Suppr超能文献

过量饮酒所致的博雷尔哈夫综合征:两例病例报告。

Boerhaave syndrome due to excessive alcohol consumption: two case reports.

作者信息

Haba Yuichiro, Yano Shungo, Akizuki Hikaru, Hashimoto Takashi, Naito Toshio, Hashiguchi Naoyuki

机构信息

Department of General Medicine, Juntendo University School of Medicine, 2-1-1 Hongo, Bunkyo-ku, Tokyo, 113-8421, Japan.

Department of Emergency and Disaster Medicine, Juntendo University School of Medicine, 2-1-1 Hongo, Bunkyo-ku, Tokyo, 113-8421, Japan.

出版信息

Int J Emerg Med. 2020 Nov 30;13(1):56. doi: 10.1186/s12245-020-00318-5.

Abstract

BACKGROUND

Spontaneous esophageal rupture, or Boerhaave syndrome, is a fatal disorder caused by an elevated esophageal pressure owing to forceful vomiting. Patients with Boerhaave syndrome often present with chest pain, dyspnea, and shock. We report on two patients of Boerhaave syndrome with different severities that was triggered by excessive alcohol consumption and was diagnosed immediately in the emergency room.

CASE PRESENTATION

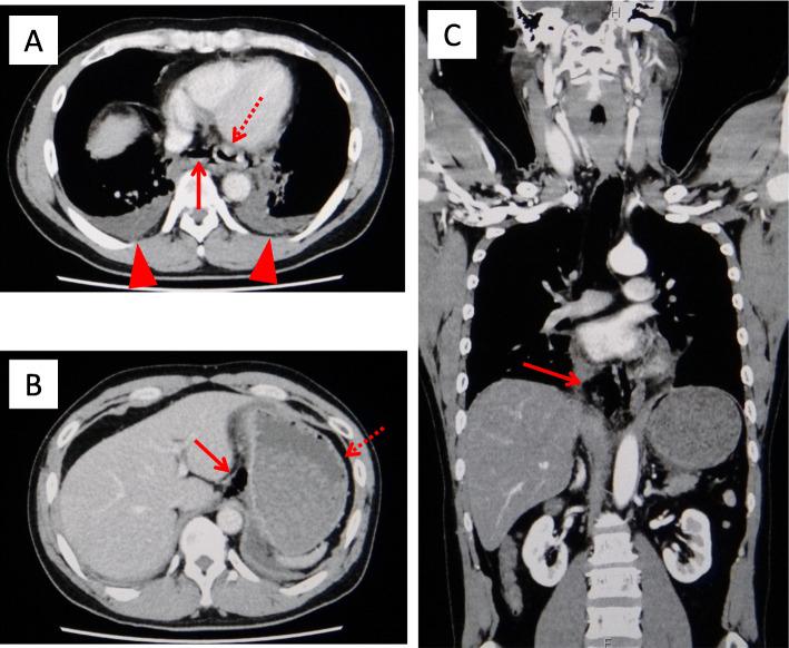
The patient in case 1 complained of severe chest pain and nausea and vomited on arrival at the hospital. He was subsequently diagnosed with Boerhaave syndrome coupled with mediastinitis using computed tomography (CT) and esophagogram. An emergency operation was successfully performed, in which a 3-cm tear was found on the left posterior wall of the distal esophagus. The patient subsequently had anastomotic leakage but was discharged 41 days later. The patient in case 2 complained of severe chest pain, nausea, vomiting, and hematemesis on arrival. He was suggested of having Boerhaave syndrome without mediastinitis on CT. The symptoms gradually disappeared after conservative treatment. Upper gastrointestinal endoscopy performed on the ninth day revealed a scar on the left wall of the distal esophagus. The patient was discharged 11 days later. In addition to the varying severity between the cases, the patient in case 2 was initially considered to have Mallory-Weiss syndrome.

CONCLUSION

Owing to similar histories and symptoms, Boerhaave syndrome and Mallory-Weiss syndrome must be accurately distinguished by emergency clinicians. CT can be a useful modality to detect any severity of Boerhaave syndrome and also offers the possibility to distinguish Boerhaave syndrome from Mallory-Weiss syndrome.

摘要

背景

自发性食管破裂,即Boerhaave综合征,是一种因剧烈呕吐导致食管压力升高而引发的致命性疾病。Boerhaave综合征患者常表现为胸痛、呼吸困难和休克。我们报告了两名因过量饮酒引发的不同严重程度的Boerhaave综合征患者,他们在急诊室被立即诊断出来。

病例介绍

病例1中的患者在入院时主诉严重胸痛、恶心并呕吐。随后通过计算机断层扫描(CT)和食管造影被诊断为Boerhaave综合征合并纵隔炎。成功进行了急诊手术,术中发现食管远端后壁有一处3厘米的撕裂口。该患者随后出现吻合口漏,但在41天后出院。病例2中的患者在入院时主诉严重胸痛、恶心、呕吐和呕血。CT检查提示其患有Boerhaave综合征但无纵隔炎。保守治疗后症状逐渐消失。在第9天进行的上消化道内镜检查显示食管远端左壁有一处瘢痕。该患者在11天后出院。除了病例之间严重程度不同外,病例2中的患者最初被认为患有马洛里-魏斯综合征。

结论

由于病史和症状相似,急诊医生必须准确区分Boerhaave综合征和马洛里-魏斯综合征。CT对于检测任何严重程度的Boerhaave综合征都是一种有用的检查方法,并且还提供了区分Boerhaave综合征和马洛里-魏斯综合征的可能性。

https://cdn.ncbi.nlm.nih.gov/pmc/blobs/4f30/7706278/dc3fb0cdcd30/12245_2020_318_Fig1_HTML.jpg

文献AI研究员

20分钟写一篇综述,助力文献阅读效率提升50倍。

立即体验

用中文搜PubMed

大模型驱动的PubMed中文搜索引擎

马上搜索

文档翻译

学术文献翻译模型,支持多种主流文档格式。

立即体验