Suppr超能文献

利用重组致密颗粒抗原7蛋白开发和评估间接酶联免疫吸附测定法用于检测泰国猫的感染情况。

Development and evaluation of indirect enzyme-linked immunosorbent assay using recombinant dense granule antigen 7 protein for the detection of infection in cats in Thailand.

作者信息

Suwan Eukote, Chalermwong Piangjai, Rucksaken Rucksak, Sussadee Metita, Kaewmongkol Sarawan, Udonsom Ruenruetai, Jittapalapong Sathaporn, Mangkit Bandid

机构信息

Department of Veterinary Technology, Faculty of Veterinary Technology, Kasetsart University, Bangkok, Thailand.

Department of Protozoology, Faculty of Tropical Medicine, Mahidol University, Bangkok, Thailand.

出版信息

Vet World. 2022 Mar;15(3):602-610. doi: 10.14202/vetworld.2022.602-610. Epub 2022 Mar 12.

Abstract

BACKGROUND AND AIM

is recognized as a zoonosis causing toxoplasmosis in animals globally. Cat is a definitive host of and sheds oocyst through feces, which can infect human beings and animals through contaminated food ingestion. A precise diagnostic test is essential to prevent infection in both humans and animals. This study aimed to develop and evaluate the pETite-dense granule antigen 7(GRA7)-based indirect enzyme-linked immunosorbent assay (ELISA) to detect infection in cats.

MATERIALS AND METHODS

  • was cloned and expressed in the Expressosmall ubiquitin-related modifier (SUMO) T7 Cloning and Expression System. The recombinant pETite-GRA7 was purified using HisTrap affinity chromatography and confirmed using Western blot analysis. The recombinant protein was used to develop and evaluate the indirect ELISA for infection detection. In total, 200 cat sera were tested using pETite-GRA7-based indirect ELISA and indirect fluorescent antibody test (IFAT). The statistical analysis based on Kappa value, sensitivity, specificity, positive predictive value, negative predictive value, test, and receiver operating characteristic (ROC) curve was used to evaluate the performance of the test.

RESULTS

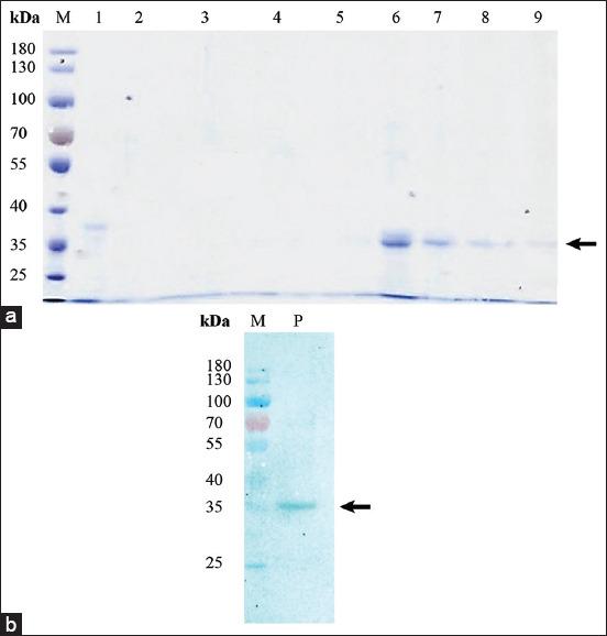
A 606 bp polymerase chain reaction (PCR) product was obtained from RH strain genomic DNA. The gene was cloned into the pETite™ vector and transformed to HI-Control BL21 (DE3) for protein expression. Approximately 35 kDa of recombinant pETite-GRA7 was observed and Western blot analysis showed positive bands against anti-6-His antibody and positive- cat serum. A sample of 0.5 μg/mL of pETite-GRA7 was subjected to indirect ELISA to detect infection in the cat sera. The results showed sensitivity and specificity of pETite-GRA7-based indirect ELISA at 72% and 96%, respectively. An acceptable diagnostic performance was characterized by high concordant results (94%) and substantial agreement (Kappa value=0.65) with IFAT. The seroprevalence levels of ELISA and IFAT were 10% and 9%, respectively, and were not significantly (p>0.05) different. The expected performance of ELISA at different cutoff points using the ROC curve analysis revealed 89% sensitivity and 92% specificity at the cutoff value of 0.146, with a high overall assay accuracy (area under the curve=0.94).

CONCLUSION

In this study, the pETite™ vector, N-terminal 6xHis SUMO fusion tag, was used to improve the solubility and expression level of GRA7. The recombinant pETite-GRA7 showed enhanced protein solubility and purification without special condition requirements. This pETite-GRA7-based indirect ELISA showed high concordant results and substantial agreement with IFAT. ELISA revealed an acceptable sensitivity and specificity. These initial data obtained from cats' sera demonstrated that pETite-GRA7-based indirect ELISA could be a useful method for local serological diagnosis of infection in cats in Thailand.

摘要

背景与目的

被公认为一种人畜共患病,在全球范围内可导致动物患弓形虫病。猫是其终末宿主,通过粪便排出卵囊,可经污染食物摄入感染人类和动物。精确的诊断检测对于预防人和动物感染至关重要。本研究旨在开发并评估基于微小泛素样修饰物(SUMO)-致密颗粒抗原7(GRA7)的间接酶联免疫吸附测定(ELISA)以检测猫的感染情况。

材料与方法

在Expresso小泛素样修饰物(SUMO)T7克隆与表达系统中克隆并表达。重组微小泛素样修饰物-GRA7(pETite-GRA7)通过HisTrap亲和层析纯化,并经蛋白质印迹分析确认。该重组蛋白用于开发和评估用于检测感染的间接ELISA。总共使用基于pETite-GRA7的间接ELISA和间接荧光抗体试验(IFAT)检测了200份猫血清。基于Kappa值、敏感性、特异性、阳性预测值、阴性预测值、检验和受试者工作特征(ROC)曲线的统计分析用于评估该检测的性能。

结果

从弓形虫RH株基因组DNA中获得了一条606 bp的聚合酶链反应(PCR)产物。该基因被克隆到pETite™载体中,并转化至HI-Control BL21(DE3)进行蛋白表达。观察到约35 kDa的重组pETite-GRA7,蛋白质印迹分析显示针对抗6-组氨酸抗体和阳性猫血清的阳性条带。用0.5 μg/mL的pETite-GRA7样本进行间接ELISA以检测猫血清中的感染情况。结果显示基于pETite-GRA7的间接ELISA的敏感性和特异性分别为72%和96%。与IFAT具有高度一致的结果(94%)和实质性一致性(Kappa值 = 0.65),表明诊断性能良好。ELISA和IFAT的血清阳性率分别为10%和9%,差异无统计学意义(p>0.05)。使用ROC曲线分析在不同临界值下ELISA的预期性能显示,在临界值为0.146时敏感性为89%,特异性为92%,总体检测准确性高(曲线下面积 = 0.94)。

结论

在本研究中,使用pETite™载体、N端6x组氨酸SUMO融合标签来提高GRA7的溶解性和表达水平。重组pETite-GRA7显示出增强的蛋白溶解性且无需特殊条件即可纯化。这种基于pETite-GRA7的间接ELISA与IFAT具有高度一致的结果和实质性一致性。ELISA显示出可接受的敏感性和特异性。从猫血清中获得的这些初步数据表明,基于pETite-GRA7的间接ELISA可能是泰国猫感染局部血清学诊断的一种有用方法。

https://cdn.ncbi.nlm.nih.gov/pmc/blobs/7765/9047132/e2c4440ef9a8/Vetworld-15-602-g001.jpg

文献检索

告别复杂PubMed语法,用中文像聊天一样搜索,搜遍4000万医学文献。AI智能推荐,让科研检索更轻松。

立即免费搜索

文件翻译

保留排版,准确专业,支持PDF/Word/PPT等文件格式,支持 12+语言互译。

免费翻译文档

深度研究

AI帮你快速写综述,25分钟生成高质量综述,智能提取关键信息,辅助科研写作。

立即免费体验