Suppr超能文献

人工髋关节周围骨折:治疗与临床结果的最新进展

Periprosthetic hip fractures: an update into their management and clinical outcomes.

作者信息

Patsiogiannis Nikolaos, Kanakaris Nikolaos K, Giannoudis Peter V

机构信息

Department of Trauma and Orthopaedics, Leeds General Infirmary, Leeds, UK.

NIHR Leeds Biomedical Research Center, Chapel Allerton Hospital, Leeds, UK.

出版信息

EFORT Open Rev. 2021 Jan 4;6(1):75-92. doi: 10.1302/2058-5241.6.200050. eCollection 2021 Jan.

Abstract

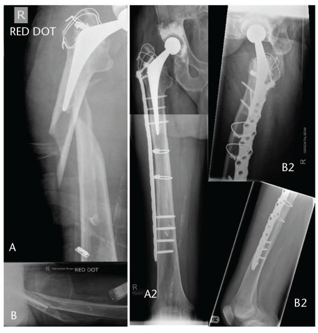
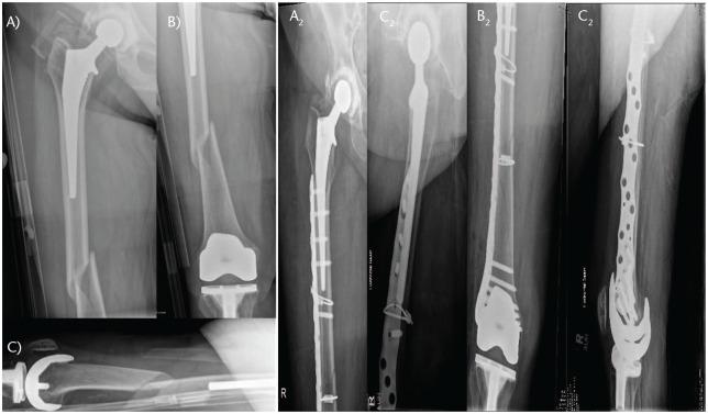
The Vancouver classification is still a useful tool of communication and stratification of periprosthetic fractures, but besides the three parameters it considers, clinicians should also assess additional factors.Combined advanced trauma and arthroplasty skills must be available in departments managing these complex injuries.Preoperative confirmation of the THA (total hip arthroplasty) stability is sometimes challenging. The most reliable method remains intraoperative assessment during surgical exploration of the hip joint.Certain B1 fractures will benefit from revision surgery, whilst some B2 fractures can be effectively managed with osteosynthesis, especially in frail patients.Less invasive osteosynthesis, balanced plate-bone constructs, composite implant solutions, together with an appropriate reduction of the limb axis, rotation and length are critical for a successful fixation and uneventful fracture healing. Cite this article: 2021;6:75-92. DOI: 10.1302/2058-5241.6.200050.

摘要

温哥华分类仍然是假体周围骨折沟通和分层的有用工具,但除了它所考虑的三个参数外,临床医生还应评估其他因素。处理这些复杂损伤的科室必须具备综合的高级创伤和关节置换技术。全髋关节置换术(THA)术前稳定性的确认有时具有挑战性。最可靠的方法仍然是在髋关节手术探查期间进行术中评估。某些B1型骨折将受益于翻修手术,而一些B2型骨折可以通过接骨术有效处理,尤其是在体弱患者中。微创接骨术、平衡的钢板-骨结构、复合植入物解决方案,以及适当矫正肢体轴线、旋转和长度,对于成功固定和骨折顺利愈合至关重要。引用本文:2021;6:75-92。DOI:10.1302/2058-5241.6.200050。

https://cdn.ncbi.nlm.nih.gov/pmc/blobs/2963/7845569/c76e6edcb8c1/eor-6-75-g001.jpg

文献AI研究员

20分钟写一篇综述,助力文献阅读效率提升50倍。

立即体验

用中文搜PubMed

大模型驱动的PubMed中文搜索引擎

马上搜索

文档翻译

学术文献翻译模型,支持多种主流文档格式。

立即体验