• 文献检索
  • 文档翻译
  • 深度研究
  • 学术资讯
  • Suppr Zotero 插件Zotero 插件
  • 邀请有礼
  • 套餐&价格
  • 历史记录
应用&插件
Suppr Zotero 插件Zotero 插件浏览器插件Mac 客户端Windows 客户端微信小程序
定价
高级版会员购买积分包购买API积分包
服务
文献检索文档翻译深度研究API 文档MCP 服务
关于我们
关于 Suppr公司介绍联系我们用户协议隐私条款
关注我们

Suppr 超能文献

核心技术专利:CN118964589B侵权必究
粤ICP备2023148730 号-1Suppr @ 2026

文献检索

告别复杂PubMed语法,用中文像聊天一样搜索,搜遍4000万医学文献。AI智能推荐,让科研检索更轻松。

立即免费搜索

文件翻译

保留排版,准确专业,支持PDF/Word/PPT等文件格式,支持 12+语言互译。

免费翻译文档

深度研究

AI帮你快速写综述,25分钟生成高质量综述,智能提取关键信息,辅助科研写作。

立即免费体验

两只相关猫的全身感染

Systemic Infection in Two Related Cats.

作者信息

Černá Petra, Mitchell Jordan L, Lodzinska Joanna, Cazzini Paola, Varjonen Katarina, Gunn-Moore Danièlle A

机构信息

Department of Clinical Sciences, Colorado State University, Fort Collins, Colorado, CO 80528, USA.

The University of Veterinary and Pharmaceutical Sciences Brno, 612 42 Brno, Czech Republic.

出版信息

Pathogens. 2020 Nov 18;9(11):959. doi: 10.3390/pathogens9110959.

DOI:10.3390/pathogens9110959
PMID:33218094
原文链接:https://pmc.ncbi.nlm.nih.gov/articles/PMC7698836/
Abstract

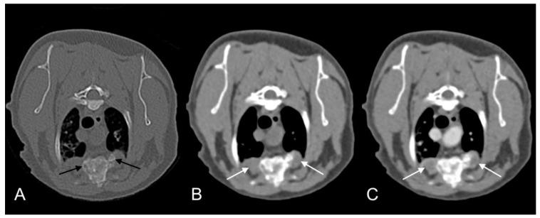
Mycobacterial infections are a major concern in veterinary medicine because of the difficulty achieving an etiological diagnosis, the challenges and concerns of treatment, and the potential zoonotic risk. , a slow-growing non-tuberculous mycobacteria, causes disease in both humans and animals. While infections have been well described in humans, where it may be misdiagnosed as tuberculosis, there are fewer reports in animals. Only four cases have been reported in the domestic cat. This case report describes systemic infection in two sibling indoor-only cats that presented two and half years apart with cutaneous disease that was found to be associated with osteolytic and pulmonary pathology. Infection with was confirmed in both cats by polymerase chain reaction on fine-needle aspirate of a lumbosacral soft tissue mass in one cat and on a tissue punch biopsy of a skin lesion in the other; interferon-gamma release assay inferred -complex and -complex infection in the two cats, respectively. Both patients made a full recovery following antimicrobial therapy with rifampicin, azithromycin, and pradofloxacin (plus N-acetyl cysteine in cat 2). This report highlights successful treatment of systemic mycobacteriosis in the cat and the challenge of accurately diagnosing this infection.

摘要

分枝杆菌感染是兽医学中的一个主要问题,因为病因诊断困难、治疗面临挑战且存在人畜共患病风险。,一种生长缓慢的非结核分枝杆菌,可导致人类和动物患病。虽然人类感染已有详细描述,可能被误诊为结核病,但动物感染的报道较少。家猫中仅报道过4例。本病例报告描述了两只同窝的室内猫的全身感染,它们分别在两年半的时间里出现皮肤疾病,并伴有溶骨性和肺部病变。通过对一只猫腰骶部软组织肿块的细针穿刺抽吸物以及另一只猫皮肤病变的组织块活检进行聚合酶链反应,证实两只猫均感染了。干扰素-γ释放试验分别推断两只猫感染了-复合体和-复合体。两只猫在接受利福平、阿奇霉素和普拉德氟沙星抗菌治疗(猫2加用N-乙酰半胱氨酸)后均完全康复。本报告强调了猫全身分枝杆菌病的成功治疗以及准确诊断这种感染的挑战。

https://cdn.ncbi.nlm.nih.gov/pmc/blobs/a37f/7698836/820fcb21af1e/pathogens-09-00959-g009.jpg
https://cdn.ncbi.nlm.nih.gov/pmc/blobs/a37f/7698836/07b96d5c8dbe/pathogens-09-00959-g001.jpg
https://cdn.ncbi.nlm.nih.gov/pmc/blobs/a37f/7698836/0d7e5534afc1/pathogens-09-00959-g002.jpg
https://cdn.ncbi.nlm.nih.gov/pmc/blobs/a37f/7698836/91a6297f85da/pathogens-09-00959-g003.jpg
https://cdn.ncbi.nlm.nih.gov/pmc/blobs/a37f/7698836/4acaf452fba5/pathogens-09-00959-g004.jpg
https://cdn.ncbi.nlm.nih.gov/pmc/blobs/a37f/7698836/263e83a9f605/pathogens-09-00959-g005.jpg
https://cdn.ncbi.nlm.nih.gov/pmc/blobs/a37f/7698836/f540428a858b/pathogens-09-00959-g006.jpg
https://cdn.ncbi.nlm.nih.gov/pmc/blobs/a37f/7698836/c47d9a6a9482/pathogens-09-00959-g007.jpg
https://cdn.ncbi.nlm.nih.gov/pmc/blobs/a37f/7698836/d72003a70d1c/pathogens-09-00959-g008.jpg
https://cdn.ncbi.nlm.nih.gov/pmc/blobs/a37f/7698836/820fcb21af1e/pathogens-09-00959-g009.jpg
https://cdn.ncbi.nlm.nih.gov/pmc/blobs/a37f/7698836/07b96d5c8dbe/pathogens-09-00959-g001.jpg
https://cdn.ncbi.nlm.nih.gov/pmc/blobs/a37f/7698836/0d7e5534afc1/pathogens-09-00959-g002.jpg
https://cdn.ncbi.nlm.nih.gov/pmc/blobs/a37f/7698836/91a6297f85da/pathogens-09-00959-g003.jpg
https://cdn.ncbi.nlm.nih.gov/pmc/blobs/a37f/7698836/4acaf452fba5/pathogens-09-00959-g004.jpg
https://cdn.ncbi.nlm.nih.gov/pmc/blobs/a37f/7698836/263e83a9f605/pathogens-09-00959-g005.jpg
https://cdn.ncbi.nlm.nih.gov/pmc/blobs/a37f/7698836/f540428a858b/pathogens-09-00959-g006.jpg
https://cdn.ncbi.nlm.nih.gov/pmc/blobs/a37f/7698836/c47d9a6a9482/pathogens-09-00959-g007.jpg
https://cdn.ncbi.nlm.nih.gov/pmc/blobs/a37f/7698836/d72003a70d1c/pathogens-09-00959-g008.jpg
https://cdn.ncbi.nlm.nih.gov/pmc/blobs/a37f/7698836/820fcb21af1e/pathogens-09-00959-g009.jpg

相似文献

1
Systemic Infection in Two Related Cats.两只相关猫的全身感染
Pathogens. 2020 Nov 18;9(11):959. doi: 10.3390/pathogens9110959.
2
[Treatment of non-tuberculous pulmonary mycobacteriosis].[非结核分枝杆菌肺病的治疗]
Kekkaku. 2006 Jan;81(1):35-50.
3
[Non-tuberculous mycobacteriosis. What has been coming out].[非结核分枝杆菌病。最新进展]
Kekkaku. 2011 Feb;86(2):113-25.
4
Diagnostic accuracy of the interferon-gamma release assay (IGRA) for cases of feline mycobacteriosis.猫分枝杆菌病病例中干扰素-γ释放试验(IGRA)的诊断准确性。
Prev Vet Med. 2021 Aug;193:105409. doi: 10.1016/j.prevetmed.2021.105409. Epub 2021 Jun 8.
5
Cutaneous Manifestations of Infection.感染的皮肤表现
Curr Trop Med Rep. 2018 Dec;5(4):224-227. doi: 10.1007/s40475-018-0160-8. Epub 2018 Aug 6.
6
Human pathogenic (former subtype I) with zoonotic potential isolated from a diseased indoor pet cat, Japan.从一只患病的家养宠物猫身上分离出的具有人畜共患潜力的人类病原(原 I 型),日本。
Emerg Microbes Infect. 2021 Dec;10(1):220-222. doi: 10.1080/22221751.2021.1878935.
7
Interferon Gamma Release Assays in Patients with Respiratory Isolates of Non-Tuberculous Mycobacteria - a Preliminary Study.非结核分枝杆菌呼吸道分离株患者的干扰素γ释放试验——一项初步研究
Pol J Microbiol. 2019;68(1):15-19. doi: 10.21307/pjm-2019-002.
8
Cutaneous Mycobacterial Infections.皮肤分枝杆菌感染。
Clin Microbiol Rev. 2018 Nov 14;32(1). doi: 10.1128/CMR.00069-18. Print 2018 Jan.
9
Feline Ocular Mycobacteriosis: Clinical Presentation, Histopathological Features, and Outcome.猫眼部分枝杆菌病:临床症状、组织病理学特征和结果。
Vet Pathol. 2019 Sep;56(5):749-760. doi: 10.1177/0300985819844819. Epub 2019 May 27.
10
Identification of mycobacterial DNA in cutaneous lesions of sarcoidosis.结节病皮肤病变中分枝杆菌DNA的鉴定。
J Cutan Pathol. 1999 Jul;26(6):271-8. doi: 10.1111/j.1600-0560.1999.tb01844.x.

引用本文的文献

1
Case Report: Mycobacterial epidural pyogranulomatous steatitis in a cat.病例报告:猫的分枝杆菌性硬膜外脓性肉芽肿性脂肪炎
Front Vet Sci. 2025 Jun 4;12:1610313. doi: 10.3389/fvets.2025.1610313. eCollection 2025.
2
Infection in a Farmed White-Tailed Deer () in Florida, USA.美国佛罗里达州一只人工养殖的白尾鹿感染病例
Animals (Basel). 2024 May 20;14(10):1511. doi: 10.3390/ani14101511.
3
Unusual Presentation of Feline Leprosy Caused by in the Alpine Region.高山地区由[未提及具体病因]引起的猫麻风的不寻常表现。 (注:原文中“in the Alpine Region”前缺少引发猫麻风的具体因素,翻译只能按现有内容尽量准确呈现)

本文引用的文献

1
Human pathogenic (former subtype I) with zoonotic potential isolated from a diseased indoor pet cat, Japan.从一只患病的家养宠物猫身上分离出的具有人畜共患潜力的人类病原(原 I 型),日本。
Emerg Microbes Infect. 2021 Dec;10(1):220-222. doi: 10.1080/22221751.2021.1878935.
2
Genomic Insights Into the Complex: An Update.关于该复合体的基因组学见解:最新进展
Front Microbiol. 2020 Jan 15;10:2918. doi: 10.3389/fmicb.2019.02918. eCollection 2019.
3
Cat-to-Human Transmission of Mycobacterium bovis, United Kingdom.牛分枝杆菌在猫与人之间的传播,英国。
Pathogens. 2021 Jun 1;10(6):687. doi: 10.3390/pathogens10060687.
4
Human pathogenic (former subtype I) with zoonotic potential isolated from a diseased indoor pet cat, Japan.从一只患病的家养宠物猫身上分离出的具有人畜共患潜力的人类病原(原 I 型),日本。
Emerg Microbes Infect. 2021 Dec;10(1):220-222. doi: 10.1080/22221751.2021.1878935.
Emerg Infect Dis. 2019 Dec;25(12):2284-2286. doi: 10.3201/eid2512.190012.
4
Control of paratuberculosis: who, why and how. A review of 48 countries.副结核病的防控:何人、为何及如何防控。对48个国家的综述
BMC Vet Res. 2019 Jun 13;15(1):198. doi: 10.1186/s12917-019-1943-4.
5
Tuberculosis due to in pet cats associated with feeding a commercial raw food diet.宠物猫因食用商业生食饮食而感染结核病。 (你提供的原文“due to ”中间有缺失内容,我按合理推测翻译,若有错误请指出)
J Feline Med Surg. 2019 Aug;21(8):667-681. doi: 10.1177/1098612X19848455. Epub 2019 May 13.
6
in pets.在宠物身上。
Vet Rec. 2018 Nov 10;183(18):571. doi: 10.1136/vr.k4689.
7
Outbreak of tuberculosis caused by Mycobacterium bovis in a cattery of Abyssinian cats in Italy.意大利一家阿比西尼亚猫舍暴发由牛分枝杆菌引起的肺结核。
Transbound Emerg Dis. 2019 Jan;66(1):250-258. doi: 10.1111/tbed.13010. Epub 2018 Nov 1.
8
Disseminated mycobacteriosis caused by Mycobacterium kansasii in a pot-bellied pig.一只大肚猪感染堪萨斯分枝杆菌引起的播散性分枝杆菌病。
J Vet Diagn Invest. 2018 Jul;30(4):646-650. doi: 10.1177/1040638718780189. Epub 2018 Jun 1.
9
Molecular typing of Mycobacterium kansasii using pulsed-field gel electrophoresis and a newly designed variable-number tandem repeat analysis.应用脉冲场凝胶电泳和新设计的可变数目串联重复序列分析对堪萨斯分枝杆菌进行分子分型。
Sci Rep. 2018 Mar 13;8(1):4462. doi: 10.1038/s41598-018-21562-z.
10
Use of computed tomography imaging during long-term follow-up of nine feline tuberculosis cases.九例猫结核病病例长期随访期间计算机断层扫描成像的应用
J Feline Med Surg. 2018 Feb;20(2):189-199. doi: 10.1177/1098612X17699476. Epub 2017 Mar 23.