• 文献检索
  • 文档翻译
  • 深度研究
  • 学术资讯
  • Suppr Zotero 插件Zotero 插件
  • 邀请有礼
  • 套餐&价格
  • 历史记录
应用&插件
Suppr Zotero 插件Zotero 插件浏览器插件Mac 客户端Windows 客户端微信小程序
定价
高级版会员购买积分包购买API积分包
服务
文献检索文档翻译深度研究API 文档MCP 服务
关于我们
关于 Suppr公司介绍联系我们用户协议隐私条款
关注我们

Suppr 超能文献

核心技术专利:CN118964589B侵权必究
粤ICP备2023148730 号-1Suppr @ 2026

文献检索

告别复杂PubMed语法,用中文像聊天一样搜索,搜遍4000万医学文献。AI智能推荐,让科研检索更轻松。

立即免费搜索

文件翻译

保留排版,准确专业,支持PDF/Word/PPT等文件格式,支持 12+语言互译。

免费翻译文档

深度研究

AI帮你快速写综述,25分钟生成高质量综述,智能提取关键信息,辅助科研写作。

立即免费体验

扁桃体来源间充质基质细胞来源的外泌体通过 miR-486-5p 缓解肝星状细胞激活和肝纤维化。

sEVs from tonsil-derived mesenchymal stromal cells alleviate activation of hepatic stellate cells and liver fibrosis through miR-486-5p.

机构信息

Department of Integrated Biological Science, College of Natural Science, Pusan National University, Pusan 46241, Republic of Korea.

Pusan National University Medical Research Institute, Pusan National University School of Medicine, Pusan 49241, Republic of Korea.

出版信息

Mol Ther. 2021 Apr 7;29(4):1471-1486. doi: 10.1016/j.ymthe.2020.12.025. Epub 2020 Dec 19.

DOI:10.1016/j.ymthe.2020.12.025
PMID:33348053
原文链接:https://pmc.ncbi.nlm.nih.gov/articles/PMC8058446/
Abstract

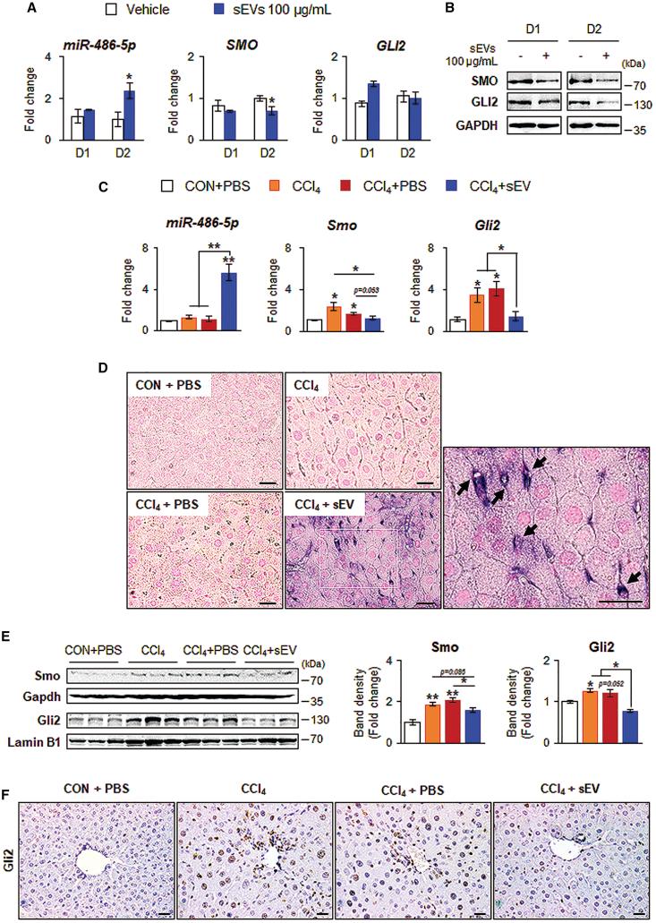
Mesenchymal stromal cells (MSCs) are considered as a promising therapeutic tool for liver fibrosis, a main feature of chronic liver disease. Because small extracellular vesicles (sEVs) harboring a variety of proteins and RNAs are known to have similar functions with their derived cells, MSC-derived sEVs carry out the regenerative capacities of MSCs. Human tonsil-derived MSCs (T-MSCs) are reported as a novel source of MSCs, but their effects on liver fibrosis remain unclear. In the present study, we investigated the effects of T-MSC-derived sEVs on liver fibrosis. The expression of profibrotic genes decreased in human primary hepatic stellate cells (pHSCs) co-cultured with T-MSCs. Treatment of T-MSC-sEVs inactivated human and mouse pHSCs. Administration of T-MSC-sEVs ameliorated hepatic injuries and fibrosis in chronically damaged liver induced by carbon tetrachloride (CCl). miR-486-5p highly enriched in T-MSC-sEVs targeting the hedgehog receptor, smoothened (Smo), was upregulated, whereas Smo and Gli2, the hedgehog target gene, were downregulated in pHSCs and liver tissues treated with T-MSC-sEVs or miR-486-5p mimic, indicating that sEV-miR-486 inactivates HSCs by suppressing hedgehog signaling. Our results showed that T-MSCs attenuate HSC activation and liver fibrosis by delivering sEVs, and miR-486 in the sEVs inactivates hedgehog signaling, suggesting that T-MSCs and their sEVs are novel anti-fibrotic therapeutics for treating chronic liver disease.

摘要

间充质基质细胞(MSCs)被认为是治疗肝纤维化的有前途的治疗工具,肝纤维化是慢性肝病的主要特征。由于含有各种蛋白质和 RNA 的小细胞外囊泡(sEVs)已知具有与其衍生细胞相似的功能,因此 MSC 衍生的 sEVs 发挥 MSC 的再生能力。人扁桃体衍生的 MSC(T-MSCs)被报道为 MSC 的新来源,但它们对肝纤维化的影响尚不清楚。在本研究中,我们研究了 T-MSC 衍生的 sEVs 对肝纤维化的影响。与人原代肝星状细胞(pHSCs)共培养时,促纤维化基因的表达降低。T-MSC-sEVs 处理可使人和鼠 pHSCs 失活。T-MSC-sEVs 的给药可改善四氯化碳(CCl)诱导的慢性受损肝脏中的肝损伤和纤维化。T-MSC-sEVs 中高度富集的 miR-486-5p 靶向 hedgehog 受体 smoothened(Smo),而上调,而 Smo 和 hedgehog 靶基因 Gli2 在 pHSCs 和用 T-MSC-sEVs 或 miR-486-5p 模拟物处理的肝组织中下调,表明 sEV-miR-486 通过抑制 hedgehog 信号来使 HSCs 失活。我们的结果表明,T-MSCs 通过递送 sEVs 减轻 HSC 激活和肝纤维化,并且 sEV 中的 miR-486 使 hedgehog 信号失活,提示 T-MSCs 和它们的 sEVs 是治疗慢性肝病的新型抗纤维化治疗方法。

https://cdn.ncbi.nlm.nih.gov/pmc/blobs/8898/8058446/9135c3a9d4f8/gr8.jpg
https://cdn.ncbi.nlm.nih.gov/pmc/blobs/8898/8058446/e2bfcf3c08db/fx1.jpg
https://cdn.ncbi.nlm.nih.gov/pmc/blobs/8898/8058446/82450d2b281c/gr1.jpg
https://cdn.ncbi.nlm.nih.gov/pmc/blobs/8898/8058446/06a9dd23ee09/gr2.jpg
https://cdn.ncbi.nlm.nih.gov/pmc/blobs/8898/8058446/b1ae40376de2/gr3.jpg
https://cdn.ncbi.nlm.nih.gov/pmc/blobs/8898/8058446/fe1bce5d5526/gr4.jpg
https://cdn.ncbi.nlm.nih.gov/pmc/blobs/8898/8058446/bfa8b3c2c0bf/gr5.jpg
https://cdn.ncbi.nlm.nih.gov/pmc/blobs/8898/8058446/ee54aaa504b5/gr6.jpg
https://cdn.ncbi.nlm.nih.gov/pmc/blobs/8898/8058446/29b4f322f857/gr7.jpg
https://cdn.ncbi.nlm.nih.gov/pmc/blobs/8898/8058446/9135c3a9d4f8/gr8.jpg
https://cdn.ncbi.nlm.nih.gov/pmc/blobs/8898/8058446/e2bfcf3c08db/fx1.jpg
https://cdn.ncbi.nlm.nih.gov/pmc/blobs/8898/8058446/82450d2b281c/gr1.jpg
https://cdn.ncbi.nlm.nih.gov/pmc/blobs/8898/8058446/06a9dd23ee09/gr2.jpg
https://cdn.ncbi.nlm.nih.gov/pmc/blobs/8898/8058446/b1ae40376de2/gr3.jpg
https://cdn.ncbi.nlm.nih.gov/pmc/blobs/8898/8058446/fe1bce5d5526/gr4.jpg
https://cdn.ncbi.nlm.nih.gov/pmc/blobs/8898/8058446/bfa8b3c2c0bf/gr5.jpg
https://cdn.ncbi.nlm.nih.gov/pmc/blobs/8898/8058446/ee54aaa504b5/gr6.jpg
https://cdn.ncbi.nlm.nih.gov/pmc/blobs/8898/8058446/29b4f322f857/gr7.jpg
https://cdn.ncbi.nlm.nih.gov/pmc/blobs/8898/8058446/9135c3a9d4f8/gr8.jpg

相似文献

1
sEVs from tonsil-derived mesenchymal stromal cells alleviate activation of hepatic stellate cells and liver fibrosis through miR-486-5p.扁桃体来源间充质基质细胞来源的外泌体通过 miR-486-5p 缓解肝星状细胞激活和肝纤维化。
Mol Ther. 2021 Apr 7;29(4):1471-1486. doi: 10.1016/j.ymthe.2020.12.025. Epub 2020 Dec 19.
2
MiR-4465-modified mesenchymal stem cell-derived small extracellular vesicles inhibit liver fibrosis development via targeting LOXL2 expression.miR-4465 修饰的间充质干细胞衍生的小细胞外囊泡通过靶向 LOXL2 表达抑制肝纤维化发展。
J Zhejiang Univ Sci B. 2024 May 17;25(7):594-604. doi: 10.1631/jzus.B2300305.
3
MicroRNA125b-mediated Hedgehog signaling influences liver regeneration by chorionic plate-derived mesenchymal stem cells.微小RNA125b介导的刺猬信号通路通过绒毛板来源的间充质干细胞影响肝脏再生。
Sci Rep. 2015 Sep 15;5:14135. doi: 10.1038/srep14135.
4
Human umbilical cord mesenchymal stem cells inhibit liver fibrosis via the microRNA-148a-5p/SLIT3 axis.人脐带间充质干细胞通过 microRNA-148a-5p/SLIT3 轴抑制肝纤维化。
Int Immunopharmacol. 2023 Dec;125(Pt A):111134. doi: 10.1016/j.intimp.2023.111134. Epub 2023 Oct 31.
5
MicroRNA-223 restricts liver fibrosis by inhibiting the TAZ-IHH-GLI2 and PDGF signaling pathways via the crosstalk of multiple liver cell types.微小RNA-223通过多种肝细胞类型的相互作用抑制TAZ-IHH-GLI2和血小板衍生生长因子信号通路,从而限制肝纤维化。
Int J Biol Sci. 2021 Mar 11;17(4):1153-1167. doi: 10.7150/ijbs.58365. eCollection 2021.
6
Mesenchymal stem cells improve liver fibrosis and protect hepatocytes by promoting microRNA-148a-5p-mediated inhibition of Notch signaling pathway.间充质干细胞通过促进 microRNA-148a-5p 介导的 Notch 信号通路抑制来改善肝纤维化并保护肝细胞。
Stem Cell Res Ther. 2022 Jul 26;13(1):354. doi: 10.1186/s13287-022-03030-8.
7
Extracellular vesicles-derived miR-150-5p secreted by adipose-derived mesenchymal stem cells inhibits CXCL1 expression to attenuate hepatic fibrosis.脂肪间充质干细胞来源的细胞外囊泡所分泌的 miR-150-5p 通过抑制 CXCL1 的表达来减轻肝纤维化。
J Cell Mol Med. 2021 Jan;25(2):701-715. doi: 10.1111/jcmm.16119. Epub 2020 Dec 20.
8
-regulated activation of hepatic stellate cells and liver fibrosis by TGF-β signaling.TGF-β 信号调控肝星状细胞激活和肝纤维化。
Am J Physiol Gastrointest Liver Physiol. 2021 May 1;320(5):G720-G728. doi: 10.1152/ajpgi.00310.2020. Epub 2021 Mar 17.
9
MiR-122 modification enhances the therapeutic efficacy of adipose tissue-derived mesenchymal stem cells against liver fibrosis.miR-122 修饰增强脂肪组织来源的间充质干细胞对肝纤维化的治疗效果。
J Cell Mol Med. 2017 Nov;21(11):2963-2973. doi: 10.1111/jcmm.13208. Epub 2017 May 24.
10
Human Umbilical Cord Mesenchymal Stem Cells Ameliorate Hepatic Stellate Cell Activation and Liver Fibrosis by Upregulating MicroRNA-455-3p through Suppression of p21-Activated Kinase-2.人脐带间充质干细胞通过抑制p21活化激酶2上调微小RNA-455-3p来改善肝星状细胞活化和肝纤维化。
Biomed Res Int. 2021 Feb 25;2021:6685605. doi: 10.1155/2021/6685605. eCollection 2021.

引用本文的文献

1
Human Umbilical Cord Blood Plasma-Derived Exosomal miR-410-3p Alleviates Liver Injury by Regulating the Mitochondria-Mediated Antiapoptotic Signaling.人脐带血血浆来源的外泌体miR-410-3p通过调节线粒体介导的抗凋亡信号减轻肝损伤。
MedComm (2020). 2025 Aug 24;6(9):e70339. doi: 10.1002/mco2.70339. eCollection 2025 Sep.
2
Extracellular vesicles: emerging therapeutic agents for liver fibrosis.细胞外囊泡:肝脏纤维化的新兴治疗药物
Extracell Vesicles Circ Nucl Acids. 2025 May 7;6(2):216-244. doi: 10.20517/evcna.2025.08. eCollection 2025.
3
Small extracellular vesicles from human umbilical cord mesenchymal stem cells delivering miR-202-5p alleviate renal ischemia-reperfusion injury by targeting the GOLIM4/PI3K/AKT axis.

本文引用的文献

1
Progress, opportunity, and perspective on exosome isolation - efforts for efficient exosome-based theranostics.外泌体分离的进展、机遇和展望——基于外泌体的高效治疗学的努力。
Theranostics. 2020 Feb 19;10(8):3684-3707. doi: 10.7150/thno.41580. eCollection 2020.
2
Tonsil-derived stem cells as a new source of adult stem cells.扁桃体来源的干细胞作为成体干细胞的新来源。
World J Stem Cells. 2019 Aug 26;11(8):506-518. doi: 10.4252/wjsc.v11.i8.506.
3
Viscosity of Plasma as a Key Factor in Assessment of Extracellular Vesicles by Light Scattering.
来自人脐带间充质干细胞的小细胞外囊泡通过靶向GOLIM4/PI3K/AKT轴减轻肾缺血再灌注损伤。
Front Immunol. 2025 May 30;16:1586174. doi: 10.3389/fimmu.2025.1586174. eCollection 2025.
4
The Malignant Transformation of Viral Hepatitis to Hepatocellular Carcinoma: Mechanisms and Interventions.病毒性肝炎向肝细胞癌的恶性转化:机制与干预措施
MedComm (2020). 2025 Mar 8;6(3):e70121. doi: 10.1002/mco2.70121. eCollection 2025 Mar.
5
Cutting-edge insights into liver fibrosis: advanced therapeutic strategies and future perspectives using engineered mesenchymal stem cell-derived exosomes.肝纤维化的前沿见解:使用工程化间充质干细胞衍生外泌体的先进治疗策略及未来展望
Drug Deliv Transl Res. 2025 Jan 24. doi: 10.1007/s13346-024-01784-7.
6
Extracellular Vesicles from Mesenchymal Stem Cells: Potential as Therapeutics in Metabolic Dysfunction-Associated Steatotic Liver Disease (MASLD).间充质干细胞来源的细胞外囊泡:在代谢功能障碍相关脂肪性肝病(MASLD)中的治疗潜力
Biomedicines. 2024 Dec 14;12(12):2848. doi: 10.3390/biomedicines12122848.
7
The Role of Extracellular Vesicles in Liver Fibrosis: Friends or Foes?细胞外囊泡在肝纤维化中的作用:是友还是敌?
Biomedicines. 2024 Nov 22;12(12):2665. doi: 10.3390/biomedicines12122665.
8
Human umbilical cord mesenchymal stem cells enhance liver regeneration and decrease collagen content in fibrosis mice after partial hepatectomy by activating Wnt/β-catenin signaling.人脐带间充质干细胞通过激活Wnt/β-连环蛋白信号通路增强肝再生并降低部分肝切除术后纤维化小鼠的胶原含量。
Acta Biochim Biophys Sin (Shanghai). 2024 Dec 23;57(4):604-615. doi: 10.3724/abbs.2024207.
9
Cell therapy for end-stage liver disease: Current state and clinical challenge.终末期肝病的细胞治疗:现状与临床挑战
Chin Med J (Engl). 2024 Dec 5;137(23):2808-2820. doi: 10.1097/CM9.0000000000003332. Epub 2024 Nov 18.
10
The efficacy of exosomes from human chemically derived hepatic progenitors in liver damage alleviation: a preclinical experimental study.人化学诱导肝祖细胞来源的外泌体在减轻肝损伤中的疗效:一项临床前实验研究。
Ann Surg Treat Res. 2024 Nov;107(5):252-263. doi: 10.4174/astr.2024.107.5.252. Epub 2024 Oct 29.
血浆黏度是光散射法评估细胞外囊泡的关键因素。
Cells. 2019 Sep 6;8(9):1046. doi: 10.3390/cells8091046.
4
Tumor necrosis factor-inducible gene 6 reprograms hepatic stellate cells into stem-like cells, which ameliorates liver damage in mouse.肿瘤坏死因子诱导基因 6 可将肝星状细胞重编程为干细胞样细胞,从而改善小鼠的肝损伤。
Biomaterials. 2019 Oct;219:119375. doi: 10.1016/j.biomaterials.2019.119375. Epub 2019 Jul 22.
5
Challenges in Clinical Development of Mesenchymal Stromal/Stem Cells: Concise Review.间充质基质/干细胞临床开发的挑战:简明综述。
Stem Cells Transl Med. 2019 Nov;8(11):1135-1148. doi: 10.1002/sctm.19-0044. Epub 2019 Jul 16.
6
Defining mesenchymal stromal cell (MSC)-derived small extracellular vesicles for therapeutic applications.定义用于治疗应用的间充质基质细胞(MSC)衍生的小细胞外囊泡。
J Extracell Vesicles. 2019 Apr 29;8(1):1609206. doi: 10.1080/20013078.2019.1609206. eCollection 2019.
7
Human bone marrow mesenchymal stem cells-derived exosomes alleviate liver fibrosis through the Wnt/β-catenin pathway.人骨髓间充质干细胞来源的外泌体通过 Wnt/β-catenin 通路缓解肝纤维化。
Stem Cell Res Ther. 2019 Mar 18;10(1):98. doi: 10.1186/s13287-019-1204-2.
8
Conditioned Medium from Tonsil-Derived Mesenchymal Stem Cells Relieves CCl-Induced Liver Fibrosis in Mice.扁桃体来源的间充质干细胞条件培养基可缓解小鼠四氯化碳诱导的肝纤维化
Tissue Eng Regen Med. 2018 Oct 19;16(1):51-58. doi: 10.1007/s13770-018-0160-8. eCollection 2019 Feb.
9
Exosome isolation from distinct biofluids using precipitation and column-based approaches.使用沉淀和基于柱的方法从不同的生物体液中分离外泌体。
PLoS One. 2018 Jun 11;13(6):e0198820. doi: 10.1371/journal.pone.0198820. eCollection 2018.
10
Mesenchymal stem cell-derived extracellular vesicles: novel frontiers in regenerative medicine.间质干细胞衍生的细胞外囊泡:再生医学的新前沿。
Stem Cell Res Ther. 2018 Mar 9;9(1):63. doi: 10.1186/s13287-018-0791-7.