• 文献检索
  • 文档翻译
  • 深度研究
  • 学术资讯
  • Suppr Zotero 插件Zotero 插件
  • 邀请有礼
  • 套餐&价格
  • 历史记录
应用&插件
Suppr Zotero 插件Zotero 插件浏览器插件Mac 客户端Windows 客户端微信小程序
定价
高级版会员购买积分包购买API积分包
服务
文献检索文档翻译深度研究API 文档MCP 服务
关于我们
关于 Suppr公司介绍联系我们用户协议隐私条款
关注我们

Suppr 超能文献

核心技术专利:CN118964589B侵权必究
粤ICP备2023148730 号-1Suppr @ 2026

文献检索

告别复杂PubMed语法,用中文像聊天一样搜索,搜遍4000万医学文献。AI智能推荐,让科研检索更轻松。

立即免费搜索

文件翻译

保留排版,准确专业,支持PDF/Word/PPT等文件格式,支持 12+语言互译。

免费翻译文档

深度研究

AI帮你快速写综述,25分钟生成高质量综述,智能提取关键信息,辅助科研写作。

立即免费体验

实验中肝脏切除术后修复及多能基质细胞给药的一些特殊方面

Some Special Aspects of Liver Repair after Resection and Administration of Multipotent Stromal Cells in Experiment.

作者信息

Maiborodin Igor, Lushnikova Elena, Klinnikova Marina, Klochkova Swetlana

机构信息

Laboratory of Cell Biology and Cytology, Institute of Molecular Pathology and Pathomorphology, Federal State Budget Scientific Institution "Federal Research Center of Fundamental and Translational Medicine" of the Ministry of Science and Higher Education of the Russian Federation, Acad. Timakov st., 2, 630117 Novosibirsk, Russia.

Laboratory of Health Management Technologies, The Center of New Medical Technologies, Institute of Chemical Biology and Fundamental Medicine, The Russian Academy of Sciences, Siberian Branch, Akademika Lavrenteva str. 8, 630090 Novosibirsk, Russia.

出版信息

Life (Basel). 2021 Jan 18;11(1):66. doi: 10.3390/life11010066.

DOI:10.3390/life11010066
PMID:33477612
原文链接:https://pmc.ncbi.nlm.nih.gov/articles/PMC7831301/
Abstract

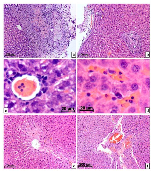
Changes in rat liver after resection and injection of autologous multipotent mesenchymal stromal cells of bone marrow origin (MSCs) transfected with the GFP gene and cell membranes stained with red-fluorescent lipophilic membrane dye were studied by light microscopy. It was found that after the introduction of MSCs into the damaged liver, their differentiation into any cells was not found. However, under the conditions of MSCs use, the number of neutrophils in the parenchyma normalizes earlier, and necrosis and hemorrhages disappear more quickly. It was concluded that the use of MSCs at liver resection for the rapid restoration of an organ is inappropriate, since the injected cells in vivo do not differentiate either into hepatocytes, into epithelial cells of bile capillaries, into endotheliocytes and pericytes of the vascular membranes, into fibroblasts of the scar or other connective tissue structures, or into any other cells present in the liver.

摘要

通过光学显微镜研究了大鼠肝脏在切除并注射经绿色荧光蛋白(GFP)基因转染的骨髓源性自体多能间充质基质细胞(MSCs)以及用红色荧光亲脂性膜染料染色的细胞膜后的变化。结果发现,将MSCs引入受损肝脏后,未发现它们分化为任何细胞。然而,在使用MSCs的条件下,实质内中性粒细胞的数量更早恢复正常,坏死和出血消失得更快。得出的结论是,在肝脏切除时使用MSCs来快速恢复器官是不合适的,因为体内注射的细胞既不会分化为肝细胞、胆小管上皮细胞、血管膜的内皮细胞和周细胞、瘢痕或其他结缔组织结构的成纤维细胞,也不会分化为肝脏中存在的任何其他细胞。

https://cdn.ncbi.nlm.nih.gov/pmc/blobs/1730/7831301/b09596dd6a1b/life-11-00066-g002.jpg
https://cdn.ncbi.nlm.nih.gov/pmc/blobs/1730/7831301/1f0530c8e502/life-11-00066-g001.jpg
https://cdn.ncbi.nlm.nih.gov/pmc/blobs/1730/7831301/b09596dd6a1b/life-11-00066-g002.jpg
https://cdn.ncbi.nlm.nih.gov/pmc/blobs/1730/7831301/1f0530c8e502/life-11-00066-g001.jpg
https://cdn.ncbi.nlm.nih.gov/pmc/blobs/1730/7831301/b09596dd6a1b/life-11-00066-g002.jpg

相似文献

1
Some Special Aspects of Liver Repair after Resection and Administration of Multipotent Stromal Cells in Experiment.实验中肝脏切除术后修复及多能基质细胞给药的一些特殊方面
Life (Basel). 2021 Jan 18;11(1):66. doi: 10.3390/life11010066.
2
Some Peculiarities of Local Distribution of Multipotent Mesenchymal Stromal Cells after Their Injection into Intact Muscle Tissue in Experiment.实验中将多能间充质基质细胞注入完整肌肉组织后其局部分布的一些特性
Bull Exp Biol Med. 2018 Mar;164(4):554-560. doi: 10.1007/s10517-018-4031-z. Epub 2018 Mar 4.
3
Possibility of Aggravation of Tissue Sclerosis after Injection of Multipotent Mesenchymal Stromal Cells Near the Forming Cicatrix in the Experiment.实验中在形成瘢痕附近注射多能间充质基质细胞后组织硬化加重的可能性。
Bull Exp Biol Med. 2017 Aug;163(4):554-560. doi: 10.1007/s10517-017-3848-1. Epub 2017 Aug 29.
4
Injection of Multipotent Mesenchymal Stromal Cells as a Cause of Hemorrhages in the Regional Lymph Nodes: Experimental Study.注射多能间充质基质细胞导致局部淋巴结出血:实验研究
Bull Exp Biol Med. 2018 Apr;164(6):784-789. doi: 10.1007/s10517-018-4080-3. Epub 2018 Apr 16.
5
In vivo differentiation of magnetically labeled mesenchymal stem cells into hepatocytes for cell therapy to repair damaged liver.体内磁标记间充质干细胞向肝细胞分化用于细胞治疗修复受损肝脏。
Invest Radiol. 2010 Oct;45(10):625-33. doi: 10.1097/RLI.0b013e3181ed55f4.
6
Dissemination of Multipotent Stromal Cells in the Organism after Their Injection into Intact and Resected Liver in the Experiment.实验中多能基质细胞注射到完整肝脏和切除肝脏后在机体中的播散情况。
Bull Exp Biol Med. 2022 Nov;174(1):116-124. doi: 10.1007/s10517-022-05659-0. Epub 2022 Nov 28.
7
Co‑culture of human nucleus pulposus cells with multipotent mesenchymal stromal cells from human bone marrow reveals formation of tunnelling nanotubes.人髓核细胞与来自人骨髓的多能间充质基质细胞共培养显示形成了隧道纳米管。
Mol Med Rep. 2014 Feb;9(2):574-82. doi: 10.3892/mmr.2013.1821. Epub 2013 Nov 21.
8
Multipotent stromal cells stimulate liver regeneration by influencing the macrophage polarization in rat.多能基质细胞通过影响大鼠巨噬细胞极化来刺激肝脏再生。
World J Hepatol. 2018 Feb 27;10(2):287-296. doi: 10.4254/wjh.v10.i2.287.
9
Initial Stages of Angiogenesis after Acute Experimental Local Venous Outflow Disturbances and Application of Cell Technologies.急性实验性局部静脉流出道障碍及细胞技术应用后血管生成的初始阶段
Bull Exp Biol Med. 2017 May;163(1):142-147. doi: 10.1007/s10517-017-3755-5. Epub 2017 Jun 3.
10
[Morphological analysis of the results of injection of the autologous stromal marrow-derived stem cells into the uterine scar in rats].[大鼠子宫瘢痕内注射自体骨髓源性间充质干细胞结果的形态学分析]
Morfologiia. 2010;137(6):47-55.

引用本文的文献

1
Possible Kidney Complications after Application of Cell Technologies for the Repair of the Resected Liver.细胞技术应用于修复切除肝脏后的可能肾脏并发症。
Bull Exp Biol Med. 2023 May;175(1):138-143. doi: 10.1007/s10517-023-05825-y. Epub 2023 Jun 19.
2
Multipotent Stromal Cell Extracellular Vesicle Distribution in Distant Organs after Introduction into a Bone Tissue Defect of a Limb.多能间充质干细胞外泌体在肢体骨组织缺损处植入后在远处器官中的分布
Life (Basel). 2021 Apr 1;11(4):306. doi: 10.3390/life11040306.

本文引用的文献

1
Laparoscopic liver resection for hepatocellular carcinoma in early and advanced cirrhosis.腹腔镜肝切除术治疗早期和晚期肝硬化患者的肝细胞癌
HPB (Oxford). 2018 Jun;20(6):521-529. doi: 10.1016/j.hpb.2017.11.011. Epub 2018 Jan 6.
2
Directly injected native bone-marrow stem cells cannot incorporate into acetaminophen-induced liver injury.直接注射的天然骨髓干细胞不能整合到对乙酰氨基酚诱导的肝损伤中。
Biologicals. 2018 Mar;52:55-58. doi: 10.1016/j.biologicals.2017.12.006. Epub 2018 Jan 6.
3
Minimally invasive liver resection for hepatocellular carcinoma of patients with liver damage B: A propensity score-based analysis.
肝损伤B级患者肝细胞癌的微创肝切除术:基于倾向评分的分析
Hepatol Res. 2018 Jun;48(7):539-548. doi: 10.1111/hepr.13057. Epub 2018 Mar 7.
4
Significance of poor performance status after resection of colorectal liver metastases.结直肠肝转移切除术后一般状况差的意义。
World J Surg Oncol. 2018 Jan 5;16(1):3. doi: 10.1186/s12957-017-1306-1.
5
Management of liver metastases from gastrointestinal stromal tumors: where do we stand?胃肠道间质瘤肝转移的管理:我们目前的状况如何?
J Gastrointest Oncol. 2017 Dec;8(6):1100-1108. doi: 10.21037/jgo.2017.08.08.
6
Preparation of dexamethasone-loaded biphasic calcium phosphate nanoparticles/collagen porous composite scaffolds for bone tissue engineering.载地塞米松双相磷酸钙纳米颗粒/胶原多孔复合支架的制备及其在骨组织工程中的应用。
Acta Biomater. 2018 Feb;67:341-353. doi: 10.1016/j.actbio.2017.12.004. Epub 2017 Dec 12.
7
Surgical treatment of hepatic .肝脏的外科治疗。
Prz Gastroenterol. 2017;12(3):199-202. doi: 10.5114/pg.2017.70473. Epub 2017 Sep 30.
8
Results of Experimental Ligation of the Main Vein with the Use of Cell Technologies.使用细胞技术对主静脉进行实验性结扎的结果。
Bull Exp Biol Med. 2017 Nov;164(1):61-67. doi: 10.1007/s10517-017-3926-4. Epub 2017 Nov 9.
9
Combined resection of the right liver lobe and retrohepatic inferior vena cava to treat hepatic alveolar echinococcosis: A case report.联合右肝叶及肝后下腔静脉切除治疗肝泡型包虫病:1例报告
Medicine (Baltimore). 2017 Sep;96(38):e8097. doi: 10.1097/MD.0000000000008097.
10
Retrospective study on timing of resection of hepatocellular adenoma.回顾性研究肝细胞腺瘤切除术的时机。
Br J Surg. 2017 Nov;104(12):1695-1703. doi: 10.1002/bjs.10594. Epub 2017 Aug 30.