Suppr超能文献

胰腺坏死组织感染性坏死自发破裂并出血:一例报告

Spontaneous Rupture and Hemorrhage of WON: A Case Report.

作者信息

Yan Jican, Yu Wenhao, Yan Jingxin, Guo Xinjian, Hou Lizhao, Ren Li, Fan Haining

机构信息

Department of Hepatopancreatobiliary Surgery, Qinghai University Affiliated Hospital, Xining, China.

Department of Postgraduate, Qinghai University, Xining, China.

出版信息

Front Surg. 2022 Jun 23;9:906520. doi: 10.3389/fsurg.2022.906520. eCollection 2022.

Abstract

BACKGROUND

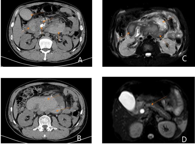
Pancreatic pseudocysts are characterized by the leakage of pancreatic juice caused by various reasons, which leads to pancreatic juice accumulates around the pancreas, and stimulates the greater omentum and other tissues to form an area of fibrotic loculated effusion with an integrated capsule. Approximately, one-third of patients experienced recurrent pancreatic juice leakage, compression symptoms, infection, and bleeding, which requires surgical intervention, but spontaneous rupture cases are extremely rare.

CASE PRESENTATION

We here present the case of 40-year-old male who presented with abdominal pain and vomiting for two days and 10 h, respectively. He had a history of chronic pancreatitis and pseudocysts. The symptoms of abdominal pain worsened in the second day. Laboratory tests showed a progressive decrease in hemoglobin. Then, emergency pancreatoduodenectomy was performed. Intraoperative exploration found a small blood clot in the abdominal cavity and a hematoma that had formed in the intestinal cavity and retroperitoneum.

CONCLUSION

This case showed that pseudocysts of the pancreas can rupture under certain circumstances, leading to intraperitoneal bleeding and hematoma formation, which can endanger the life of the patient. And surgical treatment can be the first choice for hemorrhagic pseudocysts.

摘要

背景

胰腺假性囊肿的特征是由各种原因导致胰液渗漏,致使胰液在胰腺周围积聚,并刺激大网膜等组织形成一个有完整包膜的纤维性分隔积液区域。大约三分之一的患者会出现胰液反复渗漏、压迫症状、感染和出血,这需要手术干预,但自发破裂的病例极为罕见。

病例介绍

我们在此呈现一名40岁男性的病例,他分别出现了两天和10小时的腹痛及呕吐症状。他有慢性胰腺炎和假性囊肿病史。第二天腹痛症状加重。实验室检查显示血红蛋白逐渐下降。随后,进行了急诊胰十二指肠切除术。术中探查发现腹腔内有一个小血块,肠腔和腹膜后形成了血肿。

结论

该病例表明胰腺假性囊肿在某些情况下可能破裂,导致腹腔内出血和血肿形成,这可能危及患者生命。手术治疗可为出血性假性囊肿的首选。

https://cdn.ncbi.nlm.nih.gov/pmc/blobs/dbad/9276918/ebeaae58a8c9/fsurg-09-906520-g001.jpg

文献AI研究员

20分钟写一篇综述,助力文献阅读效率提升50倍。

立即体验

用中文搜PubMed

大模型驱动的PubMed中文搜索引擎

马上搜索

文档翻译

学术文献翻译模型,支持多种主流文档格式。

立即体验