• 文献检索
  • 文档翻译
  • 深度研究
  • 学术资讯
  • Suppr Zotero 插件Zotero 插件
  • 邀请有礼
  • 套餐&价格
  • 历史记录
应用&插件
Suppr Zotero 插件Zotero 插件浏览器插件Mac 客户端Windows 客户端微信小程序
定价
高级版会员购买积分包购买API积分包
服务
文献检索文档翻译深度研究API 文档MCP 服务
关于我们
关于 Suppr公司介绍联系我们用户协议隐私条款
关注我们

Suppr 超能文献

核心技术专利:CN118964589B侵权必究
粤ICP备2023148730 号-1Suppr @ 2026

文献检索

告别复杂PubMed语法,用中文像聊天一样搜索,搜遍4000万医学文献。AI智能推荐,让科研检索更轻松。

立即免费搜索

文件翻译

保留排版,准确专业,支持PDF/Word/PPT等文件格式,支持 12+语言互译。

免费翻译文档

深度研究

AI帮你快速写综述,25分钟生成高质量综述,智能提取关键信息,辅助科研写作。

立即免费体验

新型冠状病毒感染中快速进展的巨大肺气囊和气胸

Rapidly developing large pneumatocele and spontaneous pneumothorax in SARS-CoV-2 infection.

作者信息

Sanivarapu Raghavendra R, Farraj Kristen, Sayedy Najia, Anjum Fatima

机构信息

Department of Pulmonary & Critical Care Medicine, Nassau University Medical Center, East Meadow, NY, United States.

Department of Internal Medicine, Nassau University Medical Center, East Meadow, NY, United States.

出版信息

Respir Med Case Rep. 2020;31:101303. doi: 10.1016/j.rmcr.2020.101303. Epub 2020 Dec 2.

DOI:10.1016/j.rmcr.2020.101303
PMID:33294361
原文链接:https://pmc.ncbi.nlm.nih.gov/articles/PMC7709595/
Abstract

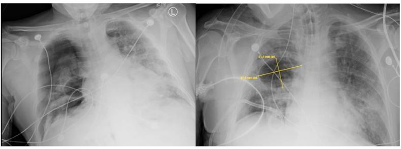
Coronavirus disease 2019 (COVID-19) has spread to more than 70 countries around the world since its discovery in 2019. More than 2.5 million cases and more than 130,000 deaths have been reported in the United States alone. The common radiological presentation in this disease is noted to be the presence of ground glass opacities and/or consolidations. We report a case of 40-year-old male admitted for COVID-19 and rapidly deteriorated into severe acute respiratory distress syndrome requiring intubation and mechanical ventilation with no prior history of smoking or lung disease. The patient had normal imaging 3 days prior to admission to the hospital and rapidly developed a large pneumatocele with pneumothorax requiring chest tube placement that later on resolved. This is a unique radiologic finding in COVID-19 and likely related to severe inflammation secondary to SARS-CoV-2 infection.

摘要

自2019年发现以来,2019冠状病毒病(COVID-19)已传播至全球70多个国家。仅在美国就报告了超过250万例病例和超过13万例死亡。该疾病常见的影像学表现为磨玻璃影和/或实变。我们报告一例40岁男性因COVID-19入院,迅速恶化为严重急性呼吸窘迫综合征,需要插管和机械通气,既往无吸烟或肺部疾病史。患者入院前3天影像学检查正常,迅速出现一个大的肺气囊并伴有气胸,需要放置胸管,随后气胸消散。这是COVID-19中一种独特的影像学表现,可能与严重急性呼吸综合征冠状病毒2(SARS-CoV-2)感染继发的严重炎症有关。

https://cdn.ncbi.nlm.nih.gov/pmc/blobs/89d0/7724367/c7364da9d515/gr4.jpg
https://cdn.ncbi.nlm.nih.gov/pmc/blobs/89d0/7724367/9b7c75892842/gr1.jpg
https://cdn.ncbi.nlm.nih.gov/pmc/blobs/89d0/7724367/ab4ac9912235/gr2.jpg
https://cdn.ncbi.nlm.nih.gov/pmc/blobs/89d0/7724367/4d0fd1e22231/gr3.jpg
https://cdn.ncbi.nlm.nih.gov/pmc/blobs/89d0/7724367/c7364da9d515/gr4.jpg
https://cdn.ncbi.nlm.nih.gov/pmc/blobs/89d0/7724367/9b7c75892842/gr1.jpg
https://cdn.ncbi.nlm.nih.gov/pmc/blobs/89d0/7724367/ab4ac9912235/gr2.jpg
https://cdn.ncbi.nlm.nih.gov/pmc/blobs/89d0/7724367/4d0fd1e22231/gr3.jpg
https://cdn.ncbi.nlm.nih.gov/pmc/blobs/89d0/7724367/c7364da9d515/gr4.jpg

相似文献

1
Rapidly developing large pneumatocele and spontaneous pneumothorax in SARS-CoV-2 infection.新型冠状病毒感染中快速进展的巨大肺气囊和气胸
Respir Med Case Rep. 2020;31:101303. doi: 10.1016/j.rmcr.2020.101303. Epub 2020 Dec 2.
2
Large pneumatocele as a rare complication in SARS-CoV-2 infection of the lung.巨大肺气囊作为新型冠状病毒肺炎感染肺部的一种罕见并发症。
Pneumologie. 2022 Sep;76(9):629-632. doi: 10.1055/a-1771-5345. Epub 2022 May 3.
3
COVID-19 pneumonia complicated by bilateral pneumothorax: A case report.新型冠状病毒肺炎合并双侧气胸:一例病例报告。
Respir Med Case Rep. 2020;31:101230. doi: 10.1016/j.rmcr.2020.101230. Epub 2020 Sep 24.
4
Air Should Not be There: A Case of Pneumomediastinum and Pneumopericardium in COVID-19.不该有空气:一例新冠肺炎合并纵隔气肿和心包积气病例
Cureus. 2020 Nov 25;12(11):e11696. doi: 10.7759/cureus.11696.
5
A Case of Spontaneous Pneumothorax 21 Days After Diagnosis of Coronavirus Disease 2019 (COVID-19) Pneumonia.1例新型冠状病毒肺炎(COVID-19)确诊后21天出现的自发性气胸病例。
Am J Case Rep. 2020 Aug 15;21:e925787. doi: 10.12659/AJCR.925787.
6
Case Report: Massive Spontaneous Pneumothorax-A Rare Form of Presentation for Severe COVID-19 Pneumonia.病例报告:大量自发性气胸——COVID-19 肺炎严重表现的罕见形式。
Medicina (Kaunas). 2021 Jan 20;57(2):82. doi: 10.3390/medicina57020082.
7
COVID-19 Presenting with Spontaneous Pneumothorax.COVID-19 合并自发性气胸。
J Coll Physicians Surg Pak. 2021 Jan;31(1):S29-S31. doi: 10.29271/jcpsp.2021.Supp1.S29.
8
Extremely high-dose insulin requirement in a diabetic patient with COVID-19: a case report.新冠肺炎合并糖尿病患者极高剂量胰岛素需求:一例报告。
BMC Endocr Disord. 2020 Oct 16;20(1):155. doi: 10.1186/s12902-020-00632-2.
9
Pneumothorax in COVID-19 disease- incidence and clinical characteristics.新型冠状病毒肺炎并发气胸:发病率及临床特征。
Respir Res. 2020 Sep 16;21(1):236. doi: 10.1186/s12931-020-01504-y.
10
Imaging and clinical features of patients with 2019 novel coronavirus SARS-CoV-2.新型冠状病毒 2019 年 SARS-CoV-2 患者的影像学和临床特征。
Eur J Nucl Med Mol Imaging. 2020 May;47(5):1275-1280. doi: 10.1007/s00259-020-04735-9. Epub 2020 Feb 28.

引用本文的文献

1
Recurrent spontaneous pneumothorax secondary to lung cystic lesions in a case of convalescent COVID-19: a case report and literature review.COVID-19 恢复期患者肺囊性病变继发复发性自发性气胸:病例报告及文献复习。
BMC Pulm Med. 2024 Jul 19;24(1):351. doi: 10.1186/s12890-024-03169-5.
2
Evolution of SARS-CoV-2 related pneumatoceles: A case report.新型冠状病毒肺炎相关肺气囊的演变:一例报告。
Respir Med Case Rep. 2024 Apr 27;49:102027. doi: 10.1016/j.rmcr.2024.102027. eCollection 2024.
3
Pneumatocele Manifestation in Early Recovery Period of COVID-19: A Case Study.

本文引用的文献

1
Coronavirus Disease 2019 (COVID-19) CT Findings: A Systematic Review and Meta-analysis.新型冠状病毒病 2019(COVID-19)的 CT 表现:系统评价和荟萃分析。
J Am Coll Radiol. 2020 Jun;17(6):701-709. doi: 10.1016/j.jacr.2020.03.006. Epub 2020 Mar 25.
2
[Novel coronavirus pneumonia (COVID-19) CT distribution and sign features].[新型冠状病毒肺炎(COVID-19)的CT分布及征象特点]
Zhonghua Jie He He Hu Xi Za Zhi. 2020 Apr 12;43(4):321-326. doi: 10.3760/cma.j.cn112147-20200217-00106.
3
Clinical features of patients infected with 2019 novel coronavirus in Wuhan, China.
新型冠状病毒肺炎早期恢复期肺气囊表现:一例报告
Cureus. 2023 Jul 1;15(7):e41259. doi: 10.7759/cureus.41259. eCollection 2023 Jul.
4
A case report of multiple artery pseudoaneurysms associated with SARS-CoV-2.一例与新型冠状病毒肺炎相关的多发性动脉假性动脉瘤病例报告
Front Cardiovasc Med. 2023 May 19;10:1174063. doi: 10.3389/fcvm.2023.1174063. eCollection 2023.
5
COVID-19-Associated Pneumatocele and Subsequent Pneumothorax.新型冠状病毒肺炎相关肺气囊及随后的气胸
Cureus. 2023 Mar 26;15(3):e36692. doi: 10.7759/cureus.36692. eCollection 2023 Mar.
6
Prognosis of Spontaneous Pneumothorax/Pneumomediastinum in Coronavirus Disease 2019: The CoBiF Score.2019冠状病毒病中自发性气胸/纵隔气肿的预后:CoBiF评分
J Clin Med. 2022 Nov 30;11(23):7132. doi: 10.3390/jcm11237132.
7
Histopathological pulmonary findings of survivors and autopsy COVID-19 cases: A bi-center study.幸存者和尸检 COVID-19 病例的组织病理学肺部发现:一项双中心研究。
Medicine (Baltimore). 2022 Nov 25;101(47):e32002. doi: 10.1097/MD.0000000000032002.
8
Pneumothorax due to COVID-19: Analysis of case reports.新型冠状病毒肺炎所致气胸:病例报告分析
Respir Med Case Rep. 2021;34:101490. doi: 10.1016/j.rmcr.2021.101490. Epub 2021 Jul 26.
9
Pulmonary artery pseudoaneurysm secondary to COVID-19 treated with endovascular embolisation.经血管内栓塞治疗的新型冠状病毒肺炎继发肺动脉假性动脉瘤
Eur J Radiol Open. 2021;8:100346. doi: 10.1016/j.ejro.2021.100346. Epub 2021 Apr 18.
中国武汉地区 2019 年新型冠状病毒感染患者的临床特征。
Lancet. 2020 Feb 15;395(10223):497-506. doi: 10.1016/S0140-6736(20)30183-5. Epub 2020 Jan 24.
4
Complicated pneumonias with empyema and/or pneumatocele in children.儿童伴有脓胸和/或肺大疱的复杂性肺炎。
Pediatr Surg Int. 2006 Feb;22(2):186-90. doi: 10.1007/s00383-005-1620-5. Epub 2005 Dec 16.
5
Percutaneous catheter drainage of tension pneumatocele, secondarily infected pneumatocele, and lung abscess in children.儿童张力性肺气囊、继发性感染性肺气囊及肺脓肿的经皮导管引流术。
Crit Care Med. 1996 Feb;24(2):330-3. doi: 10.1097/00003246-199602000-00024.
6
Pneumatocele in infants and children. Report of 12 cases.婴幼儿及儿童肺气囊。12例报告。
Clin Pediatr (Phila). 1983 Jun;22(6):420-2. doi: 10.1177/000992288302200605.
7
Subpleural emphysema complicating staphylococcal and other pneumonias.并发葡萄球菌性肺炎及其他肺炎的胸膜下肺气肿
J Pediatr. 1972 Aug;81(2):259-66. doi: 10.1016/s0022-3476(72)80292-0.