Suppr超能文献

心胸疾病中的双能成像:放射科医生和临床医生入门指南

Dual energy imaging in cardiothoracic pathologies: A primer for radiologists and clinicians.

作者信息

Gupta Amit, Kikano Elias G, Bera Kaustav, Baruah Dhiraj, Saboo Sachin S, Lennartz Simon, Hokamp Nils Große, Gholamrezanezhad Ali, Gilkeson Robert C, Laukamp Kai R

机构信息

Department of Radiology, University Hospitals Cleveland Medical Center/Case Western Reserve University, 11100 Euclid Ave, Cleveland, OH, 44106, USA.

Department of Biomedical Engineering, Case Western Reserve University, Cleveland, OH, USA.

出版信息

Eur J Radiol Open. 2021 Jan 20;8:100324. doi: 10.1016/j.ejro.2021.100324. eCollection 2021.

Abstract

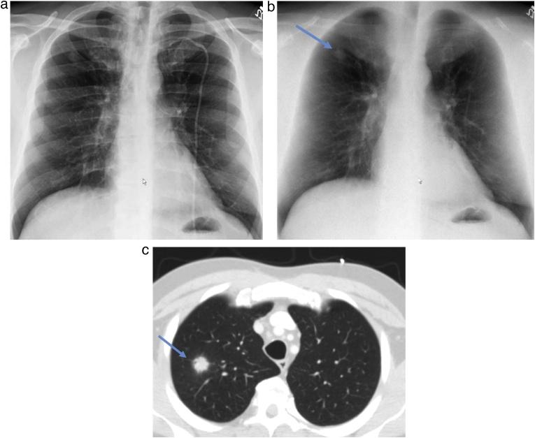
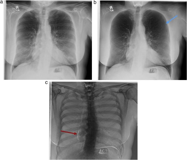
Recent advances in dual-energy imaging techniques, dual-energy subtraction radiography (DESR) and dual-energy CT (DECT), offer new and useful additional information to conventional imaging, thus improving assessment of cardiothoracic abnormalities. DESR facilitates detection and characterization of pulmonary nodules. Other advantages of DESR include better depiction of pleural, lung parenchymal, airway and chest wall abnormalities, detection of foreign bodies and indwelling devices, improved visualization of cardiac and coronary artery calcifications helping in risk stratification of coronary artery disease, and diagnosing conditions like constrictive pericarditis and valvular stenosis. Commercially available DECT approaches are classified into emission based (dual rotation/spin, dual source, rapid kilovoltage switching and split beam) and detector-based (dual layer) systems. DECT provide several specialized image reconstructions. Virtual non-contrast images (VNC) allow for radiation dose reduction by obviating need for true non contrast images, low energy virtual mono-energetic images (VMI) boost contrast enhancement and help in salvaging otherwise non-diagnostic vascular studies, high energy VMI reduce beam hardening artifacts from metallic hardware or dense contrast material, and iodine density images allow quantitative and qualitative assessment of enhancement/iodine distribution. The large amount of data generated by DECT can affect interpreting physician efficiency but also limit clinical adoption of the technology. Optimization of the existing workflow and streamlining the integration between post-processing software and picture archiving and communication system (PACS) is therefore warranted.

摘要

双能成像技术的最新进展,即双能减影X线摄影(DESR)和双能CT(DECT),为传统成像提供了新的有用的附加信息,从而改善了对心胸异常的评估。DESR有助于肺结节的检测和特征描述。DESR的其他优点包括能更好地显示胸膜、肺实质、气道和胸壁异常,检测异物和植入装置,改善心脏和冠状动脉钙化的可视化,有助于冠状动脉疾病的风险分层,以及诊断缩窄性心包炎和瓣膜狭窄等疾病。市售的DECT方法分为基于发射的(双旋转/自旋、双源、快速千伏切换和分束)和基于探测器的(双层)系统。DECT提供几种专门的图像重建。虚拟非增强图像(VNC)通过消除对真正非增强图像的需求来降低辐射剂量,低能量虚拟单能图像(VMI)增强对比度,有助于挽救原本无法诊断的血管研究,高能量VMI减少金属硬件或高密度对比剂引起的线束硬化伪影,碘密度图像允许对增强/碘分布进行定量和定性评估。DECT产生的大量数据可能会影响解读医生的效率,但也限制了该技术在临床上的应用。因此,有必要优化现有的工作流程,并简化后处理软件与图像存档和通信系统(PACS)之间的集成。

https://cdn.ncbi.nlm.nih.gov/pmc/blobs/3fb3/7822965/f00cde0ec2b6/gr1.jpg

文献AI研究员

20分钟写一篇综述,助力文献阅读效率提升50倍。

立即体验

用中文搜PubMed

大模型驱动的PubMed中文搜索引擎

马上搜索

文档翻译

学术文献翻译模型,支持多种主流文档格式。

立即体验