• 文献检索
  • 文档翻译
  • 深度研究
  • 学术资讯
  • Suppr Zotero 插件Zotero 插件
  • 邀请有礼
  • 套餐&价格
  • 历史记录
应用&插件
Suppr Zotero 插件Zotero 插件浏览器插件Mac 客户端Windows 客户端微信小程序
定价
高级版会员购买积分包购买API积分包
服务
文献检索文档翻译深度研究API 文档MCP 服务
关于我们
关于 Suppr公司介绍联系我们用户协议隐私条款
关注我们

Suppr 超能文献

核心技术专利:CN118964589B侵权必究
粤ICP备2023148730 号-1Suppr @ 2026

文献检索

告别复杂PubMed语法,用中文像聊天一样搜索,搜遍4000万医学文献。AI智能推荐,让科研检索更轻松。

立即免费搜索

文件翻译

保留排版,准确专业,支持PDF/Word/PPT等文件格式,支持 12+语言互译。

免费翻译文档

深度研究

AI帮你快速写综述,25分钟生成高质量综述,智能提取关键信息,辅助科研写作。

立即免费体验

巨大胰腺假性囊肿:三例报告

Giant pseudocyst of the pancreas: A report of three cases.

作者信息

Igwe P O, Ray-Offor E, Karibi E N, Okeke U F, Ugwa O C, Jebbin N J

机构信息

Colorectal and Minimal Access, General Surgery Unit, Department of Surgery, University of Port Harcourt Teaching Hospital (UPTH), Port Harcourt, Rivers State, Nigeria.

Colorectal and Minimal Access, General Surgery Unit, Department of Surgery, University of Port Harcourt Teaching Hospital (UPTH), Port Harcourt, Rivers State, Nigeria.

出版信息

Int J Surg Case Rep. 2020;77:284-297. doi: 10.1016/j.ijscr.2020.10.110. Epub 2020 Nov 2.

DOI:10.1016/j.ijscr.2020.10.110
PMID:33190104
原文链接:https://pmc.ncbi.nlm.nih.gov/articles/PMC7672251/
Abstract

BACKGROUND

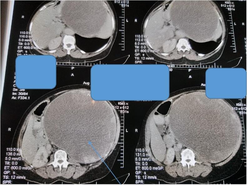
A Pancreatic pseudocyst is usually a complication of pancreatitis but may follow abdominal trauma in children. Giant pseudocysts are rare and usually complicate chronic pancreatitis.

AIM

To report 3 cases of giant pseudocysts of the pancreas managed in our Centre within a three-month-period.

CASE REPORTS

Two female patients aged 22 years and 65 years respectively, and an 11-year-old boy presented with giant pancreatic pseudocysts (>10 cm in diameter each) to our unit and were successfully managed. They all underwent exploratory laparotomy and cysto-gastrostomy with good outcome.

CONCLUSION

Giant pseudocysts of pancreas may not be as rare as they were thought to be. They can be effectively managed by cysto-gastrostomy.

摘要

背景

胰腺假性囊肿通常是胰腺炎的并发症,但在儿童中也可能继发于腹部创伤。巨大假性囊肿罕见,通常并发于慢性胰腺炎。

目的

报告我院中心在三个月内诊治的3例胰腺巨大假性囊肿病例。

病例报告

两名分别为22岁和65岁的女性患者以及一名11岁男孩因胰腺巨大假性囊肿(直径均>10 cm)前来我院就诊,并成功接受治疗。他们均接受了剖腹探查术和囊肿胃吻合术,效果良好。

结论

胰腺巨大假性囊肿可能并不像人们认为的那样罕见。囊肿胃吻合术可有效治疗该疾病。

https://cdn.ncbi.nlm.nih.gov/pmc/blobs/168c/7672251/7a4bb4e79881/gr17.jpg
https://cdn.ncbi.nlm.nih.gov/pmc/blobs/168c/7672251/f3be0688b974/gr1.jpg
https://cdn.ncbi.nlm.nih.gov/pmc/blobs/168c/7672251/01f852598d75/gr2.jpg
https://cdn.ncbi.nlm.nih.gov/pmc/blobs/168c/7672251/b164123dae35/gr3.jpg
https://cdn.ncbi.nlm.nih.gov/pmc/blobs/168c/7672251/9d5bee98c0d5/gr4.jpg
https://cdn.ncbi.nlm.nih.gov/pmc/blobs/168c/7672251/859ea6b01b88/gr5.jpg
https://cdn.ncbi.nlm.nih.gov/pmc/blobs/168c/7672251/6ca3e09d4230/gr6.jpg
https://cdn.ncbi.nlm.nih.gov/pmc/blobs/168c/7672251/320512256485/gr7.jpg
https://cdn.ncbi.nlm.nih.gov/pmc/blobs/168c/7672251/84ac85b61ab4/gr8.jpg
https://cdn.ncbi.nlm.nih.gov/pmc/blobs/168c/7672251/970b6ca31735/gr9.jpg
https://cdn.ncbi.nlm.nih.gov/pmc/blobs/168c/7672251/2c69d71e9971/gr10.jpg
https://cdn.ncbi.nlm.nih.gov/pmc/blobs/168c/7672251/0060b3b07ff8/gr11.jpg
https://cdn.ncbi.nlm.nih.gov/pmc/blobs/168c/7672251/7b57d9882562/gr12.jpg
https://cdn.ncbi.nlm.nih.gov/pmc/blobs/168c/7672251/a6b84938f5ee/gr13.jpg
https://cdn.ncbi.nlm.nih.gov/pmc/blobs/168c/7672251/2a5eb54c0f4d/gr14.jpg
https://cdn.ncbi.nlm.nih.gov/pmc/blobs/168c/7672251/f81bb17fe857/gr15.jpg
https://cdn.ncbi.nlm.nih.gov/pmc/blobs/168c/7672251/7d2a130d944c/gr16.jpg
https://cdn.ncbi.nlm.nih.gov/pmc/blobs/168c/7672251/7a4bb4e79881/gr17.jpg
https://cdn.ncbi.nlm.nih.gov/pmc/blobs/168c/7672251/f3be0688b974/gr1.jpg
https://cdn.ncbi.nlm.nih.gov/pmc/blobs/168c/7672251/01f852598d75/gr2.jpg
https://cdn.ncbi.nlm.nih.gov/pmc/blobs/168c/7672251/b164123dae35/gr3.jpg
https://cdn.ncbi.nlm.nih.gov/pmc/blobs/168c/7672251/9d5bee98c0d5/gr4.jpg
https://cdn.ncbi.nlm.nih.gov/pmc/blobs/168c/7672251/859ea6b01b88/gr5.jpg
https://cdn.ncbi.nlm.nih.gov/pmc/blobs/168c/7672251/6ca3e09d4230/gr6.jpg
https://cdn.ncbi.nlm.nih.gov/pmc/blobs/168c/7672251/320512256485/gr7.jpg
https://cdn.ncbi.nlm.nih.gov/pmc/blobs/168c/7672251/84ac85b61ab4/gr8.jpg
https://cdn.ncbi.nlm.nih.gov/pmc/blobs/168c/7672251/970b6ca31735/gr9.jpg
https://cdn.ncbi.nlm.nih.gov/pmc/blobs/168c/7672251/2c69d71e9971/gr10.jpg
https://cdn.ncbi.nlm.nih.gov/pmc/blobs/168c/7672251/0060b3b07ff8/gr11.jpg
https://cdn.ncbi.nlm.nih.gov/pmc/blobs/168c/7672251/7b57d9882562/gr12.jpg
https://cdn.ncbi.nlm.nih.gov/pmc/blobs/168c/7672251/a6b84938f5ee/gr13.jpg
https://cdn.ncbi.nlm.nih.gov/pmc/blobs/168c/7672251/2a5eb54c0f4d/gr14.jpg
https://cdn.ncbi.nlm.nih.gov/pmc/blobs/168c/7672251/f81bb17fe857/gr15.jpg
https://cdn.ncbi.nlm.nih.gov/pmc/blobs/168c/7672251/7d2a130d944c/gr16.jpg
https://cdn.ncbi.nlm.nih.gov/pmc/blobs/168c/7672251/7a4bb4e79881/gr17.jpg

相似文献

1
Giant pseudocyst of the pancreas: A report of three cases.巨大胰腺假性囊肿:三例报告
Int J Surg Case Rep. 2020;77:284-297. doi: 10.1016/j.ijscr.2020.10.110. Epub 2020 Nov 2.
2
Giant Pseudocyst of the Pancreas: A Case Report.胰腺巨大假性囊肿:一例报告
Cureus. 2022 Sep 22;14(9):e29456. doi: 10.7759/cureus.29456. eCollection 2022 Sep.
3
Inpatient Management and Treatment of a Giant Pancreatic Pseudocyst: A Case Report.巨大胰腺假性囊肿的住院管理与治疗:一例报告
Cureus. 2021 Nov 29;13(11):e19990. doi: 10.7759/cureus.19990. eCollection 2021 Nov.
4
[The pancreatic pseudocyst--late complication of the severe acute pancreatitis. Therapeutic options].[胰腺假性囊肿——重症急性胰腺炎的晚期并发症。治疗选择]
Chirurgia (Bucur). 2006 May-Jun;101(3):259-65.
5
Laparoscopic endogastric pseudocyst gastrostomy: a report of three cases.腹腔镜内胃假性囊肿胃造口术:三例报告
Surg Laparosc Endosc Percutan Tech. 2002 Dec;12(6):437-40. doi: 10.1097/00129689-200212000-00010.
6
A case report of giant pancreatic pseudocyst following acute pancreatitis: experience with endoscopic internal drainage.急性胰腺炎后巨大胰腺假性囊肿病例报告:内镜下内引流经验
BMC Res Notes. 2018 Apr 27;11(1):262. doi: 10.1186/s13104-018-3375-9.
7
Mucinous cystadenoma of the pancreas associated with acute pancreatitis and concurrent pancreatic pseudocyst.胰腺黏液性囊腺瘤伴急性胰腺炎及并发胰腺假性囊肿
Am Surg. 2005 Apr;71(4):292-7.
8
Pancreatic pseudocysts in children: treatment by endoscopic cyst gastrostomy.儿童胰腺假性囊肿:内镜囊肿胃造口术治疗。
J Pediatr Gastroenterol Nutr. 2012 Nov;55(5):556-8. doi: 10.1097/MPG.0b013e3182574fc9.
9
Trivial injury with devastating complication-A case of pediatric pancreatic pseudocyst.
Clin Case Rep. 2023 Jun 1;11(6):e7271. doi: 10.1002/ccr3.7271. eCollection 2023 Jun.
10
[Hemorrhage from pseudocysts caused by pseudoaneurysms in chronic pancreatitis. Diagnosis and management].[慢性胰腺炎中假性动脉瘤所致假性囊肿出血。诊断与处理]
Helv Chir Acta. 1993 Jun;59(5-6):785-9.

引用本文的文献

1
Giant hemorrhagic pancreatic pseudocyst with suspected cystic pancreatic tumor: a case report.巨大出血性胰腺假性囊肿合并疑似胰腺囊性肿瘤:一例报告
J Surg Case Rep. 2024 Jun 3;2024(6):rjae393. doi: 10.1093/jscr/rjae393. eCollection 2024 Jun.
2
A case report of gastroduodenal artery pseudoaneurysm and giant pancreatic pseudocyst following acute pancreatitis revealed by obstructive jaundice.一例急性胰腺炎后胃十二指肠动脉假性动脉瘤和巨大胰腺假性囊肿病例报告,由梗阻性黄疸发现。
SAGE Open Med Case Rep. 2023 Jul 29;11:2050313X231188885. doi: 10.1177/2050313X231188885. eCollection 2023.
3
Spontaneous Rupture and Hemorrhage of WON: A Case Report.

本文引用的文献

1
The PROCESS 2018 statement: Updating Consensus Preferred Reporting Of CasE Series in Surgery (PROCESS) guidelines.PROCESS 2018 声明:更新外科手术病例系列报告的共识首选报告规范(PROCESS)指南。
Int J Surg. 2018 Dec;60:279-282. doi: 10.1016/j.ijsu.2018.10.031. Epub 2018 Oct 22.
2
The SCARE 2018 statement: Updating consensus Surgical CAse REport (SCARE) guidelines.SCARE 2018 声明:更新共识手术病例报告(SCARE)指南。
Int J Surg. 2018 Dec;60:132-136. doi: 10.1016/j.ijsu.2018.10.028. Epub 2018 Oct 18.
3
Management of pancreatic fluid collections: A comprehensive review of the literature.
胰腺坏死组织感染性坏死自发破裂并出血:一例报告
Front Surg. 2022 Jun 23;9:906520. doi: 10.3389/fsurg.2022.906520. eCollection 2022.
4
A rare case of pediatric pancreatic pseudocyst.小儿胰腺假性囊肿1例罕见病例。
Clin Case Rep. 2022 May 15;10(5):e05879. doi: 10.1002/ccr3.5879. eCollection 2022 May.
5
Inpatient Management and Treatment of a Giant Pancreatic Pseudocyst: A Case Report.巨大胰腺假性囊肿的住院管理与治疗:一例报告
Cureus. 2021 Nov 29;13(11):e19990. doi: 10.7759/cureus.19990. eCollection 2021 Nov.
6
Idiopathic giant pancreatic pseudocyst presenting in emergency with abdominal compartment syndrome and intestinal occlusion: Case report and review of the literature.以腹腔间隔室综合征和肠梗阻为急诊表现的特发性巨大胰腺假性囊肿:病例报告及文献复习
Int J Surg Case Rep. 2021 Apr;81:105812. doi: 10.1016/j.ijscr.2021.105812. Epub 2021 Mar 26.
胰液积聚的管理:文献综述
World J Gastroenterol. 2016 Feb 21;22(7):2256-70. doi: 10.3748/wjg.v22.i7.2256.
4
A giant pancreatic pseudocyst treated by cystogastrostomy.经胃囊肿造口术治疗的巨大胰腺假性囊肿。
BMJ Case Rep. 2015 Mar 24;2015:bcr2014207271. doi: 10.1136/bcr-2014-207271.
5
Outcomes of EUS-guided drainage of debris-containing pancreatic pseudocysts by using combined endoprosthesis and a nasocystic drain.EUS 引导下联合内置支架和经鼻囊腔引流治疗含碎屑胰腺假性囊肿的结果。
Gastrointest Endosc. 2013 Oct;78(4):589-95. doi: 10.1016/j.gie.2013.03.1337. Epub 2013 May 6.
6
Classification of acute pancreatitis--2012: revision of the Atlanta classification and definitions by international consensus.急性胰腺炎的分类-2012:亚特兰大分类修订和国际共识定义。
Gut. 2013 Jan;62(1):102-11. doi: 10.1136/gutjnl-2012-302779. Epub 2012 Oct 25.
7
A giant pancreatic pseudocyst in a patient with HIV infection.
J Int Assoc Physicians AIDS Care (Chic). 2012 Jul-Aug;11(4):227-9. doi: 10.1177/1545109712444164. Epub 2012 May 2.
8
Giant pancreatic pseudocyst.巨大胰腺假性囊肿
J Coll Physicians Surg Pak. 2012 May;22(5):325-7.
9
Peritonitis secondary to traumatic duodenal laceration in the presence of a large pancreatic pseudocyst: a case report.巨大胰腺假性囊肿存在时外伤性十二指肠撕裂继发腹膜炎:一例报告
J Med Case Rep. 2011 Oct 26;5:528. doi: 10.1186/1752-1947-5-528.
10
Recurrent pancreatic pseudocyst diagnosed 9 years after initial surgical drainage.初次手术引流9年后诊断为复发性胰腺假性囊肿。
JOP. 2011 May 6;12(3):274-8.