• 文献检索
  • 文档翻译
  • 深度研究
  • 学术资讯
  • Suppr Zotero 插件Zotero 插件
  • 邀请有礼
  • 套餐&价格
  • 历史记录
应用&插件
Suppr Zotero 插件Zotero 插件浏览器插件Mac 客户端Windows 客户端微信小程序
定价
高级版会员购买积分包购买API积分包
服务
文献检索文档翻译深度研究API 文档MCP 服务
关于我们
关于 Suppr公司介绍联系我们用户协议隐私条款
关注我们

Suppr 超能文献

核心技术专利:CN118964589B侵权必究
粤ICP备2023148730 号-1Suppr @ 2026

文献检索

告别复杂PubMed语法,用中文像聊天一样搜索,搜遍4000万医学文献。AI智能推荐,让科研检索更轻松。

立即免费搜索

文件翻译

保留排版,准确专业,支持PDF/Word/PPT等文件格式,支持 12+语言互译。

免费翻译文档

深度研究

AI帮你快速写综述,25分钟生成高质量综述,智能提取关键信息,辅助科研写作。

立即免费体验

牙源性角化囊肿减压前后细胞调节因子的变化

Changes in Cellular Regulatory Factors before and after Decompression of Odontogenic Keratocysts.

作者信息

Park Slmaro, Jung Han-Sung, Jung Young-Soo, Nam Woong, Cha Jung Yul, Jung Hwi-Dong

机构信息

Department of Oral & Maxillofacial Surgery, College of Dentistry, Yonsei University, 50-1 Yonsei-Ro, Seodeamun-Gu, Seoul 03722, Korea.

Division in Anatomy and Developmental Biology, Department of Oral Biology, Oral Science Research Center, BK21 PLUS Project, Yonsei University College of Dentistry, Seoul 03722, Korea.

出版信息

J Clin Med. 2020 Dec 24;10(1):30. doi: 10.3390/jcm10010030.

DOI:10.3390/jcm10010030
PMID:33374329
原文链接:https://pmc.ncbi.nlm.nih.gov/articles/PMC7795385/
Abstract

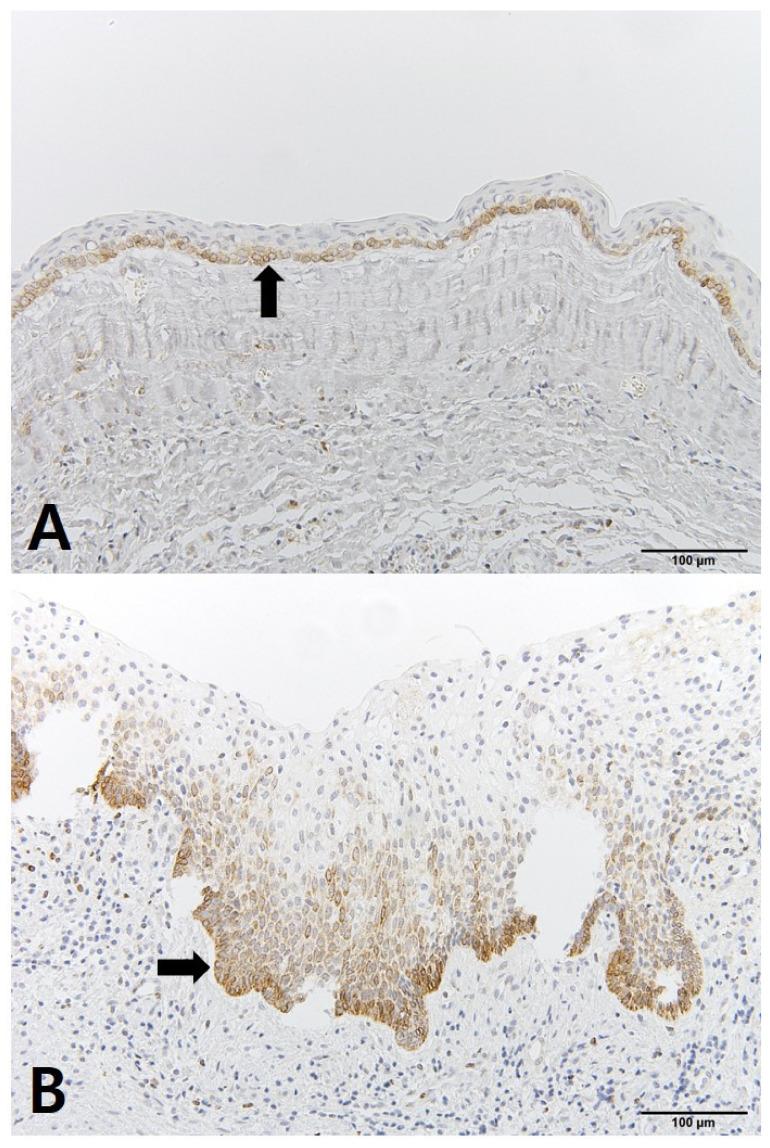
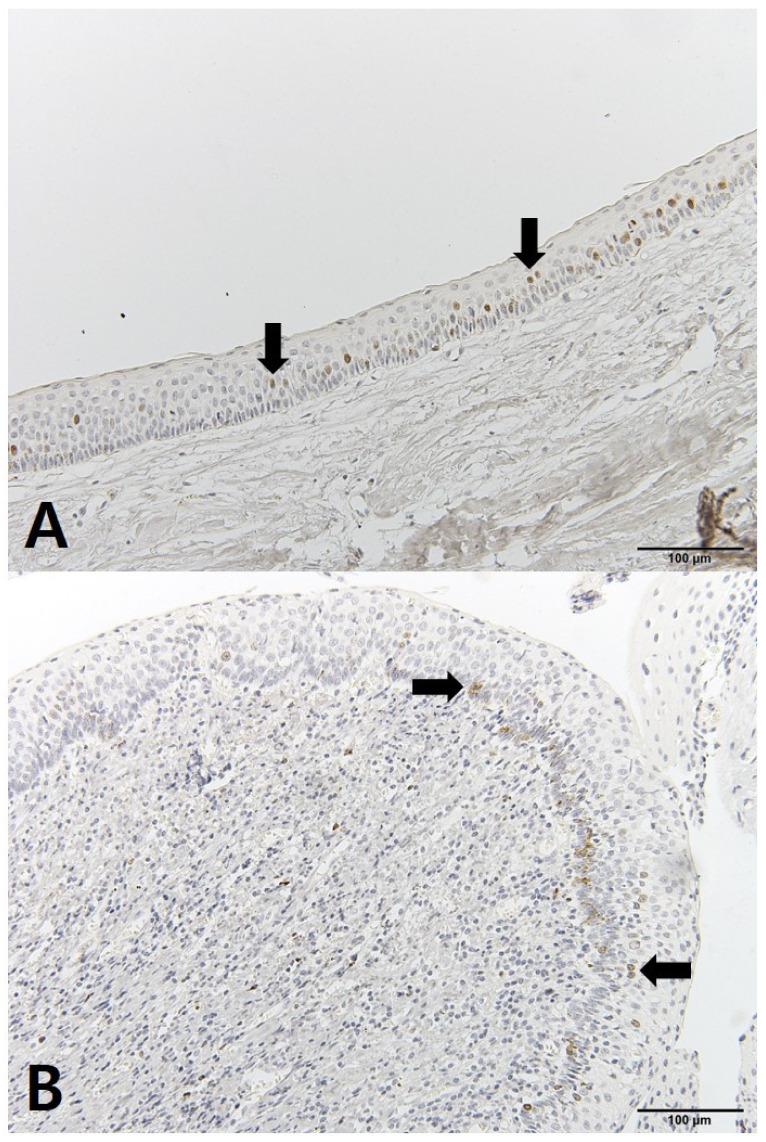
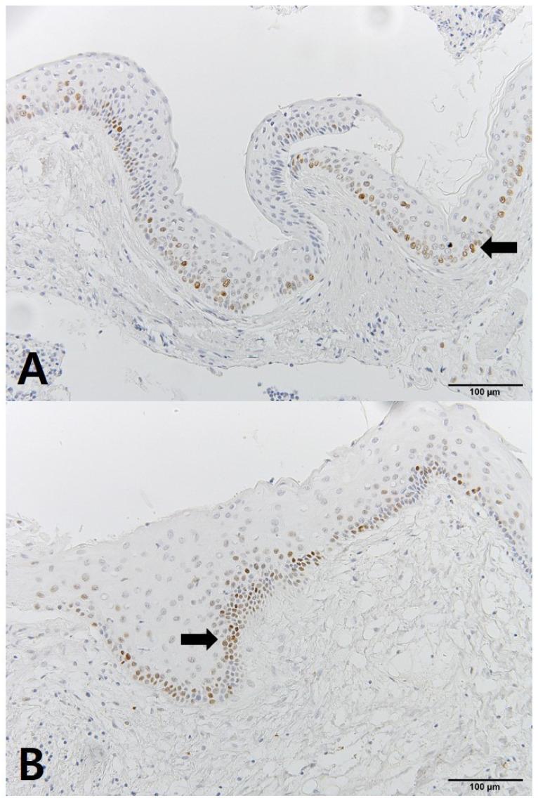
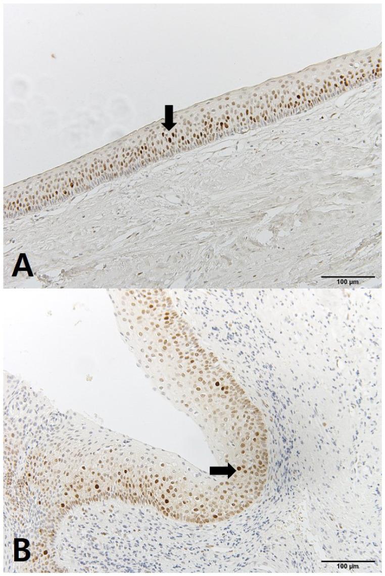
Decompression followed by enucleation, which is one of the treatments used for odontogenic keratocysts (OKCs), is frequently used in OKC lesions of large sizes. This method offers the advantage of minimizing the possibility of sensory impairment without creating a wide-range bone defect; moreover, the recurrence rate can be significantly lower than following simple enucleation. This study aimed to assess the changes in histology and expression of proliferation markers in OKCs before and after decompression treatment. A total of 38 OKC tissue samples from 19 patients who had undergone decompression therapy were examined morphologically and immunohistochemically to observe changes in proliferative activity before and after decompression. The markers used for immunohistochemistry (IHC) staining were Bcl-2, epidermal growth factor receptor (EGFR), Ki-67, P53, PCNA, and SMO. The immunohistochemistry positivity of the 6 markers was scored by using software ImageJ, version 1.49, by quantifying the intensity and internal density of IHC-stained epithelium. The values of Bcl-2, Ki-67, P53, proliferating cell nuclear antigen (PCNA), and SMO in OKCs before and after decompression showed no significant change. No correlation between clinical shrinkage and morphologic changes or expression of proliferation and growth markers could be found. There was no statistical evidence that decompression treatment reduces potentially aggressive behavior of OKC within the epithelial cyst lining itself. This might indicate that decompression does not change the biological behavior of the epithelial cyst lining or the recurrence rate.

摘要

减压后摘除术是用于治疗牙源性角化囊肿(OKC)的方法之一,常用于较大尺寸的OKC病变。该方法的优点是可将感觉障碍的可能性降至最低,且不会造成大范围的骨缺损;此外,其复发率可能显著低于单纯摘除术。本研究旨在评估减压治疗前后OKC的组织学变化以及增殖标志物的表达情况。对19例接受减压治疗的患者的38份OKC组织样本进行了形态学和免疫组织化学检查,以观察减压前后增殖活性的变化。用于免疫组织化学(IHC)染色的标志物为Bcl-2、表皮生长因子受体(EGFR)、Ki-67、P53、增殖细胞核抗原(PCNA)和SMO。使用ImageJ 1.49软件通过量化IHC染色上皮细胞的强度和内部密度,对这6种标志物的免疫组织化学阳性进行评分。减压前后OKC中Bcl-2、Ki-67、P53、增殖细胞核抗原(PCNA)和SMO的值无显著变化。未发现临床缩小与形态学变化或增殖及生长标志物表达之间存在相关性。没有统计学证据表明减压治疗可降低上皮囊肿衬里内OKC的潜在侵袭性行为。这可能表明减压不会改变上皮囊肿衬里的生物学行为或复发率。

https://cdn.ncbi.nlm.nih.gov/pmc/blobs/f01a/7795385/62189fad77a9/jcm-10-00030-g009.jpg
https://cdn.ncbi.nlm.nih.gov/pmc/blobs/f01a/7795385/9d6d8d96e5a8/jcm-10-00030-g001.jpg
https://cdn.ncbi.nlm.nih.gov/pmc/blobs/f01a/7795385/2fc768a7dc07/jcm-10-00030-g002.jpg
https://cdn.ncbi.nlm.nih.gov/pmc/blobs/f01a/7795385/7bd98fdf8779/jcm-10-00030-g003.jpg
https://cdn.ncbi.nlm.nih.gov/pmc/blobs/f01a/7795385/d74a5fa1665f/jcm-10-00030-g004.jpg
https://cdn.ncbi.nlm.nih.gov/pmc/blobs/f01a/7795385/4d22a686c0cf/jcm-10-00030-g005.jpg
https://cdn.ncbi.nlm.nih.gov/pmc/blobs/f01a/7795385/7efad63bc68e/jcm-10-00030-g006.jpg
https://cdn.ncbi.nlm.nih.gov/pmc/blobs/f01a/7795385/58de437ffe56/jcm-10-00030-g007.jpg
https://cdn.ncbi.nlm.nih.gov/pmc/blobs/f01a/7795385/b11ae653509f/jcm-10-00030-g008.jpg
https://cdn.ncbi.nlm.nih.gov/pmc/blobs/f01a/7795385/62189fad77a9/jcm-10-00030-g009.jpg
https://cdn.ncbi.nlm.nih.gov/pmc/blobs/f01a/7795385/9d6d8d96e5a8/jcm-10-00030-g001.jpg
https://cdn.ncbi.nlm.nih.gov/pmc/blobs/f01a/7795385/2fc768a7dc07/jcm-10-00030-g002.jpg
https://cdn.ncbi.nlm.nih.gov/pmc/blobs/f01a/7795385/7bd98fdf8779/jcm-10-00030-g003.jpg
https://cdn.ncbi.nlm.nih.gov/pmc/blobs/f01a/7795385/d74a5fa1665f/jcm-10-00030-g004.jpg
https://cdn.ncbi.nlm.nih.gov/pmc/blobs/f01a/7795385/4d22a686c0cf/jcm-10-00030-g005.jpg
https://cdn.ncbi.nlm.nih.gov/pmc/blobs/f01a/7795385/7efad63bc68e/jcm-10-00030-g006.jpg
https://cdn.ncbi.nlm.nih.gov/pmc/blobs/f01a/7795385/58de437ffe56/jcm-10-00030-g007.jpg
https://cdn.ncbi.nlm.nih.gov/pmc/blobs/f01a/7795385/b11ae653509f/jcm-10-00030-g008.jpg
https://cdn.ncbi.nlm.nih.gov/pmc/blobs/f01a/7795385/62189fad77a9/jcm-10-00030-g009.jpg

相似文献

1
Changes in Cellular Regulatory Factors before and after Decompression of Odontogenic Keratocysts.牙源性角化囊肿减压前后细胞调节因子的变化
J Clin Med. 2020 Dec 24;10(1):30. doi: 10.3390/jcm10010030.
2
Expression of Ki-67 in odontogenic cysts: A comparative study between odontogenic keratocysts, radicular cysts and dentigerous cysts.Ki-67在牙源性囊肿中的表达:牙源性角化囊肿、根尖囊肿和含牙囊肿的比较研究
J Oral Maxillofac Pathol. 2018 Jan-Apr;22(1):146. doi: 10.4103/jomfp.JOMFP_94_16.
3
Prognostic relevance of clinicopathological factors in sporadic and syndromic odontogenic keratocysts: A comparative study.散发型和综合征型牙源性角化囊肿临床病理因素的预后相关性:一项对比研究。
Adv Clin Exp Med. 2023 Feb;32(2):245-259. doi: 10.17219/acem/153390.
4
Expression of p53, Ki-67, and EGFR in odontogenic keratocysts before and after decompression.减压前后牙源性角化囊肿中p53、Ki-67和表皮生长因子受体(EGFR)的表达
J Oral Pathol Med. 2006 Oct;35(9):568-72. doi: 10.1111/j.1600-0714.2006.00468.x.
5
Analysis of expression of p53, p63 and proliferating cell nuclear antigen proteins in odontogenic keratocyst: An immunohistochemical study.牙源性角化囊肿中p53、p63及增殖细胞核抗原蛋白表达的分析:一项免疫组织化学研究
J Oral Maxillofac Pathol. 2020 May-Aug;24(2):273-278. doi: 10.4103/jomfp.JOMFP_203_19. Epub 2020 Sep 9.
6
A Clinicopathological Approach to Odontogenic Cysts: the Role of Cytokeratin 17 and bcl2 Immunohistochemistry in Identifying Odontogenic Keratocysts.牙源性囊肿的临床病理分析:细胞角蛋白 17 和 bcl2 免疫组化在牙源性角化囊肿诊断中的作用。
Pathol Oncol Res. 2020 Oct;26(4):2613-2620. doi: 10.1007/s12253-020-00866-4. Epub 2020 Jul 6.
7
Conservative surgical treatments for nonsyndromic odontogenic keratocysts: a systematic review and meta-analysis.非综合征性牙源性角化囊肿的保守手术治疗:系统评价和荟萃分析。
Clin Oral Investig. 2018 Jun;22(5):2089-2101. doi: 10.1007/s00784-017-2315-8. Epub 2017 Dec 20.
8
Immunohistochemical Analysis of Dentigerous Cysts and Odontogenic Keratocysts Associated with Impacted Third Molars-A Systematic Review.与阻生第三磨牙相关的含牙囊肿和牙源性角化囊肿的免疫组织化学分析——一项系统评价
Diagnostics (Basel). 2024 Jun 13;14(12):1246. doi: 10.3390/diagnostics14121246.
9
Immunohistochemical profile of the anti-apoptosis, apoptosis and proliferation markers Bcl-2, caspase-3, p53, and Ki-67 in botryoid odontogenic cysts compared to lateral periodontal cysts and gingival cysts of the adult.与成人牙周囊肿和牙龈囊肿相比,牙源性黏液瘤中抗凋亡、凋亡和增殖标志物 Bcl-2、caspase-3、p53 和 Ki-67 的免疫组织化学特征。
Biotech Histochem. 2021 May;96(4):263-268. doi: 10.1080/10520295.2020.1790660. Epub 2020 Jul 9.
10
Clinical and histomorphometric evaluation of decompression followed by enucleation in the treatment of odontogenic keratocyst.牙源性角化囊肿治疗中减压后摘除术的临床及组织形态计量学评估
J Dent Sci. 2018 Dec;13(4):329-333. doi: 10.1016/j.jds.2018.06.001. Epub 2018 Jun 18.

引用本文的文献

1
Immunohistochemical Analysis of Dentigerous Cysts and Odontogenic Keratocysts Associated with Impacted Third Molars-A Systematic Review.与阻生第三磨牙相关的含牙囊肿和牙源性角化囊肿的免疫组织化学分析——一项系统评价
Diagnostics (Basel). 2024 Jun 13;14(12):1246. doi: 10.3390/diagnostics14121246.
2
OralImmunoAnalyser: a software tool for immunohistochemical assessment of oral leukoplakia using image segmentation and classification models.口腔免疫分析仪:一种使用图像分割和分类模型对口腔白斑进行免疫组织化学评估的软件工具。
Front Artif Intell. 2024 Feb 26;7:1324410. doi: 10.3389/frai.2024.1324410. eCollection 2024.
3
Uncovering lupus nephritis-specific genes and the potential of TNFRSF17-targeted immunotherapy: a high-throughput sequencing study.

本文引用的文献

1
Protocol for management of odontogenic keratocysts considering recurrence according to treatment methods.根据治疗方法考虑复发情况的牙源性角化囊肿管理方案
J Korean Assoc Oral Maxillofac Surg. 2020 Oct 31;46(5):358-360. doi: 10.5125/jkaoms.2020.46.5.358.
2
Therapeutic management of the odontogenic keratocyst. An energetic approach with a conservative perspective and review of the current therapeutic options.牙源性角化囊肿的治疗管理。一种兼具积极态度与保守观点的方法及当前治疗选择的综述。
J Clin Exp Dent. 2020 Aug 1;12(8):e794-e799. doi: 10.4317/jced.56722. eCollection 2020 Aug.
3
5-Fluorouracil Is Associated With a Decreased Recurrence Risk in Odontogenic Keratocyst Management: A Retrospective Cohort Study.
揭示狼疮肾炎特异性基因和 TNFRSF17 靶向免疫治疗的潜力:一项高通量测序研究。
Front Immunol. 2024 Feb 19;15:1303611. doi: 10.3389/fimmu.2024.1303611. eCollection 2024.
4
Significance of EGFR investigation in odontogenic keratocyst: a narrative review.牙源性角化囊肿中 EGFR 研究的意义:叙述性综述。
Mol Biol Rep. 2023 Aug;50(8):7089-7098. doi: 10.1007/s11033-023-08582-3. Epub 2023 Jun 14.
5
Breast cancer dataset with biomarker Biglycan.带有生物标志物双糖链蛋白聚糖的乳腺癌数据集。
Data Brief. 2023 Feb 14;47:108978. doi: 10.1016/j.dib.2023.108978. eCollection 2023 Apr.
6
Two-Dimensional Change in the Cystic Defects after Decompression and Enucleation of Jaw Cysts - A Comparative Study.颌骨囊肿减压与摘除术后囊性缺损的二维变化——一项对比研究
Ann Maxillofac Surg. 2021 Jul-Dec;11(2):241-246. doi: 10.4103/ams.ams_122_21. Epub 2022 Feb 1.
5-氟尿嘧啶治疗牙源性角化囊性瘤降低复发风险:一项回顾性队列研究。
J Oral Maxillofac Surg. 2021 Apr;79(4):814-821. doi: 10.1016/j.joms.2020.07.215. Epub 2020 Aug 5.
4
Development of a reliable and accurate algorithm to quantify the tumor immune stroma (QTiS) across tumor types.开发一种可靠且准确的算法,用于跨肿瘤类型量化肿瘤免疫基质(QTiS)。
Oncotarget. 2017 Dec 4;8(70):114935-114944. doi: 10.18632/oncotarget.22932. eCollection 2017 Dec 29.
5
The World Health Organization Classification of Odontogenic Lesions: A Summary of the Changes of the 2017 (4th) Edition.世界卫生组织牙源性病变分类:2017年(第4版)变化总结
Turk Patoloji Derg. 2018;34(1). doi: 10.5146/tjpath.2017.01410.
6
Decompression of keratocystic odontogenic tumors leading to increased fibrosis, but without any change in epithelial proliferation.角化囊性牙源性肿瘤减压导致纤维化增加,但上皮增殖无任何变化。
Oral Surg Oral Med Oral Pathol Oral Radiol. 2017 Jun;123(6):634-644. doi: 10.1016/j.oooo.2016.12.007. Epub 2016 Dec 30.
7
Quantitative comparison and reproducibility of pathologist scoring and digital image analysis of estrogen receptor β2 immunohistochemistry in prostate cancer.前列腺癌中雌激素受体β2免疫组化的病理学家评分与数字图像分析的定量比较及可重复性
Diagn Pathol. 2016 Jul 11;11(1):63. doi: 10.1186/s13000-016-0511-5.
8
Expression of Bcl-2 and epithelial growth factor receptor proteins in keratocystic odontogenic tumor in comparison with dentigerous cyst and ameloblastoma.与含牙囊肿和成釉细胞瘤相比,牙源性角化囊性瘤中Bcl-2和上皮生长因子受体蛋白的表达
Dent Res J (Isfahan). 2015 Jul-Aug;12(4):342-7. doi: 10.4103/1735-3327.161451.
9
Misfolding, Aggregation, and Disordered Segments in c-Abl and p53 in Human Cancer.人类癌症中c-Abl和p53的错误折叠、聚集及无序片段
Front Oncol. 2015 Apr 29;5:97. doi: 10.3389/fonc.2015.00097. eCollection 2015.
10
Comparison of HSCORE assessment of endometrial beta3 integrin subunit expression with digital HSCORE using computerized image analysis (ImageJ).使用计算机图像分析(ImageJ)对子宫内膜β3整合素亚基表达的HSCORE评估与数字HSCORE的比较。
Anal Quant Cytopathol Histpathol. 2013 Aug;35(4):210-6.