Mallett Ian, Watsjold Bjorn, Chipman Anne K
University of Washington, Department of Emergency Medicine, Seattle, Washington.
Clin Pract Cases Emerg Med. 2021 Feb;5(1):62-65. doi: 10.5811/cpcem.2020.11.49235.
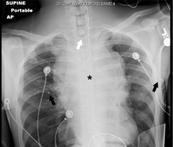
A 20-year-old man with a reported history of asthma presented to the emergency department in cardiac arrest presumed to be caused by respiratory failure.
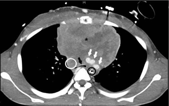
The patient was discovered to have central airway obstruction and concomitant superior vena cava compression caused by a large mediastinal mass-a condition termed mediastinal mass syndrome. While the patient regained spontaneous circulation after endotracheal intubation, he was challenging to ventilate requiring escalating interventions to maintain adequate ventilation.
We describe complications of mediastinal mass syndrome and an approach to resuscitation, including ventilator adjustments, patient repositioning, double-lumen endotracheal tubes, specialty consultation, and extracorporeal life support.
一名有哮喘病史的20岁男性因疑似呼吸衰竭导致心脏骤停被送往急诊科。
该患者被发现患有中央气道阻塞,并伴有由巨大纵隔肿物引起的上腔静脉压迫——这种情况被称为纵隔肿物综合征。虽然患者在气管插管后恢复了自主循环,但通气困难,需要不断增加干预措施以维持足够的通气。
我们描述了纵隔肿物综合征的并发症及复苏方法,包括呼吸机调整、患者重新摆放体位、双腔气管插管、专科会诊和体外生命支持。