• 文献检索
  • 文档翻译
  • 深度研究
  • 学术资讯
  • Suppr Zotero 插件Zotero 插件
  • 邀请有礼
  • 套餐&价格
  • 历史记录
应用&插件
Suppr Zotero 插件Zotero 插件浏览器插件Mac 客户端Windows 客户端微信小程序
定价
高级版会员购买积分包购买API积分包
服务
文献检索文档翻译深度研究API 文档MCP 服务
关于我们
关于 Suppr公司介绍联系我们用户协议隐私条款
关注我们

Suppr 超能文献

核心技术专利:CN118964589B侵权必究
粤ICP备2023148730 号-1Suppr @ 2026

文献检索

告别复杂PubMed语法,用中文像聊天一样搜索,搜遍4000万医学文献。AI智能推荐,让科研检索更轻松。

立即免费搜索

文件翻译

保留排版,准确专业,支持PDF/Word/PPT等文件格式,支持 12+语言互译。

免费翻译文档

深度研究

AI帮你快速写综述,25分钟生成高质量综述,智能提取关键信息,辅助科研写作。

立即免费体验

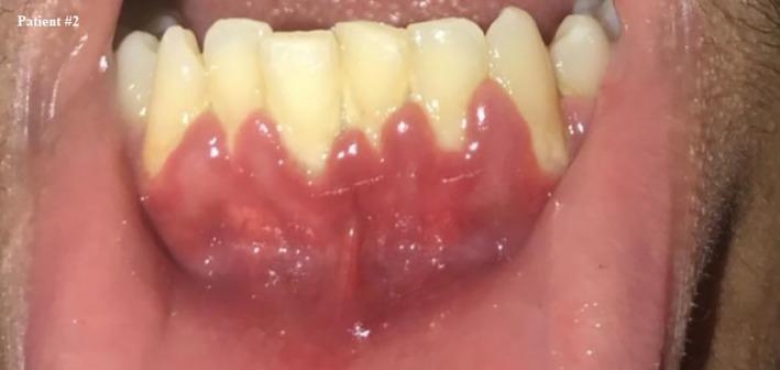
与新冠病毒感染相关的牙龈出血

Gingival bleeding associated with COVID-19 infection.

作者信息

Manzalawi Rahaf, Alhmamey Khulud, Abdelrasoul Mohamed

机构信息

Dental Intern Dentistry Program Batterjee Medical College Jeddah Saudi Arabia.

Periodontology division Dentistry Program Batterjee Medical College Jeddah Saudi Arabia.

出版信息

Clin Case Rep. 2020 Nov 16;9(1):294-297. doi: 10.1002/ccr3.3519. eCollection 2021 Jan.

DOI:10.1002/ccr3.3519
PMID:33362935
原文链接:https://pmc.ncbi.nlm.nih.gov/articles/PMC7753817/
Abstract

Gingival bleeding, which was not previously present, may be a preceding symptom associated with COVID-19 infections, preceding or coincidental with fever, other clinical signs, and positive testing.

摘要

先前不存在的牙龈出血可能是与新冠病毒感染相关的前驱症状,出现在发热、其他临床症状及检测呈阳性之前或同时出现。

https://cdn.ncbi.nlm.nih.gov/pmc/blobs/5161/7812999/a1173d63e4b0/CCR3-9-294-g005.jpg
https://cdn.ncbi.nlm.nih.gov/pmc/blobs/5161/7812999/6f3d59b94f0c/CCR3-9-294-g001.jpg
https://cdn.ncbi.nlm.nih.gov/pmc/blobs/5161/7812999/606ee6b74d0f/CCR3-9-294-g002.jpg
https://cdn.ncbi.nlm.nih.gov/pmc/blobs/5161/7812999/e9a8c31cd459/CCR3-9-294-g003.jpg
https://cdn.ncbi.nlm.nih.gov/pmc/blobs/5161/7812999/bca86af8746f/CCR3-9-294-g004.jpg
https://cdn.ncbi.nlm.nih.gov/pmc/blobs/5161/7812999/a1173d63e4b0/CCR3-9-294-g005.jpg
https://cdn.ncbi.nlm.nih.gov/pmc/blobs/5161/7812999/6f3d59b94f0c/CCR3-9-294-g001.jpg
https://cdn.ncbi.nlm.nih.gov/pmc/blobs/5161/7812999/606ee6b74d0f/CCR3-9-294-g002.jpg
https://cdn.ncbi.nlm.nih.gov/pmc/blobs/5161/7812999/e9a8c31cd459/CCR3-9-294-g003.jpg
https://cdn.ncbi.nlm.nih.gov/pmc/blobs/5161/7812999/bca86af8746f/CCR3-9-294-g004.jpg
https://cdn.ncbi.nlm.nih.gov/pmc/blobs/5161/7812999/a1173d63e4b0/CCR3-9-294-g005.jpg

相似文献

1
Gingival bleeding associated with COVID-19 infection.与新冠病毒感染相关的牙龈出血
Clin Case Rep. 2020 Nov 16;9(1):294-297. doi: 10.1002/ccr3.3519. eCollection 2021 Jan.
2
Is gingival bleeding a symptom of patients with type 1 von Willebrand disease? A case-control study.牙龈出血是否是 1 型血管性血友病患者的症状?一项病例对照研究。
J Clin Periodontol. 2014 Aug;41(8):766-71. doi: 10.1111/jcpe.12274. Epub 2014 Jun 24.
3
Evaluation of gingival bleeding awareness by comparison of self-reports and clinical measurements of freshman dental students.通过比较大一牙科学生的自我报告和临床测量结果来评估牙龈出血知晓情况。
Eur J Dent. 2014 Jul;8(3):360-365. doi: 10.4103/1305-7456.137649.
4
A 12-week randomized clinical study investigating the anti-gingivitis efficacy of a 0.454% w/w stannous fluoride dentifrice.一项为期12周的随机临床研究,旨在调查0.454%(重量/重量)氟化亚锡牙膏的抗牙龈炎疗效。
Am J Dent. 2018 Apr;31(2):81-85.
5
Severe gingival bleeding in a myelodysplastic patient: management and outcome.
J Periodontol. 2004 Mar;75(3):483-6. doi: 10.1902/jop.2004.75.3.483.
6
Excessive gingival bleeding in two patients with Glanzmann thrombasthenia.两名患有血小板无力症的患者出现牙龈过度出血。
J Periodontol. 2007 Jun;78(6):1154-8. doi: 10.1902/jop.2007.060393.
7
A randomized clinical trial of oral hygiene care programmes during stroke rehabilitation.一项关于中风康复期间口腔卫生护理方案的随机临床试验。
J Dent. 2017 Jun;61:48-54. doi: 10.1016/j.jdent.2017.04.001. Epub 2017 Apr 6.
8
The effect of waxed and unwaxed dental floss on gingival health. Part II. Crevicular fluid flow and gingival bleeding.涂蜡和未涂蜡牙线对牙龈健康的影响。第二部分。龈沟液流量与牙龈出血。
J Periodontol. 1982 Jun;53(6):397-400. doi: 10.1902/jop.1982.53.6.397.
9
Acute gingival bleeding as a complication of falciparum malaria: a case report.疟原虫性疟疾的并发症:急性牙龈出血 1 例报告。
Oral Surg Oral Med Oral Pathol Oral Radiol. 2012 May;113(5):e19-22. doi: 10.1016/j.oooo.2011.10.016. Epub 2012 Mar 3.
10
Associations between bleeding and visual signs of interdental gingival inflammation.
J Periodontol. 1988 Nov;59(11):722-7. doi: 10.1902/jop.1988.59.11.722.

引用本文的文献

1
Oral hygiene influence on the incidence and severity of oral manifestations in Coronavirus Disease 2019.口腔卫生对2019冠状病毒病口腔表现发生率和严重程度的影响。
BMC Oral Health. 2025 May 21;25(1):755. doi: 10.1186/s12903-025-06075-2.
2
Oral condition of patients hospitalized for Covid-19 and its impact on quality of life.因新冠病毒疾病住院患者的口腔状况及其对生活质量的影响。
Braz Oral Res. 2025 Feb 3;39:e009. doi: 10.1590/1807-3107bor-2025.vol39.009. eCollection 2025.
3
Oral manifestations of COVID-19 in unvaccinated patients: a cross-sectional study.
未接种疫苗患者的 COVID-19 口腔表现:一项横断面研究。
BMC Oral Health. 2023 Sep 27;23(1):696. doi: 10.1186/s12903-023-03325-z.
4
The Oral Lesion in the COVID-19 Patient: Is It True Oral Manifestation or Not?新冠病毒肺炎患者的口腔病变:是真正的口腔表现吗?
Infect Drug Resist. 2023 Jul 4;16:4357-4385. doi: 10.2147/IDR.S411615. eCollection 2023.
5
Oral Manifestations Associated with COVID-19 Infection: A Cross-Sectional Study of Recovered Iraqi Patients.与新冠病毒感染相关的口腔表现:对康复的伊拉克患者的横断面研究
Int J Dent. 2023 Feb 17;2023:4288182. doi: 10.1155/2023/4288182. eCollection 2023.
6
Oral health conditions and COVID-19: A systematic review and meta-analysis of the current evidence.口腔健康状况与2019冠状病毒病:当前证据的系统评价与荟萃分析
Aging Health Res. 2022 Mar;2(1):100064. doi: 10.1016/j.ahr.2022.100064. Epub 2022 Mar 5.
7
Understanding the mechanism of commonly occurring COVID-19-associated oral lesions.了解常见的新型冠状病毒肺炎相关口腔病损的发病机制。
J Oral Maxillofac Pathol. 2021 May-Aug;25(2):223-225. doi: 10.4103/0973-029X.325118. Epub 2021 Aug 31.
8
Oral Mucosa Could Be an Infectious Target of SARS-CoV-2.口腔黏膜可能是新型冠状病毒的感染靶点。
Healthcare (Basel). 2021 Aug 19;9(8):1068. doi: 10.3390/healthcare9081068.
9
Should We Be Concerned about the Association of Diabetes Mellitus and Periodontal Disease in the Risk of Infection by SARS-CoV-2? A Systematic Review and Hypothesis.我们是否应该关注糖尿病和牙周病与感染 SARS-CoV-2 风险的关联?一项系统评价和假说。
Medicina (Kaunas). 2021 May 13;57(5):493. doi: 10.3390/medicina57050493.