Suppr超能文献

重组 GRA8 蛋白的研制及其在山羊弓形虫感染血清学诊断中的评价。

Development and evaluation of recombinant GRA8 protein for the serodiagnosis of Toxoplasma gondii infection in goats.

机构信息

Department of Preclinic and Applied Animal Science, Faculty of Veterinary Science, Mahidol University, 999 Phutthamonthon sai 4 Rd, Salaya, Nakhonpathom, 73170, Thailand.

Department of Protozoology, Faculty of Tropical Medicine, Mahidol University, 420/6 Ratchawithi Road, Ratchathewi, Bangkok, 10400, Thailand.

出版信息

BMC Vet Res. 2021 Jan 9;17(1):27. doi: 10.1186/s12917-020-02719-3.

Abstract

BACKGROUND

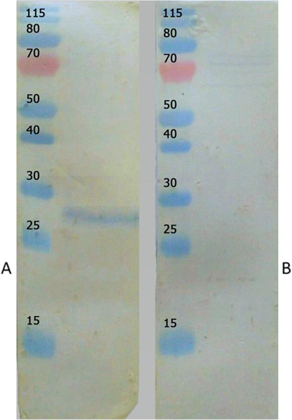
The development of sensitive and specific methods for detecting Toxoplasma gondii infection is critical for preventing and controlling toxoplasmosis in humans and other animals. Recently, various recombinant proteins have been used in serological tests for diagnosing toxoplasmosis. The production of these antigens is associated with live tachyzoites obtained from cell cultures or laboratory animals for genomic extraction to amplify target genes. Synthetic genes have gained a key role in recombinant protein production. For the first time, we demonstrated the production of the recombinant protein of the T. gondii dense granular antigen 8 (TgGRA8) gene based on commercial gene synthesis. Recombinant TgGRA8 plasmids were successfully expressed in an Escherichia coli system. The recombinant protein was affinity-purified and characterized via sodium dodecyl sulfate-polyacrylamide gel electrophoresis and Western blotting. Furthermore, the diagnostic potential of the recombinant protein was assessed using 306 field serum samples from goats via indirect enzyme-linked immunosorbent assay (iELISA) and the latex agglutination test (LAT).

RESULTS

Western blotting using known positive serum samples from goats identified a single antigen at the expected molecular weight of TgGRA8 (27 kDa). iELISA illustrated that 15.40% of goat samples were positive for T. gondii-specific IgG antibodies. In addition, TgGRA8 provided high sensitivity and specificity, with significant concordance (91.83) and kappa values (0.69) compared with the results obtained using LAT.

CONCLUSION

Our findings highlight the production of a recombinant protein from a synthetic TgGRA8 gene and the ability to detect T. gondii infection in field samples. The sensitivity and specificity of TgGRA8 demonstrated that this protein could be a good serological marker for detecting specific IgG in goat sera.

摘要

背景

开发敏感和特异的方法来检测刚地弓形虫感染对于预防和控制人类和其他动物的弓形虫病至关重要。最近,各种重组蛋白已被用于血清学检测来诊断弓形虫病。这些抗原的产生与活速殖子有关,速殖子是从细胞培养物或实验室动物中获得的,用于基因组提取以扩增靶基因。合成基因在重组蛋白生产中发挥了关键作用。我们首次基于商业基因合成,展示了刚地弓形虫致密颗粒抗原 8(TgGRA8)基因的重组蛋白的生产。重组 TgGRA8 质粒在大肠杆菌系统中成功表达。通过十二烷基硫酸钠-聚丙烯酰胺凝胶电泳和 Western blot 对重组蛋白进行了亲和纯化和鉴定。此外,通过间接酶联免疫吸附试验(iELISA)和乳胶凝集试验(LAT)评估了重组蛋白对 306 份来自山羊的现场血清样本的诊断潜力。

结果

使用来自山羊的已知阳性血清样本进行 Western blot 鉴定出 TgGRA8(27 kDa)预期分子量的单个抗原。iELISA 表明,15.40%的山羊样本对弓形虫特异性 IgG 抗体呈阳性。此外,与 LAT 相比,TgGRA8 提供了高灵敏度和特异性,具有显著的一致性(91.83)和kappa 值(0.69)。

结论

我们的研究结果强调了从合成 TgGRA8 基因生产重组蛋白的能力,以及在现场样本中检测弓形虫感染的能力。TgGRA8 的敏感性和特异性表明,该蛋白可以作为检测山羊血清中特异性 IgG 的良好血清学标志物。

https://cdn.ncbi.nlm.nih.gov/pmc/blobs/3523/7796619/2587bdc11627/12917_2020_2719_Fig1_HTML.jpg

文献AI研究员

20分钟写一篇综述,助力文献阅读效率提升50倍。

立即体验

用中文搜PubMed

大模型驱动的PubMed中文搜索引擎

马上搜索

文档翻译

学术文献翻译模型,支持多种主流文档格式。

立即体验