Suppr超能文献

非典型出血性胶体囊肿:2例报告、手术治疗及文献复习

Atypical haemorrhagic colloid cyst: 2 case reports surgical management and review of literature.

作者信息

Al-Saiari Sultan Ali, Abdoh Mohammad Ghazi, Farag Ahmed A, Al-Orabi Khalid Mohammed, Rawah Elham Abdulmalik, Brinji Zaina Siraj, Mohammed Tahira Hamid Khalid, Khoudir Mohamed A

机构信息

Neurosurgery Department, King Abdullah Medical City in Holy Capital, Saudi Arabia.

Neuroradiology Department, King Abdullah Medical City in Holy Capital, Saudi Arabia.

出版信息

Int J Surg Case Rep. 2020;76:435-440. doi: 10.1016/j.ijscr.2020.10.026. Epub 2020 Oct 16.

Abstract

INTRODUCTION

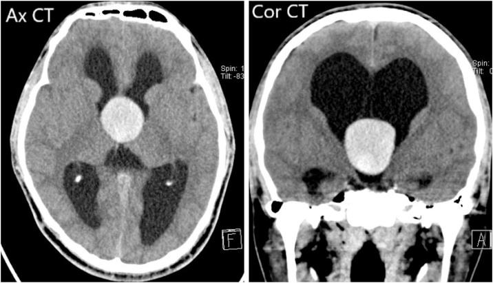
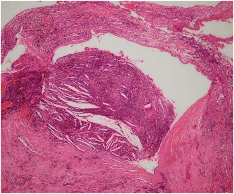
Colloid cysts are benign cystic lesions located at the anterior part of the third ventricle mostly at the foramen of Monro and contain colloid material. Hemorrhage in a colloid cyst is exceedingly rare. Only 15 clinically diagnosed cases of haemorrhagic cysts were reported in the literature and 5 more cases on autopsy. Here we report two rare cases of a haemorrhagic colloid cyst describing the atypical radiological findings, the undertaken surgical procedures and histopathological results.

PRESENTATION OF CASES

We presented 2 cases of haemorrhagic third ventricle colloid cysts. First case is a 27-year-old male patient, presented with dizziness, nausea, vomiting and blurring of vision. He was operated by transcortical endoscopic transventricular excision of a third ventricular cyst and the insertion of external ventricular drain. The second patient is a 21-year-old male, presented with history of worsening headache for 1 month associated with blurring of vision. The patient had a transcortical microscopic, transventricular cyst excision.

DISCUSSION

Many questions regarding the best way to diagnose and manage such lesions remain unanswered. Hence, we summarize the relevant diagnostic images and best surgical techniques.

CONCLUSION

We concluded that, though exceedingly rare, colloid cyst can bleed and cause rapid deterioration in neurological status, thus, presence of atypical features should alert the physicians to consider atypical colloid cyst that would be valuable in surgical decision making whether endoscopic or microscopic.

摘要

引言

胶样囊肿是位于第三脑室前部的良性囊性病变,大多位于孟氏孔,内含胶样物质。胶样囊肿出血极为罕见。文献中仅报道了15例临床诊断的出血性囊肿病例,尸检中又发现5例。在此,我们报告两例罕见的出血性胶样囊肿病例,描述其非典型影像学表现、所采取的手术方式及组织病理学结果。

病例介绍

我们展示了2例第三脑室出血性胶样囊肿病例。第一例是一名27岁男性患者,表现为头晕、恶心、呕吐及视力模糊。他接受了经皮质内镜经脑室第三脑室囊肿切除术及外置脑室引流管置入术。第二例患者是一名21岁男性,有1个月头痛加重病史,伴有视力模糊。该患者接受了经皮质显微镜下经脑室囊肿切除术。

讨论

关于此类病变的最佳诊断和治疗方法仍有许多问题未得到解答。因此,我们总结了相关的诊断影像及最佳手术技术。

结论

我们得出结论,尽管极为罕见,但胶样囊肿可出血并导致神经功能状态迅速恶化,因此,非典型特征的出现应提醒医生考虑非典型胶样囊肿,这对于内镜或显微镜手术决策具有重要价值。

https://cdn.ncbi.nlm.nih.gov/pmc/blobs/7208/7586049/51e20da8a7cb/gr1.jpg

文献检索

告别复杂PubMed语法,用中文像聊天一样搜索,搜遍4000万医学文献。AI智能推荐,让科研检索更轻松。

立即免费搜索

文件翻译

保留排版,准确专业,支持PDF/Word/PPT等文件格式,支持 12+语言互译。

免费翻译文档

深度研究

AI帮你快速写综述,25分钟生成高质量综述,智能提取关键信息,辅助科研写作。

立即免费体验