Suppr超能文献

结肠腺癌表现为疑似微小穿孔继发脾脓肿。

Colonic Adenocarcinoma Presenting as Splenic Abscess Secondary to Suspected Microperforation.

机构信息

Ross University, Miramar, FL, USA.

UCLA-Kern Medical, Bakersfield, CA, USA.

出版信息

J Investig Med High Impact Case Rep. 2020 Jan-Dec;8:2324709620978317. doi: 10.1177/2324709620978317.

Abstract

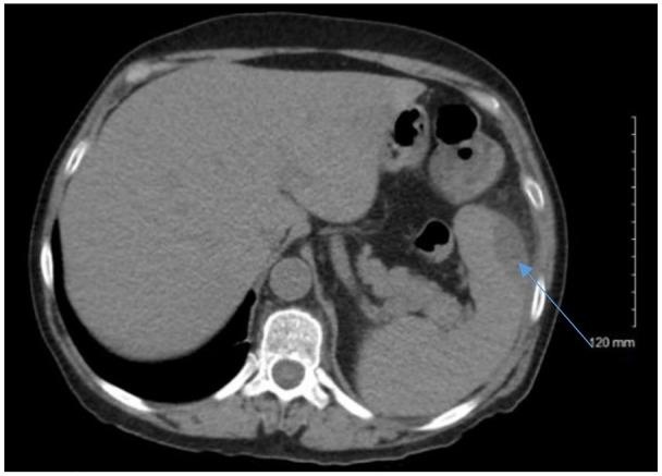
Splenic abscesses are a rare infection that usually requires seeding from another primary source; however, direct contact of bacteria can occur with microperforation secondary to colon cancer leading to abscess formation. This occurrence is rare, and through literature review only 12 previous cases have been reported with associated bacteremia. Our patient is a 62-year-old female who presented with left upper quadrant pain with a history of tobacco and alcohol abuse that was febrile and hypoxic. Blood cultures were obtained that eventually grew . Computed tomography of the abdomen and the pelvis revealed 2 splenic abscesses that were cultured to grow and β-hemolytic group C. Colonoscopy was performed, which identified 2 masses that were biopsied, and histopathology confirmed well-differentiated adenocarcinoma with possible muscular invasion. The patient had no other identifiable risk factors for bacterial seeding from another primary source. We present the first reported case report of splenic abscess secondary to colonic adenocarcinoma suspected microperforation associated with bacteremia.

摘要

脾脓肿是一种罕见的感染,通常需要从其他原发性疾病中接种细菌;然而,由于结肠癌导致的微小穿孔,细菌也可以直接接触,从而导致脓肿形成。这种情况很少见,通过文献回顾,只有 12 例先前报道的相关菌血症病例。我们的患者是一名 62 岁女性,有吸烟和饮酒史,表现为左上腹疼痛、发热和缺氧。随后进行了血培养,最终培养出 和 β-溶血性 C 群 。腹部和骨盆的计算机断层扫描显示有 2 个脾脓肿,培养出 和 β-溶血性 C 群 。进行了结肠镜检查,发现了 2 个肿块,并进行了活检,组织病理学证实为分化良好的腺癌,可能伴有肌肉浸润。患者没有其他可识别的细菌从其他原发性疾病接种的危险因素。我们报告首例疑似与 菌血症相关的结肠癌微小穿孔引起的脾脓肿病例。

https://cdn.ncbi.nlm.nih.gov/pmc/blobs/33bc/7724399/d8f911b1fffe/10.1177_2324709620978317-fig1.jpg

相似文献

1
Colonic Adenocarcinoma Presenting as Splenic Abscess Secondary to Suspected Microperforation.结肠腺癌表现为疑似微小穿孔继发脾脓肿。
J Investig Med High Impact Case Rep. 2020 Jan-Dec;8:2324709620978317. doi: 10.1177/2324709620978317.
7
Streptococcus bovis bacteremia: unusual complications.牛链球菌菌血症:不寻常的并发症。
South Med J. 1998 Dec;91(12):1167-8. doi: 10.1097/00007611-199812000-00015.

本文引用的文献

1
and Colorectal Cancer.以及结直肠癌。
Front Oncol. 2018 Oct 15;8:371. doi: 10.3389/fonc.2018.00371. eCollection 2018.
2
and colorectal cancer: A review.以及结直肠癌:一篇综述。
World J Gastrointest Oncol. 2018 Mar 15;10(3):71-81. doi: 10.4251/wjgo.v10.i3.71.
3
Splenic Abscess: An Unusual Complication of Colon Cancer.脾脓肿:结肠癌的一种罕见并发症。
Gastroenterology Res. 2017 Aug;10(4):247-250. doi: 10.14740/gr840w. Epub 2017 Aug 31.
9
Splenic abscess in southern Taiwan.台湾南部的脾脓肿。
J Microbiol Immunol Infect. 2004 Feb;37(1):39-44.

文献检索

告别复杂PubMed语法,用中文像聊天一样搜索,搜遍4000万医学文献。AI智能推荐,让科研检索更轻松。

立即免费搜索

文件翻译

保留排版,准确专业,支持PDF/Word/PPT等文件格式,支持 12+语言互译。

免费翻译文档

深度研究

AI帮你快速写综述,25分钟生成高质量综述,智能提取关键信息,辅助科研写作。

立即免费体验