Suppr超能文献

糖尿病性周围神经病中的血-神经屏障(BNB)病理学及体外人血-神经屏障模型

Blood-Nerve Barrier (BNB) Pathology in Diabetic Peripheral Neuropathy and In Vitro Human BNB Model.

作者信息

Takeshita Yukio, Sato Ryota, Kanda Takashi

机构信息

Department of Neurology and Clinical Neuroscience, Graduate School of Medicine, Yamaguchi University, Yamaguchi 753-8511, Japan.

出版信息

Int J Mol Sci. 2020 Dec 23;22(1):62. doi: 10.3390/ijms22010062.

Abstract

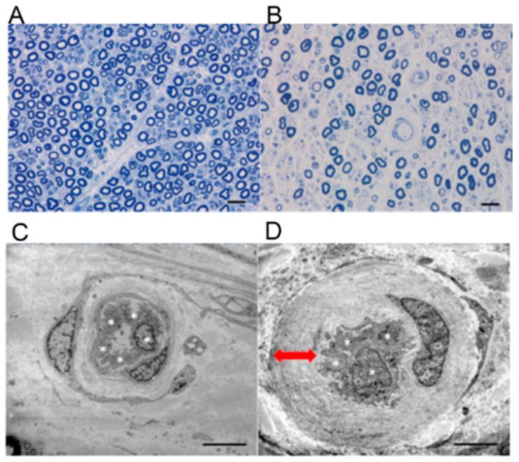
In diabetic peripheral neuropathy (DPN), metabolic disorder by hyperglycemia progresses in peripheral nerves. In addition to the direct damage to peripheral neural axons, the homeostatic mechanism of peripheral nerves is disrupted by dysfunction of the blood-nerve barrier (BNB) and Schwann cells. The disruption of the BNB, which is a crucial factor in DPN development and exacerbation, causes axonal degeneration via various pathways. Although many reports revealed that hyperglycemia and other important factors, such as dyslipidemia-induced dysfunction of Schwann cells, contributed to DPN, the molecular mechanisms underlying BNB disruption have not been sufficiently elucidated, mainly because of the lack of in vitro studies owing to difficulties in establishing human cell lines from vascular endothelial cells and pericytes that form the BNB. We have developed, for the first time, temperature-sensitive immortalized cell lines of vascular endothelial cells and pericytes originating from the BNB of human sciatic nerves, and we have elucidated the disruption to the BNB mainly in response to advanced glycation end products in DPN. Recently, we succeeded in developing an in vitro BNB model to reflect the anatomical characteristics of the BNB using cell sheet engineering, and we established immortalized cell lines originating from the human BNB. In this article, we review the pathologic evidence of the pathology of DPN in terms of BNB disruption, and we introduce the current in vitro BNB models.

摘要

在糖尿病性周围神经病变(DPN)中,高血糖引起的代谢紊乱在周围神经中进展。除了对周围神经轴突的直接损伤外,血神经屏障(BNB)和施万细胞功能障碍还破坏了周围神经的稳态机制。BNB的破坏是DPN发生和加重的关键因素,它通过多种途径导致轴突变性。尽管许多报告显示高血糖和其他重要因素,如血脂异常导致的施万细胞功能障碍,与DPN有关,但BNB破坏的分子机制尚未得到充分阐明,主要是因为从构成BNB的血管内皮细胞和周细胞建立人类细胞系存在困难,缺乏体外研究。我们首次建立了源自人坐骨神经BNB的血管内皮细胞和周细胞的温度敏感永生化细胞系,并阐明了DPN中BNB主要对晚期糖基化终产物的破坏作用。最近,我们利用细胞片工程成功开发了一种体外BNB模型,以反映BNB的解剖学特征,并建立了源自人BNB的永生化细胞系。在本文中,我们从BNB破坏的角度综述了DPN病理的病理证据,并介绍了当前的体外BNB模型。

https://cdn.ncbi.nlm.nih.gov/pmc/blobs/174d/7793499/86942e6523ee/ijms-22-00062-g001.jpg

文献检索

告别复杂PubMed语法,用中文像聊天一样搜索,搜遍4000万医学文献。AI智能推荐,让科研检索更轻松。

立即免费搜索

文件翻译

保留排版,准确专业,支持PDF/Word/PPT等文件格式,支持 12+语言互译。

免费翻译文档

深度研究

AI帮你快速写综述,25分钟生成高质量综述,智能提取关键信息,辅助科研写作。

立即免费体验