Suppr超能文献

请不要在我胸部放置胸腔引流管!肺消失综合征。

Please do not put a chest drain in my chest! Vanishing lung syndrome.

作者信息

Aujayeb Avinash

机构信息

Acute Medicine Department, The Northumbria Specialist Emergency Care Hospital, Northumbria Way, Cramlington NE23 6NZ.

出版信息

Afr J Emerg Med. 2020 Dec;10(4):261-265. doi: 10.1016/j.afjem.2020.03.001. Epub 2020 May 5.

Abstract

INTRODUCTION

Vanishing lung syndrome, also known as giant bullous emphysema is a condition usually reported in young male thin smokers. There are numerous case reports that have added to the body of evidence. There are also case reports of the giant bulla being misinterpreted for a pneumothorax.

CASE REPORT

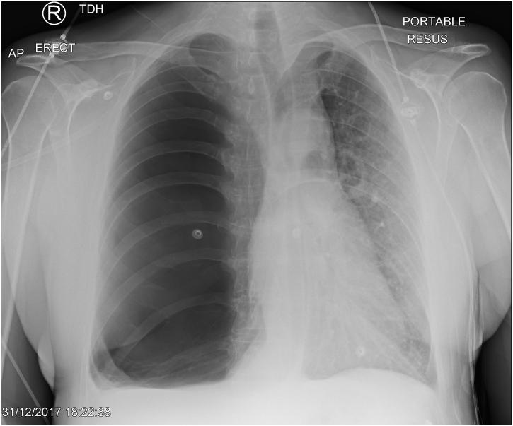
A 61 year old male with severe chronic obstructive lung disease presented to Accident and Emergency with progressive breathlessness. A chest radiograph showed a giant right sided bulla that was initially misinterpreted as a tension pneumothorax. Further review of his imaging and lung function pointed to him having vanishing lung syndrome. He was referred for a cardiothoracic opinion but was eventually managed conservatively.

DISCUSSION

Vanishing lung syndrome is characterised by a slowly enlarging upper lobe bulla that compresses normal lung parenchyma and causes mediastinal shift, with the patients experiencing increasing dyspnoea and reduced exercise tolerance. Smoking cessation is the mainstay of treatment. If they are relatively asymptomatic, patients are managed conservatively. Otherwise a variety of lung volume reduction techniques can be considered. A large bulla can look the same as a pneumothorax but the former does not have a lung edge and has a more rounded appearance. A CT scan is very useful in differentiating between the two pathologies. Bullae are predominantly caused by smoking. Bullae will cause high total lung volumes and residual volumes, but low alveolar volumes. Bullae can be observed or treated by surgical techniques.

摘要

引言

消失肺综合征,也称为巨大肺大疱,通常见于年轻消瘦的男性吸烟者。已有大量病例报告增加了相关证据。也有将巨大肺大疱误诊为气胸的病例报告。

病例报告

一名61岁患有严重慢性阻塞性肺疾病的男性因进行性呼吸困难就诊于急诊。胸部X线片显示右侧有一个巨大肺大疱,最初被误诊为张力性气胸。对其影像学和肺功能的进一步检查表明他患有消失肺综合征。他被转诊至心胸外科征求意见,但最终采取了保守治疗。

讨论

消失肺综合征的特征是上叶肺大疱逐渐增大,压迫正常肺实质并导致纵隔移位,患者会出现进行性呼吸困难和运动耐量下降。戒烟是主要治疗方法。如果患者相对无症状,则采取保守治疗。否则可考虑多种肺减容技术。一个大的肺大疱可能看起来与气胸相似,但前者没有肺边缘且外观更圆润。CT扫描对区分这两种病变非常有用。肺大疱主要由吸烟引起。肺大疱会导致肺总量和残气量增加,但肺泡容积降低。肺大疱可通过观察或手术技术进行治疗。

https://cdn.ncbi.nlm.nih.gov/pmc/blobs/6642/7700992/18af143536a6/gr1.jpg

文献检索

告别复杂PubMed语法,用中文像聊天一样搜索,搜遍4000万医学文献。AI智能推荐,让科研检索更轻松。

立即免费搜索

文件翻译

保留排版,准确专业,支持PDF/Word/PPT等文件格式,支持 12+语言互译。

免费翻译文档

深度研究

AI帮你快速写综述,25分钟生成高质量综述,智能提取关键信息,辅助科研写作。

立即免费体验