Suppr超能文献

正常面神经在三维 T1W 快速自旋回波 MRI 上的增强模式。

Enhancement patterns of the normal facial nerve on three-dimensional T1W fast spin echo MRI.

机构信息

Department of Neuroradiology, King's College Hospital, NHS Foundation Trust, London, UK.

Department of Biostatistics, University of Sydney, School of Public Health, Sydney, New South Wales, Australia.

出版信息

Br J Radiol. 2021 Jun 1;94(1122):20201025. doi: 10.1259/bjr.20201025. Epub 2021 Jan 27.

Abstract

OBJECTIVES

With increasing neuroimaging applications of contemporary three-dimensional W fast spin echo (3D T1W FSE) sequences, it was aimed to reappraise the normal patterns of skull base facial nerve gadolinium enhancement.

METHODS

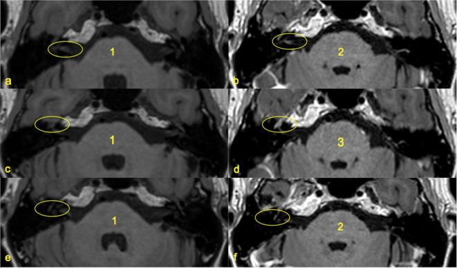
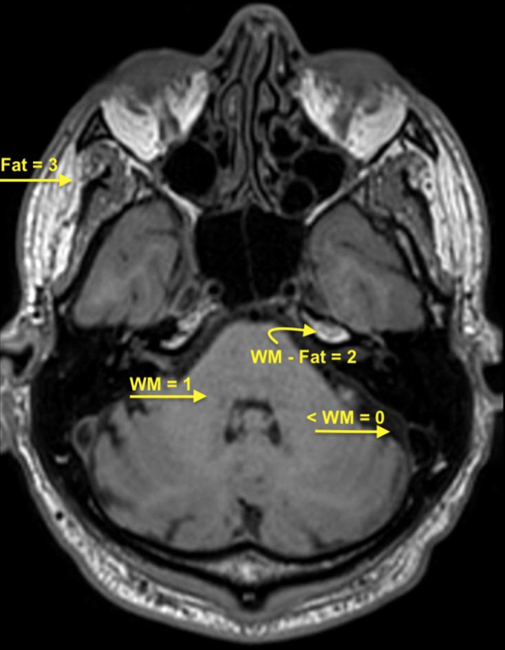
Pre- and post-gadolinium 3D T1W fast spin echo imaging studies ( = 64) were retrospectively analysed in patients without suspected facial nerve pathology. Two independent observers scored the signal at each of six skull base facial nerve segments. Wilcoxon signed-rank test was used to compare changes in signal between pre- and post-gadolinium sequences at each location, and how this differed between proprietary sequences or between the pairs of facial nerves.

RESULTS

There was significant enhancement at the fundal canalicular (16%), geniculate ganglion (96%), tympanic (45%) and mastoid (38%) facial nerve segments ( < 0.05). Two different proprietary sequences demonstrated similar patterns of enhancement and there was symmetry between the two sides.

CONCLUSIONS

There is a differing pattern of normal facial nerve enhancement on contemporary 3D T1W FSE sequences compared to previous studies of 2D T1W SE imaging and fundal canalicular enhancement may be physiological.

ADVANCES IN KNOWLEDGE

This is the first study to evaluate patterns of normal facial nerve enhancement using contemporary 3D T1W FSE MRI sequences.

摘要

目的

随着当代三维快速自旋回波(3D T1W FSE)序列在神经影像学应用的增加,旨在重新评估颅底面神经钆增强的正常模式。

方法

对 64 例无面神经病变可疑的患者进行了增强前后 3D T1W FSE 成像研究。两位独立观察者对颅底面神经的 6 个节段的每个节段的信号进行评分。采用 Wilcoxon 符号秩检验比较各部位增强前后信号的变化,以及不同专有序列或两侧面神经之间的差异。

结果

在眶内段(16%)、膝状神经节(96%)、鼓室段(45%)和乳突段(38%)面神经节段均有显著增强(<0.05)。两种不同的专有序列表现出相似的增强模式,两侧对称。

结论

与二维 T1W SE 成像的先前研究相比,当代 3D T1W FSE 序列上正常面神经增强的模式存在差异,且眶内段增强可能是生理性的。

知识进展

这是第一项使用当代 3D T1W FSE MRI 序列评估正常面神经增强模式的研究。

https://cdn.ncbi.nlm.nih.gov/pmc/blobs/e520/8173676/e18632cd5905/bjr.20201025.g001.jpg

文献检索

告别复杂PubMed语法,用中文像聊天一样搜索,搜遍4000万医学文献。AI智能推荐,让科研检索更轻松。

立即免费搜索

文件翻译

保留排版,准确专业,支持PDF/Word/PPT等文件格式,支持 12+语言互译。

免费翻译文档

深度研究

AI帮你快速写综述,25分钟生成高质量综述,智能提取关键信息,辅助科研写作。

立即免费体验