栓塞?
Clin Radiol. 2008 Oct;63(10):1136-41. doi: 10.1016/j.crad.2008.04.014. Epub 2008 Jul 7.
5
Results of a prospective randomized trial evaluating surgery versus thrombolysis for ischemia of the lower extremity. The STILE trial.一项评估手术与溶栓治疗下肢缺血的前瞻性随机试验结果。STILE试验。
Ann Surg. 1994 Sep;220(3):251-66; discussion 266-8. doi: 10.1097/00000658-199409000-00003.
6
Infusion techniques for peripheral arterial thrombolysis.外周动脉溶栓的输注技术。
Cochrane Database Syst Rev. 2004(1):CD000985. doi: 10.1002/14651858.CD000985.pub2.
7
Fast-track thrombolysis protocol for acute limb ischemia.急性肢体缺血的快速溶栓方案。
J Vasc Surg. 2021 Mar;73(3):950-959. doi: 10.1016/j.jvs.2020.03.061. Epub 2020 May 11.
8
Potential benefits from heating the high-dose rtPA boluses used in catheter-directed thrombolysis for acute/subacute lower limb ischemia.在导管定向溶栓治疗急性/亚急性下肢缺血中,加热高剂量重组组织型纤溶酶原激活剂(rtPA)推注剂量可能带来的益处。
J Endovasc Ther. 2003 Aug;10(4):739-44. doi: 10.1177/152660280301000409.
9
Early experience of catheter directed thrombolysis for acute limb ischemia of native vessels and bypass graft thrombosis in Thai patients.泰国患者原发性血管急性肢体缺血及旁路移植血栓形成的导管定向溶栓早期经验。
J Med Assoc Thai. 2011 Feb;94 Suppl 1:S11-8.
10
Percutaneous site-specific pharmacomechanical thrombolysis- thrombectomy system for bilateral acute limb ischemia.用于双侧急性肢体缺血的经皮位点特异性药物机械溶栓-血栓切除术系统
J Invasive Cardiol. 2011 Feb;23(2):81-3.

引用本文的文献

1
Acute Limb Ischemia in COVID-19: A Systematic Review.新型冠状病毒肺炎相关急性肢体缺血:一项系统综述
Int J Angiol. 2023 Aug 14;32(4):215-226. doi: 10.1055/s-0043-1771250. eCollection 2023 Dec.
2
Symptomatic Popliteal Artery Aneurysms in Recently SARS-CoV-2-Infected Patients: The Microangiopathic Thrombosis That Undermines Treatment.近期感染新型冠状病毒肺炎患者的症状性腘动脉瘤:破坏治疗的微血管病性血栓形成
Diagnostics (Basel). 2023 Feb 9;13(4):647. doi: 10.3390/diagnostics13040647.
3
Acute Limb Ischemia in COVID-19 Patients: A Single University Center Experience.

本文引用的文献

1
The "Vascular Surgery COVID-19 Collaborative" (VASCC).“血管外科 COVID-19 协作组”(VASCC)
Eur J Vasc Endovasc Surg. 2020 Sep;60(3):489-490. doi: 10.1016/j.ejvs.2020.07.072. Epub 2020 Jul 29.
2
Mortality and pulmonary complications in patients undergoing surgery with perioperative SARS-CoV-2 infection: an international cohort study.围手术期 SARS-CoV-2 感染患者的死亡率和肺部并发症:一项国际队列研究。
Lancet. 2020 Jul 4;396(10243):27-38. doi: 10.1016/S0140-6736(20)31182-X. Epub 2020 May 29.
3
Unheralded Lower limb threatening ischemia in a COVID-19 patient.
新冠病毒肺炎患者的急性肢体缺血:一所大学中心的单中心经验
Cureus. 2022 Dec 22;14(12):e32829. doi: 10.7759/cureus.32829. eCollection 2022 Dec.
4
SARS-CoV-2 Infection-Associated Aortic Thrombosis Treated with Oral Factor Xa Inhibition.口服Xa因子抑制剂治疗与SARS-CoV-2感染相关的主动脉血栓形成
Case Rep Hematol. 2022 Aug 25;2022:7805900. doi: 10.1155/2022/7805900. eCollection 2022.
5
Management of Acute Limb Ischaemia Due to COVID-19 Induced Arterial Thrombosis: A Multi-Centre Indian Experience.新冠病毒诱导的动脉血栓形成所致急性肢体缺血的管理:一项印度多中心经验
Ann Vasc Dis. 2022 Jun 25;15(2):113-120. doi: 10.3400/avd.oa.22-00012.
6
Management of acute aortoiliac arterial thrombosis in patients with the novel coronavirus disease 2019: A case series and systematic review of the literature.2019年新型冠状病毒病患者急性主-髂动脉血栓形成的管理:病例系列及文献系统评价
Ann Vasc Surg Brief Rep Innov. 2022 Sep;2(3):100105. doi: 10.1016/j.avsurg.2022.100105. Epub 2022 Jul 6.
7
Delayed acute upper limb ischaemia manifesting months after COVID-19 infection.新型冠状病毒肺炎感染数月后出现的迟发性急性上肢缺血。
Singapore Med J. 2023 Oct;64(10):620-623. doi: 10.11622/smedj.2021194.
8
Editor's Choice - Update of the European Society for Vascular Surgery (ESVS) 2020 Clinical Practice Guidelines on the Management of Acute Limb Ischaemia in Light of the COVID-19 Pandemic, Based on a Scoping Review of the Literature.编辑精选 - 鉴于 COVID-19 大流行,基于文献范围综述对 2020 年欧洲血管外科学会(ESVS)急性肢体缺血管理临床实践指南的更新
Eur J Vasc Endovasc Surg. 2022 Jan;63(1):80-89. doi: 10.1016/j.ejvs.2021.08.028. Epub 2021 Sep 6.
9
Acute limb ischemia among patients with COVID-19 infection.COVID-19 感染患者的急性肢体缺血。
J Vasc Surg. 2022 Jan;75(1):326-342. doi: 10.1016/j.jvs.2021.07.222. Epub 2021 Aug 12.
10
COVID-19 and peripheral arterial complications in people with diabetes and hypertension: A systematic review.COVID-19 与糖尿病和高血压患者外周动脉并发症:系统评价。
Diabetes Metab Syndr. 2021 Sep-Oct;15(5):102204. doi: 10.1016/j.dsx.2021.102204. Epub 2021 Jul 9.
COVID-19 患者出现未被察觉的下肢威胁性缺血。
Int J Infect Dis. 2020 Jul;96:590-592. doi: 10.1016/j.ijid.2020.05.060. Epub 2020 May 22.
4
Coagulation abnormalities and thrombosis in patients with COVID-19.新型冠状病毒肺炎患者的凝血异常与血栓形成
Lancet Haematol. 2020 Jun;7(6):e438-e440. doi: 10.1016/S2352-3026(20)30145-9. Epub 2020 May 11.
5
Acute limb ischemia in patients with COVID-19 pneumonia.新型冠状病毒肺炎患者的急性肢体缺血
J Vasc Surg. 2020 Dec;72(6):1864-1872. doi: 10.1016/j.jvs.2020.04.483. Epub 2020 Apr 29.
6
COVID-19 and its implications for thrombosis and anticoagulation.新型冠状病毒肺炎及其对血栓形成和抗凝的影响。
Blood. 2020 Jun 4;135(23):2033-2040. doi: 10.1182/blood.2020006000.
7
COVID-19 and Thrombotic or Thromboembolic Disease: Implications for Prevention, Antithrombotic Therapy, and Follow-Up: JACC State-of-the-Art Review.新型冠状病毒肺炎与血栓栓塞性疾病:预防、抗栓治疗与随访的相关问题:美国心脏病学会临床实践更新。
J Am Coll Cardiol. 2020 Jun 16;75(23):2950-2973. doi: 10.1016/j.jacc.2020.04.031. Epub 2020 Apr 17.
8
The Appropriate Use of Testing for COVID-19.新型冠状病毒肺炎检测的合理应用。
West J Emerg Med. 2020 Apr 13;21(3):470-472. doi: 10.5811/westjem.2020.4.47370.
9
Prominent changes in blood coagulation of patients with SARS-CoV-2 infection.SARS-CoV-2 感染患者凝血功能的显著变化。
Clin Chem Lab Med. 2020 Jun 25;58(7):1116-1120. doi: 10.1515/cclm-2020-0188.
10
Induction of pro-inflammatory cytokines (IL-1 and IL-6) and lung inflammation by Coronavirus-19 (COVI-19 or SARS-CoV-2): anti-inflammatory strategies.新型冠状病毒(COVI-19 或 SARS-CoV-2)诱导促炎细胞因子(IL-1 和 IL-6)和肺部炎症:抗炎策略。
J Biol Regul Homeost Agents. 2020;34(2):327-331. doi: 10.23812/CONTI-E.