• 文献检索
  • 文档翻译
  • 深度研究
  • 学术资讯
  • Suppr Zotero 插件Zotero 插件
  • 邀请有礼
  • 套餐&价格
  • 历史记录
应用&插件
Suppr Zotero 插件Zotero 插件浏览器插件Mac 客户端Windows 客户端微信小程序
定价
高级版会员购买积分包购买API积分包
服务
文献检索文档翻译深度研究API 文档MCP 服务
关于我们
关于 Suppr公司介绍联系我们用户协议隐私条款
关注我们

Suppr 超能文献

核心技术专利:CN118964589B侵权必究
粤ICP备2023148730 号-1Suppr @ 2026

文献检索

告别复杂PubMed语法,用中文像聊天一样搜索,搜遍4000万医学文献。AI智能推荐,让科研检索更轻松。

立即免费搜索

文件翻译

保留排版,准确专业,支持PDF/Word/PPT等文件格式,支持 12+语言互译。

免费翻译文档

深度研究

AI帮你快速写综述,25分钟生成高质量综述,智能提取关键信息,辅助科研写作。

立即免费体验

在手术绝经大鼠模型中,海马瞬时受体电位M2(TRPM2)通道和毒蕈碱型乙酰胆碱受体1(CHRM1)的减少与记忆丧失有关。

The decrease in hippocampal transient receptor potential M2 (TRPM2) channel and muscarinic acetylcholine receptor 1 (CHRM1) is associated with memory loss in a surgical menopause rat model.

作者信息

Pala Sehmus, Atilgan Remzi, Kuloglu Tuncay, Yalçın Emre, Kaya Nalan, Etem Ebru

机构信息

Department of Obstetrics and Gynecology, School of Medicine, Firat University, Elazig, Turkey.

Department of Histology and Embryology, School of Medicine, Firat University, Elazig, Turkey.

出版信息

Arch Med Sci. 2019 Mar 19;17(1):228-235. doi: 10.5114/aoms.2019.83760. eCollection 2021.

DOI:10.5114/aoms.2019.83760
PMID:33488875
原文链接:https://pmc.ncbi.nlm.nih.gov/articles/PMC7811316/
Abstract

INTRODUCTION

The aim of the study was to investigate the association of transient receptor potential M2 (TRPM2) channel and muscarinic acetylcholine receptor 1 (CHRM1) activity with the memorial functions that are deteriorated in surgical menopause.

MATERIAL AND METHODS

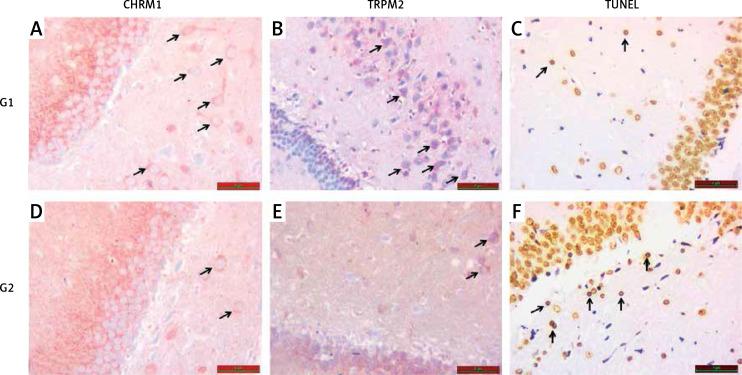
A total of 14 female rats were randomly divided into 2 groups: group (G)1: sham group; group (G)2: surgical menopause group, the group in which bilateral ovariectomy was performed. Fourteen days after the surgical procedure, learning and memorial tests were performed in G1 and G2 for a totally 13 days. The time required for the rats to find the cheese in the labyrinth was recorded and statistical evaluation of it was performed between groups. On the 14 day of the memory test, the rats were decapitated and the brain tissues were fixed in 10% formalin. Hippocampal TRPM2 and CHRM1 gene expression was evaluated with RNA isolation, complementary DNA (cDNA) synthesis and quantitative real-time PCR (qRT-PCR) analysis. TRPM2 and CHRM1 immunoreactivity was evaluated in hippocampal tissue with the immunohistochemical method. Histo-score was calculated regarding the diffuseness of and severity of the staining; and statistical analyses were performed.

RESULTS

In the ovariectomized group, the mean time required for the rats to find the cheese was statistically significantly elongated (39.29 ±4.0 s vs. 29.86 ±2.6 s). When the hippocampal TRPM2 and CHRM1 gene expression and immunoreactivity were compared with the sham group, there was a statistically significant decrease in the surgical menopause group ( < 0.05).

CONCLUSIONS

In surgical menopause, in deterioration of memorial functions, hippocampal TRPM2 channel and CHRM1 activity plays an important role.

摘要

引言

本研究旨在探讨瞬时受体电位M2(TRPM2)通道和毒蕈碱型乙酰胆碱受体1(CHRM1)活性与手术绝经后受损的记忆功能之间的关联。

材料与方法

总共14只雌性大鼠被随机分为2组:第1组:假手术组;第2组:手术绝经组,即进行双侧卵巢切除术的组。手术操作14天后,在第1组和第2组中进行总共13天的学习和记忆测试。记录大鼠在迷宫中找到奶酪所需的时间,并在组间进行统计学评估。在记忆测试的第14天,将大鼠断头,脑组织固定于10%福尔马林中。通过RNA分离、互补DNA(cDNA)合成和定量实时聚合酶链反应(qRT-PCR)分析评估海马体中TRPM2和CHRM1基因表达。采用免疫组织化学方法评估海马组织中TRPM2和CHRM1的免疫反应性。计算关于染色的扩散程度和严重程度的组织评分;并进行统计学分析。

结果

在卵巢切除组中,大鼠找到奶酪所需的平均时间在统计学上显著延长(39.29±4.0秒对29.86±2.6秒)。当将海马体中TRPM2和CHRM1基因表达及免疫反应性与假手术组进行比较时,手术绝经组有统计学显著下降(P<0.05)。

结论

在手术绝经中,在记忆功能受损方面,海马体TRPM2通道和CHRM1活性起重要作用。

https://cdn.ncbi.nlm.nih.gov/pmc/blobs/0ff2/7811316/d4d9ba6d9700/AMS-17-1-105120-g002.jpg
https://cdn.ncbi.nlm.nih.gov/pmc/blobs/0ff2/7811316/15450a4e0b66/AMS-17-1-105120-g001.jpg
https://cdn.ncbi.nlm.nih.gov/pmc/blobs/0ff2/7811316/d4d9ba6d9700/AMS-17-1-105120-g002.jpg
https://cdn.ncbi.nlm.nih.gov/pmc/blobs/0ff2/7811316/15450a4e0b66/AMS-17-1-105120-g001.jpg
https://cdn.ncbi.nlm.nih.gov/pmc/blobs/0ff2/7811316/d4d9ba6d9700/AMS-17-1-105120-g002.jpg

相似文献

1
The decrease in hippocampal transient receptor potential M2 (TRPM2) channel and muscarinic acetylcholine receptor 1 (CHRM1) is associated with memory loss in a surgical menopause rat model.在手术绝经大鼠模型中,海马瞬时受体电位M2(TRPM2)通道和毒蕈碱型乙酰胆碱受体1(CHRM1)的减少与记忆丧失有关。
Arch Med Sci. 2019 Mar 19;17(1):228-235. doi: 10.5114/aoms.2019.83760. eCollection 2021.
2
Hippocampal versus cortical deletion of cholinergic receptor muscarinic 1 in mice differentially affects post-translational modifications and supramolecular assembly of respiratory chain-associated proteins, mitochondrial ultrastructure, and respiration: implications in Alzheimer's disease.小鼠海马体与皮质中胆碱能受体毒蕈碱1的缺失对呼吸链相关蛋白的翻译后修饰和超分子组装、线粒体超微结构及呼吸产生不同影响:对阿尔茨海默病的启示
Front Cell Dev Biol. 2023 May 24;11:1179252. doi: 10.3389/fcell.2023.1179252. eCollection 2023.
3
[Cholinergic anti-inflammatory pathway involves in the neuroprotective effect of huperzine A on sepsis-associated encephalopathy].[胆碱能抗炎途径参与石杉碱甲对脓毒症相关性脑病的神经保护作用]
Zhonghua Wei Zhong Bing Ji Jiu Yi Xue. 2016 May;28(5):450-4.
4
Changes of muscarinic receptors and connexin-43 expression as a mechanism of overactive bladder in ovariectomized rats.卵巢切除大鼠毒蕈碱受体和连接蛋白43表达变化作为膀胱过度活动症的机制
World J Urol. 2015 Nov;33(11):1875-9. doi: 10.1007/s00345-015-1496-5. Epub 2015 Feb 3.
5
N-(p-amylcinnamoyl) anthranilic acid attenuates remedial effects of memantine on memory deficits following intracerebroventricular streptozotocin administration in rats.N-(对戊基肉桂酰基)邻氨基苯甲酸减弱了美金刚对大鼠脑室内注射链脲佐菌素后记忆缺陷的补救作用。
Arch Ital Biol. 2019 Apr 1;157(1):24-36. doi: 10.12871/00039829201913.
6
The Protective Role of Selenium on Scopolamine-Induced Memory Impairment, Oxidative Stress, and Apoptosis in Aged Rats: The Involvement of TRPM2 and TRPV1 Channels.硒对东莨菪碱诱导的老年大鼠记忆障碍、氧化应激和细胞凋亡的保护作用:TRPM2 和 TRPV1 通道的参与。
Mol Neurobiol. 2017 May;54(4):2852-2868. doi: 10.1007/s12035-016-9835-0. Epub 2016 Mar 28.
7
Ovariectomy-Induced Mitochondrial Oxidative Stress, Apoptosis, and Calcium Ion Influx Through TRPA1, TRPM2, and TRPV1 Are Prevented by 17β-Estradiol, Tamoxifen, and Raloxifene in the Hippocampus and Dorsal Root Ganglion of Rats.卵巢切除术诱导的大鼠海马体和背根神经节中通过 TRPA1、TRPM2 和 TRPV1 的线粒体氧化应激、细胞凋亡和钙离子内流可被 17β-雌二醇、他莫昔芬和雷洛昔芬预防。
Mol Neurobiol. 2017 Dec;54(10):7620-7638. doi: 10.1007/s12035-016-0232-5. Epub 2016 Nov 10.
8
Loss of cholinergic receptor muscarinic 1 impairs cortical mitochondrial structure and function: implications in Alzheimer's disease.毒蕈碱型胆碱能受体1缺失会损害皮质线粒体结构和功能:对阿尔茨海默病的影响。
Front Cell Dev Biol. 2023 May 18;11:1158604. doi: 10.3389/fcell.2023.1158604. eCollection 2023.
9
Modulation of Diabetes-Induced Oxidative Stress, Apoptosis, and Ca Entry Through TRPM2 and TRPV1 Channels in Dorsal Root Ganglion and Hippocampus of Diabetic Rats by Melatonin and Selenium.褪黑素和硒对糖尿病大鼠背根神经节和海马中糖尿病诱导的氧化应激、细胞凋亡以及通过TRPM2和TRPV1通道的钙内流的调节作用
Mol Neurobiol. 2017 Apr;54(3):2345-2360. doi: 10.1007/s12035-016-9727-3. Epub 2016 Mar 9.
10
Transient receptor potential melastatin 2 ion channel activity in ovarian hyperstimulation syndrome physiopathology.瞬时受体电位 melastatin 2 离子通道活性在卵巢过度刺激综合征病理生理学中的作用。
Turk J Med Sci. 2021 Apr 30;51(2):787-795. doi: 10.3906/sag-2005-297.

引用本文的文献

1
Investigating the Therapeutic Mechanisms of Total Saikosaponins in Alzheimer's Disease: A Metabolomic and Proteomic Approach.采用代谢组学和蛋白质组学方法研究总柴胡皂苷治疗阿尔茨海默病的机制
Pharmaceuticals (Basel). 2025 Jan 15;18(1):100. doi: 10.3390/ph18010100.
2
Ovariectomy reduces cholinergic modulation of excitatory synaptic transmission in the rat entorhinal cortex.卵巢切除术降低了大鼠内嗅皮层胆碱能调制的兴奋性突触传递。
PLoS One. 2022 Aug 8;17(8):e0271131. doi: 10.1371/journal.pone.0271131. eCollection 2022.
3
Analysis of Pharmacological Activities and Mechanisms of Essential Oil in Leaves of 'Tomentosa' by GC-MS/MS and Network Pharmacology.

本文引用的文献

1
Regulation of neural ion channels by muscarinic receptors.毒蕈碱型乙酰胆碱受体对神经离子通道的调节。
Neuropharmacology. 2018 Jul 1;136(Pt C):383-400. doi: 10.1016/j.neuropharm.2017.11.024. Epub 2017 Nov 21.
2
The endocrine-brain-aging triad where many paths meet: female reproductive hormone changes at midlife and their influence on circuits important for learning and memory.多条路径交汇的内分泌-大脑-衰老三联征:中年女性生殖激素变化及其对学习和记忆重要回路的影响。
Exp Gerontol. 2017 Aug;94:14-23. doi: 10.1016/j.exger.2016.12.011. Epub 2016 Dec 13.
3
The neuroprotective action of dexmedetomidine on apoptosis, calcium entry and oxidative stress in cerebral ischemia-induced rats: Contribution of TRPM2 and TRPV1 channels.
GC-MS/MS 和网络药理学分析香叶精油的药理活性和作用机制。
Comb Chem High Throughput Screen. 2023;26(9):1689-1700. doi: 10.2174/1386207325666220610182644.
4
Network pharmacology and in vitro studies reveal the pharmacological effects and molecular mechanisms of Shenzhi Jiannao prescription against vascular dementia.网络药理学和体外研究揭示了参智健脑方治疗血管性痴呆的药理作用和分子机制。
BMC Complement Med Ther. 2022 Feb 2;22(1):33. doi: 10.1186/s12906-021-03465-1.
5
Magnolol upregulates CHRM1 to attenuate Amyloid-β-triggered neuronal injury through regulating the cAMP/PKA/CREB pathway.厚朴酚通过调节 cAMP/PKA/CREB 通路上调 CHRM1 减轻淀粉样β肽触发的神经元损伤。
J Nat Med. 2022 Jan;76(1):188-199. doi: 10.1007/s11418-021-01574-2. Epub 2021 Oct 27.
右美托咪定对脑缺血诱导大鼠细胞凋亡、钙内流和氧化应激的神经保护作用:TRPM2 和 TRPV1 通道的贡献。
Sci Rep. 2016 Nov 22;6:37196. doi: 10.1038/srep37196.
4
Normobaric Hyperoxia Extends Neuro- and Vaso-Protection of N-Acetylcysteine in Transient Focal Ischemia.常压高氧可延长N-乙酰半胱氨酸对短暂性局灶性脑缺血的神经和血管保护作用。
Mol Neurobiol. 2017 Jul;54(5):3418-3427. doi: 10.1007/s12035-016-9932-0. Epub 2016 May 13.
5
Flufenamic acid prevents behavioral manifestations of salicylate-induced tinnitus in the rat.氟芬那酸可预防大鼠水杨酸盐诱导耳鸣的行为表现。
Arch Med Sci. 2016 Feb 1;12(1):208-15. doi: 10.5114/aoms.2016.57597. Epub 2016 Feb 2.
6
Estrogens as neuroprotectants: Estrogenic actions in the context of cognitive aging and brain injury.雌激素作为神经保护剂:认知老化和脑损伤背景下的雌激素作用。
Prog Neurobiol. 2017 Oct;157:188-211. doi: 10.1016/j.pneurobio.2015.12.008. Epub 2016 Feb 15.
7
The role of TNF-α in regulating ketamine-induced hippocampal neurotoxicity.肿瘤坏死因子-α在调节氯胺酮诱导的海马神经毒性中的作用。
Arch Med Sci. 2015 Dec 10;11(6):1296-302. doi: 10.5114/aoms.2015.56355. Epub 2015 Dec 11.
8
Repeated administration of almonds increases brain acetylcholine levels and enhances memory function in healthy rats while attenuates memory deficits in animal model of amnesia.重复给予杏仁可提高健康大鼠大脑中的乙酰胆碱水平,增强其记忆功能,同时减轻失忆动物模型中的记忆缺陷。
Brain Res Bull. 2016 Jan;120:63-74. doi: 10.1016/j.brainresbull.2015.11.001. Epub 2015 Nov 5.
9
Sex Steroids Do Not Modulate TRPM2-Mediated Injury in Females following Middle Cerebral Artery Occlusion(1,2,3).性激素不会调节雌性大鼠大脑中动脉闭塞后 TRPM2 介导的损伤(1,2,3)。
eNeuro. 2014 Nov 12;1(1). doi: 10.1523/ENEURO.0022-14.2014. eCollection 2014 Nov-Dec.
10
The M1 Muscarinic Positive Allosteric Modulator PQCA Improves Performance on Translatable Tests of Memory and Attention in Rhesus Monkeys.M1毒蕈碱型正变构调节剂PQCA可改善恒河猴记忆和注意力可转化测试的表现。
J Pharmacol Exp Ther. 2015 Dec;355(3):442-50. doi: 10.1124/jpet.115.226712. Epub 2015 Oct 7.