Suppr超能文献

盐水造影超声在马完全性颈静脉阻塞诊断中的应用。

Use of saline contrast ultrasonography in the diagnosis of complete jugular vein occlusion in a horse.

机构信息

Department of Veterinary Medicine, University of Sassari, Sassari, Italy.

Veterinary Teaching Hospital, University of Sassari, Sassari, Italy.

出版信息

Open Vet J. 2020 Oct;10(3):308-316. doi: 10.4314/ovj.v10i3.9. Epub 2020 Sep 15.

Abstract

BACKGROUND

Thrombophlebitis and thrombosis are the most common causes of jugular vein occlusion in horses. Medical and surgical treatments aim to recanalize the occluded vessel and reduce proximal venous congestion and edema.

CASE DESCRIPTION

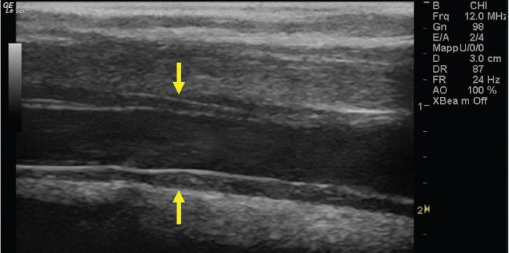
The present report describes a clinical case of equine jugular vein thrombosis (JVT) with complete vein occlusion diagnosed by saline contrast ultrasonography (SCU) and confirmed by contrast venography.

CONCLUSION

Our results demonstrated that the SCU test can be easily performed and objectively interpreted using standard ultrasound equipment; it is not expensive and it does not require x-ray exposure. The SCU test is a valid tool to assess vessel patency and presence of collateral circulation in JVT. The test could therefore be used to monitor the progression of the disease and the effectiveness of therapy against JVT in horses.

摘要

背景

血栓性静脉炎和血栓形成是马发生颈静脉阻塞的最常见原因。医疗和外科治疗的目的是使闭塞的血管再通,并减少近端静脉充血和水肿。

病例描述

本报告描述了一例通过盐水对比超声(SCU)诊断为完全闭塞的马颈静脉血栓形成(JVT)的临床病例,并通过对比静脉造影得到证实。

结论

我们的结果表明,SCU 试验可以使用标准超声设备进行,并且可以方便、客观地进行解读;它价格低廉,不需要 X 射线照射。SCU 试验是评估 JVT 血管通畅性和侧支循环存在的有效工具。因此,该试验可用于监测疾病的进展和 JVT 治疗的效果。

https://cdn.ncbi.nlm.nih.gov/pmc/blobs/6e9a/7703613/922288b270b8/OpenVetJ-10-308-g001.jpg

文献检索

告别复杂PubMed语法,用中文像聊天一样搜索,搜遍4000万医学文献。AI智能推荐,让科研检索更轻松。

立即免费搜索

文件翻译

保留排版,准确专业,支持PDF/Word/PPT等文件格式,支持 12+语言互译。

免费翻译文档

深度研究

AI帮你快速写综述,25分钟生成高质量综述,智能提取关键信息,辅助科研写作。

立即免费体验